Biomarkers and Antibodies Development for Neuroendocrine Tumor

Neuroendocrine tumors (NETs) are tumors that arise from endocrine (hormonal) and neuronal cells and usually occur in the intestine (called carcinoid tumors). They are also found in the lungs, pancreas and other parts of the body. Many are benign, while others are vicious. Although there are many kinds of NETs, these tumors are considered as a group of tissues because of their similar characteristics, such as the specific secretory granules, and the frequent production of biogenic amines and polypeptide hormones. Creative Biolabs provides a number of IVD antibody development services for neuroendocrine tumor diagnosis.

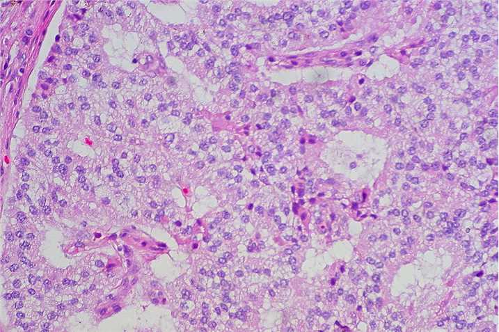
Pathological and histological images from a polypectomy of a 78-year-old man who presented with weight loss. Fig.1 Polypectomy from a 78-year-old man who presented with weight loss. Distributed under CC BY-2.0, from Wiki, without modification.

Types & Conditions

Neuroendocrine tumors can be divided into three major categories according to the tumor grade:

Neuroendocrine tumors can also be classified by their anatomic site of origin. NETs occur in different parts of the body, mostly in the lung, pancreas or intestine. Various cells that produce NETs are found in endocrine glands that spread throughout the body. Most commonly Kulchitsky cells or similar enterochromaffin-like cells are relatively more common in the pulmonary systems and gastrointestinal. NETs include certain thymus and lung tumors, certain gastrointestinal tumors and islet cells, and medullary carcinoma of thyroid follicles. Tumors with similar features in the parathyroid, pituitary, and adrenomedullary glands are sometimes included.

Symptoms

The discovery of disease-specific biomarkers and the generation of high-quality antibodies are of great importance for the development of IVD immunoassays and kits. To assist customers in their IVD project development, Creative Biolabs offers a suite of IVD antibody development services against potential diagnostic biomarkers for neuroendocrine tumor. We also offer IVD antibodies development services for many other diseases. If you are interested in our service, please feel free to contact us for more information and a detailed quote.

Our services target the following biomarkers for neuroendocrine tumor diagnosis:

CgA

For Research Use Only.



Online Inquiry
Name:
Phone:
*E-mail Address:
*Service & Products Interested:
Project Description:
Inquiry Basket
Happy Holidays
Happy Holidays close ad