3D Human Pulmonary Alveolar Epithelial Cell Spheroid Model Introduction

Alveolar epithelial cell (AEC) is the major cellular component of the distal lung epithelium and actively participates in host defense mechanisms in addition to maintaining alveolar structural integrity and function. Seamlessly combining cutting-edge technology and rich experience in 3D biology research field, Creative Biolabs offers an opportunity to leverage our 3D human pulmonary AEC spheroid model to decipher intricate cellular processes, accelerate drug discovery, and revolutionize tissue engineering.

Stepwise induction of differentiated alveolar epithelial cell spheroids. (Gotoh, et al., 2014)

Limitations of Conventional Models

Conventional 2D cell culture of pulmonary AECs tends to lose their functional markers rapidly, limiting the ability to fully capture their physiological characteristics and behaviors. Additionally, in contrast to the variable pathology and different stages of lung disease severity in humans, current available animal models of lung diseases are restricted to mimicking a limited number of characteristic features of human lung diseases which must be kept in mind when assessing the clinical utility of these animal models.

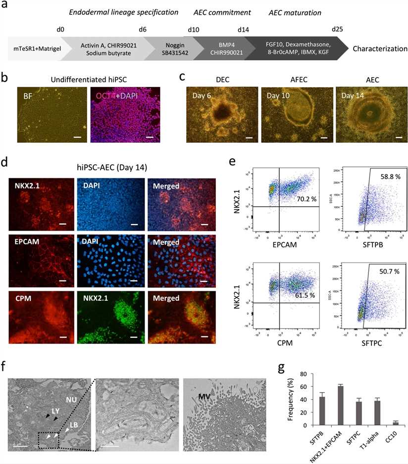
Immunofluorescence stainin in hiPSC-derived AECs on day 14 of differentiation. (Heo, 2019)

Why Choose Creative Biolabs

Our human pulmonary AEC spheroid model, which simulates the in vivo situation more closely, represents a reliable in vitro platform for investigating the maintenance and repair mechanisms of pulmonary alveoli. With high physiologically relevance, this model serves as a powerful tool for both high-throughput pulmonary biology studies and for identifying molecular mechanisms involved in epithelial cell physiology, which could accelerate the discovery of effective therapies, and foster breakthroughs in regenerative medicine.

Key Features

The 3D human pulmonary AEC spheroid model represents an innovative culture system specifically designed to mimic the structure and functionality of pulmonary AECs within the lungs. Our AEC cell spheroid model offers the following advantages:

3D Human Pulmonary Alveolar Epithelial Cell Spheroid Model Introduction

Creative Biolabs is committed to pushing the boundaries of knowledge and discovery. Our 3D human pulmonary AEC spheroid model represents a paradigm shift in cellular studies, enabling researchers to delve into the intricacies of human biology like never before. We also provide other revolutionary biological research tools to meet any of your needs.

Related Services

At Creative Biolabs, we go beyond merely providing product models. Our objective is to support your research endeavors by offering a rich and comprehensive suite of relevant services. Rest assured that our commitment to enhancing your capabilities extends far beyond the provision of technical resources; we are dedicated to fostering a collaborative environment that enables you to explore the full spectrum of possibilities. We would like to extend a warm invitation for you to connect with us.

References

  1. Gotoh, S.; et al. Generation of alveolar epithelial spheroids via isolated progenitor cells from human pluripotent stem cells. Stem Cell Reports. 2014, 3(3): 394-403. Distributed under Open Access License CC BY 3.0. The original image was modified by keeping part(G), line (1-3) to column (2-4).
  2. Heo, H.; et al. Human pluripotent stem cell-derived alveolar epithelial cells are alternatives for in vitro pulmotoxicity assessment. Sci Rep. 2019, 9(1): 1-11. Distributed under Open Access License CC BY 4.0. The original image was modified by keeping part (d) only.
Research Model

Related Sections:

Inquiry Basket
ISO 9001 Certified - Creative Biolabs Quality Management System.
Copyright © Creative Biolabs. All Rights Reserved.
Top