3D Ex Vivo Human Ovary Granulosa Cell Tumor Model Introduction

Creative Biolabs offers the 3D ex vivo human ovarian granulosa cell tumor (OGCT) model to assist clients in conducting in-depth research and developing treatment strategies for OGCT. Our model provides a more realistic and biologically relevant tumor microenvironment, enabling clients to accurately assess drug efficacy, explore treatment mechanisms, and support personalized medicine.

Ovarian Granulosa Cell Tumor (OGCT) Overview

OGCT is a low-grade malignant tumor that originates from granulosa cells in the ovary. It is the most common ovarian sex cord-stromal tumor. The primary characteristic of OGCT is the secretion of sex hormones by the tumor cells, which is closely associated with oocyte development. Therefore, OGCT is classified into adult-type granulosa cell tumor and juvenile-type granulosa cell tumor.

OGCT Type Adult-Type Granulosa Cell Tumor Juvenile-Type Granulosa Cell Tumor
Incidence Approximately 95% Approximately 5%
Affected Population 46-50 years old, commonly seen in perimenopausal and postmenopausal women Under 20 years old, commonly seen in premenopausal women
Possible Cause Forkhead transcription factor 2 (FOXL2) gene mutation;
Telomerase reverse transcriptase (TERT) gene mutation;
Histone-lysine N-methyltransferase 2D (KMT2D) gene mutation
Chromosomal abnormalities, including trisomy 14 and monosomy 22
Chromosomal abnormalities, including trisomy 13 and partial deletion of chromosome 6q
Common Symptom Abdominal bloating, abdominal pain, vaginal bleeding, menstrual irregularities, or amenorrhea. Some patients may exhibit symptoms of hirsutism, acne, and deepening of voice due to elevated androgens. Patients with juvenile-type granulosa cell tumors often present with signs of precocious puberty.
Serum Marker Elevated levels of anti-Müllerian hormone (AMH) and inhibin β None identified
Tumor Characteristics OGCTs commonly occur in a unilateral ovary, and the tumors are often brownish-yellow. The tumor mass typically contains both cystic and solid areas. The average size of the tumor is 12.4 centimeters.
Histological Feature The granulosa cells are small and round or oval in shape, with pale color. The cell nuclei exhibit typical longitudinal nuclear grooves. In low-grade tumors, granulosa cells may have a wave-like arrangement, while in high-grade tumors, they often exhibit a microfollicular pattern. The granulosa cells are small and round in shape, with round cell nuclei lacking nuclear grooves. The cytoplasm may show acidophilia or vacuolization.
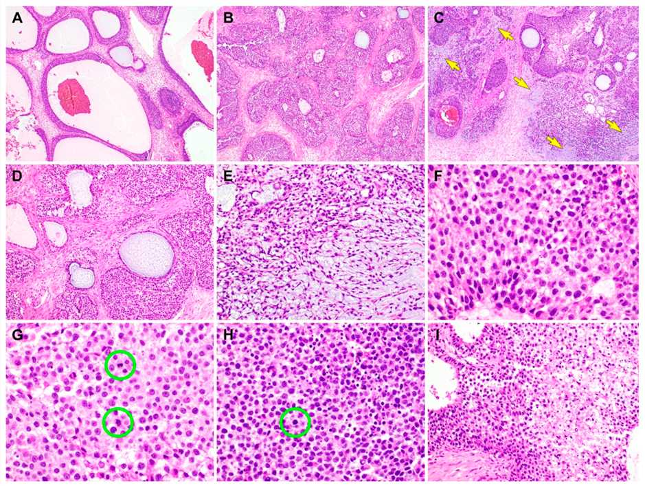
Cytomorphological Feature Fig 1. Microscopic analysis of the JGCT component in gynandroblastoma.
Fig 1. Histological findings of the juvenile granulosa cell tumor (JGCT) component of gynandroblastoma.1

Highly Utilizable 3D Ex Vivo Human OGCT Model

Current treatments for OGCT primarily involve ovarian removal, radiotherapy, chemotherapy, and various combination therapies. Although vaccines targeting the FOXL2 have shown some inhibitory effects on OGCT in mouse models, further research is still needed to study these vaccines in models that closely resemble the human microenvironment. To meet the growing demand for advanced research tools in the field of OGCT studies, Creative Biolabs provides the distinctive 3D ex vivo human OGCT model with notable advantages.

1-4-9-4-8-3d-ex-vivo-human-ovary-granulosa-cell-tumor-model-2

Specialized 3D Ex Vivo Human OGCT Model Construction and Research Services

1-4-9-4-8-3d-ex-vivo-human-ovary-granulosa-cell-tumor-model-3

Creative Biolabs possesses strong capabilities in providing 3D ex vivo human tissue models. We have an experienced team of scientists with extensive expertise in cell culture and tissue engineering technologies. If you need a high-quality 3D ex vivo human OGCT model as a research tool, please contact us for more information. In addition to the 3D ex vivo human OGCT model, we also offer various other 3D ex vivo human ovarian tissue models, including:

Reference

  1. Hwang, S.; et al. Ovarian gynandroblastoma with a juvenile granulosa cell tumor component in a postmenopausal woman. Diagnostics (Basel). 2020, 20(8): 537. Distributed under Open Access License CC BY 4.0, without modification.
Research Model

Related Sections:

Inquiry Basket
ISO 9001 Certified - Creative Biolabs Quality Management System.
Copyright © Creative Biolabs. All Rights Reserved.
Top