3D Ex Vivo Human Ovary Brenner Tumor Model Introduction

Creative Biolabs is dedicated to delivering unparalleled 3D ex vivo human ovary brenner tumor models and related services.

Ovary Brenner Tumor

Brenner tumors are typically benign ovarian tumors. Like other epithelial tumors, there are malignant variants characterized by significant cytological atypia and stromal infiltration. However, due to the rarity of Brenner tumors, individual case reports cannot provide researchers and oncologists with sufficient usable information, and the optimal intervention strategies remain unclear.

Traditional Models for Ovary Brenner Tumor

Traditional cell lines often overly simplify the in vivo environment. The 2D culture system neglects the tissue structure and invasive/metastatic characteristics within the tumor microenvironment, while the simplistic cellular composition fails to replicate crucial immune responses. Besides, the substantial disparities between experimental animals and humans in molecular targets, hormone levels, and drug responses undoubtedly limit the translational value of research findings to humans.

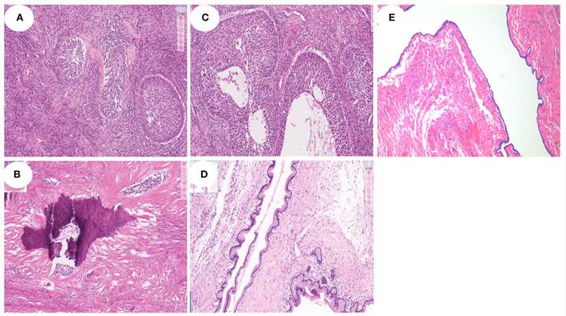
Fig 1. Microscopic characteristics of various BBT subtypes.Fig 1. Histopathological findings of different types of BBT (HE staining, all ×100).1

Why Choose 3D Ex Vivo Human Ovary Brenner Tumor Model

Creative Biolabs specializes in providing high-quality, cost-effective 3D ex vivo ovary cancer models for researchers worldwide. These invaluable models can be customized to promote your projects well.

  • Complex Models
    3D tissue models retain essential cell-to-cell interactions that are prerequisites for cell polarity, differentiation, and the establishment of metabolic gradients. They are indispensable in studying cancer histology, genetics, and drug response.
  • Enhanced Physiological Relevance
    Creative Biolabs' ovary tumor models faithfully replicate the physiological environment within the human body, allowing for the study of cell polarity, response to stimuli, proliferative capacity, and drug metabolism.
  • Cutting-Edge Research Tools
    By integrating advanced imaging techniques, histological examinations, and molecular biology assays, our models serve as the optimal tools for your drug screening and cancer research endeavors.

More 3D Ex Vivo Human Ovary Tissue Models at Creative Biolabs

In addition to 3D ex vivo human ovary brenner tumor model, we have also developed a full package of ovary tissue models for global researchers. For more detailed information, please feel free to click the links below.

Our Services

With professional scientists and advanced technology, Creative Biolabs is committed to providing an unparalleled platform to unravel the mysteries of human biology. Our commitment to scientific excellence, advanced manufacturing techniques, and personalized support ensure that you receive the highest quality solutions for your research endeavors. Experience the future of biomedical research and contact us today.

References

  1. Chen, M.; et al. Benign Brenner tumor of the ovary: two-dimensional and contrast-enhanced ultrasound features-a retrospective study from a single center. Front Oncol. 2024, 14: 1337806. Distributed under Open Access License CC BY 4.0, without modification.
  2. Gratton, R.; et al. Pleiotropic role of notch signaling in human skin diseases. Int J Mol Sci. 2020, 21(12): 4214. Distributed under Open Access License CC BY 4.0.
Research Model

Related Sections:

Inquiry Basket
ISO 9001 Certified - Creative Biolabs Quality Management System.
Copyright © Creative Biolabs. All Rights Reserved.
Top