3D Ex Vivo Human Adrenal Gland Tissue Model Introduction

Creative Biolabs provide a revolutionary solution for the study of adrenal gland diseases. Our 3D ex vivo human adrenal gland model offers a reliable and high-quality opportunity that has contributed greatly to the research and development of drugs.

The Adrenal Gland and Related Diseases

The adrenal gland is a critical endocrine gland located above the kidney, which plays a vital role in hormone regulation, stress response, and metabolism. The adrenal gland is composed of two parts: the adrenal cortex and the adrenal medulla. The cortex produces hormones such as cortisol, aldosterone, and androgens, while the medulla produces adrenaline and noradrenaline. As such, any disorder in its function can result in severe health consequences, including hypertension, adrenal insufficiency, and tumors.

Hand-drawn anatomy and colored diagram of the adrenal gland.Fig 1. Anatomy of the adrenal gland.1,3

Why Choose 3D Ex Vivo Human Adrenal Gland Model

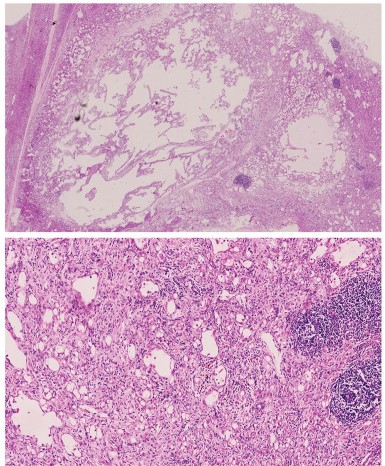
Characteristics observed in the tissue samples of adrenal adenomatoid tumors. Fig 2. Histological features associated with adrenal adenomatoid tumor.2,3

Traditional Models for Tonsil Study

Traditionally, researchers have relied on animal models or cell cultures to study adrenal gland diseases. However, these models have significant limitations that can hinder research progress. Animal models may not accurately reflect human physiology, and cell cultures do not mimic the complex 3d structure of the adrenal gland.

3D Ex Vivo Human Tonsil Tissue Model

Creative Biolabs 3D ex vivo human adrenal gland model provides several advantages. It closely mimics the human adrenal gland's structure and function, allowing for more accurate disease modeling and drug testing. Our models enable the study of complex disease mechanisms and intercellular interactions, providing a more comprehensive understanding of adrenal gland diseases and allowing for personalized medicine approaches by using patient-derived tissue to develop targeted therapies.

3D Ex Vivo Human Adrenal Gland Tissue Model

Our Services

Creative Biolabs provides high quality human biological tissue samples for global customers. We pride ourselves on our professionalism and commitment to quality. Standard tissue samples can be shipped rapidly to ensure that your research can be carried out quickly. Particularly, we also provide other 3D human endocrine system tissue models listed below. Contact us today for more details about how can we assist your project.

References

  1. Sherlock, Mark et al. "Adrenal Incidentaloma." Endocrine reviews. 41,6 (2020): 775–820.
  2. Qi, Hong-Feng et al. "Primary adenomatoid tumor of the adrenal gland: A case report and literature review." Medicine. 102,50 (2023): e36739.
  3. Distributed under Open Access license CC BY 4.0, without modification.
Research Model

Related Sections:

Inquiry Basket
ISO 9001 Certified - Creative Biolabs Quality Management System.
Copyright © Creative Biolabs. All Rights Reserved.
Top