3D Ex Vivo Human Arrhythmogenic Disorders Model Introduction

Creative Biolabs is the world's leading provider of biological samples and value-added services. With years of experience, we are dedicated to the development of 3D ex vivo human arrhythmogenic disorders model to promote global researchers' projects.

Arrhythmogenic Disorders

Arrhythmogenic disorders are a group of conditions that involve abnormal heart rhythms, causing the heart to beat too fast, too slow, or irregularly. Such conditions can lead to serious health problems, such as stroke, heart failure, and sudden cardiac arrest. Understanding the pathogenic mechanism of these disorders is crucial to developing effective treatments.

Cardiac fibro-fatty tissue remodelling in AC patients.Fig 1. Arrhythmogenic cardiomyopathy tissue.1

3D ex vivo Human Arrhythmogenic Disorders Model

Traditional models used in the study of arrhythmogenic disorders, such as animal models and 2D cell cultures, have significant limitations. These models often fail to fully capture the complexity and variability of human cardiac tissue, leading to inaccurate results and limited translation to clinical practice. In contrast, our 3D ex vivo human arrhythmogenic disorders model provides a more accurate tool for the investigation of cardiovascular, enabling researchers to better understand the pathogenic mechanism of these disorders.

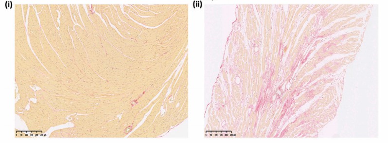
Histological assessment of cardiac-specific proteins. (Delaney, 2021)

What Can Be Done?

There have been numerous successful studies that have utilized the 3D ex vivo human arrhythmogenic disorders model.

  • Drug efficiency on cardiac tissue
  • Cardiac fibrosis
  • Targeted drug development
  • Calcium pathway investigation
  • Fibro-fatty remodeling
  • Sudden cardiac arrest prevention
  • Stroke-related research

Representative example of the absence of fibrotic change in old WT ventricles and the presence of fibrotic change in old Pgc-1α−/− ventricles obtained by histological analysis. Fig 3. Histological analysis shows no fibrosis in aged WT ventricles, and presence in aged Pgc-1α−/− ventricles.3

Looking for More Models?

Creative Biolabs has developed an extensive of tissue models to advance the development of cardiovascular-related research. To learn more details about our human cardiovascular tissue models, please click the links below.

Our Services

Creative Biolabs prides itself on providing a reliable and high-quality 3D ex vivo human arrhythmogenic disorders model. Particularly, we can provide customized human tissue models to meet your specific needs. We ensure that the tissue used for your projects is well-evaluated, well-processed, and delivered to you rapidly with comprehensive supportive data. For more detailed information, please feel free to contact us.

References

  1. Kohela, Arwa, and Eva van Rooij. "Fibro-fatty remodelling in arrhythmogenic cardiomyopathy." Basic research in cardiology. 117,1 (2022): 22. Distributed under Open Access license CC BY 4.0, the original image's title was changed to "Arrhythmogenic cardiomyopathy tissue".
  2. Delaney, P.J. et al. "Early inflammation precedes cardiac fibrosis and heart failure in desmoglein 2 murine model of arrhythmogenic cardiomyopathy." Cell and tissue research. 386,1 (2021): 79-98. Distributed under Open Access license CC BY 4.0, the three images were reassembled and text was added.
  3. Saadeh, Khalil et al. "Molecular basis of ventricular arrhythmogenicity in a Pgc-1α deficient murine model." Molecular genetics and metabolism reports. 27 (2021): 100753. Distributed under Open Access license CC BY 4.0, without modification.
Research Model

Related Sections:

Inquiry Basket
ISO 9001 Certified - Creative Biolabs Quality Management System.
Copyright © Creative Biolabs. All Rights Reserved.
Top