Biomarkers and Antibodies Development for Pancreatic Cancer

With the rapid development of new technologies, numerous antibodies have been developed and used in various areas of clinical research, such as the prognosis, diagnosis, and treatment of different diseases, including pancreatic cancer. At Creative Biolabs, you can find the most comprehensive first-rate in vitro diagnostic (IVD) antibody development services for diagnostic uses.

SDiagram showing the parts removed with a Whipple's operation CRUK.Fig.1 The parts removed with a Whipple's operation CRUK. Distributed under CC BY-SA 4.0, from Wiki, without modification.

Introduction of Pancreatic Cancer

Cancer that develops within the pancreas, termed as “pancreatic cancer”, falls into two major categories: (1) cancers of the endocrine pancreas, the part that produces insulin and other hormones, are called neuroendocrine tumors; and (2) cancers of the exocrine pancreas, the part the produces digestive enzymes. The exocrine group is dominated by pancreatic adenocarcinoma, which is by far the most common type, representing about 85% of all pancreatic cancers. In contrast, pancreatic neuroendocrine tumors (NETs) take up only a small portion of pancreatic tumors. The biggest risk factor of pancreatic cancer probably is increasing age, others may include tobacco use, obesity, a sedentary lifestyle, a history of diabetes, chronic pancreatic inflammation (pancreatitis), and a fatty diet. Currently, pancreatic cancer is one of the main causes of cancer-related death, partly due to the lack of early detection of curable disease.

Diagnosis of Pancreatic Cancer

Warning signs of pancreatic cancer include pain, weight loss, fatigue, and increased abdominal fluid. Patients complaining about these symptoms often get an evaluation including a physical examination, blood tests, X-rays, and an ultrasound. Computed tomography (CT scan) and endoscopic ultrasound (EUS) are used both to confirm the diagnosis and to help determine the resectability of the tumor. Magnetic resonance imaging (MRI) and positron emission tomography may also be used. If a pancreatic mass is observed, that raises the suspicion of pancreatic cancer and then a biopsy is performed to yield a diagnosis.

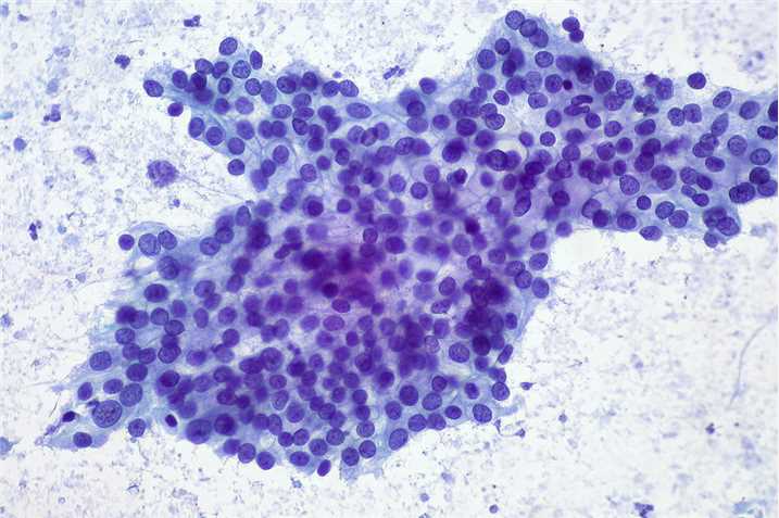
A microphotograph of adenocarcinoma of pancreas, FNA.Fig.2 Adenocarcinoma of Pancreas, FNA. Distributed under CC BY-2.0, from Wiki, without modification. An accurate diagnosis of a pancreatic tumor is essential in understanding tumor pathobiology, in making an appropriate therapeutic decision, and in predicting a prognostic outcome. Immunohistochemistry (IHC) has become a useful ancillary study in the identification and classification of pancreatic neoplasms. The diagnostic accuracy has been significantly improved due to the continuous discoveries of tumor-associated biomarkers and the development of effective immunohistochemical panels. Commonly used tumor markers in the immunohistochemical diagnosis of pancreatic cancer include PGP, TUBB3, TS, RRM1, TOP2A and so on. Moreover, plasma biomarkers are also used for IVD of pancreatic cancer. The best known of the blood markers is CA19-9, which is elevated in patients with pancreatic cancer.

IVD antibodies are widely used for detection of a variety of diseases and infections and are rapidly evolving in the world market. They can provide important information for both diagnosis and treatment information for the disease.

Creative Biolabs has been focusing on the development of high-quality antibodies for the diagnosis of a diversified battery of cancers. We can tailor a suite of IVD antibodies developing services that raise against a wide panel of biomarkers for the diagnosis of pancreatic cancer. Contact us to discuss your specific requirements and experience the great value of our expert services.

Potential biomarkers of pancreatic cancer include but are not limited to:

For Research Use Only.



Online Inquiry
Name:
Phone:
*E-mail Address:
*Service & Products Interested:
Project Description:
Inquiry Basket
Happy Holidays
Happy Holidays close ad