IVD Antibodies for miRNA-208b Marker

Based on years of abundant experience in the in vitro diagnostics (IVD) antibodies development, Creative Biolabs provides a variety of high quality IVD antibodies custom development service of miRNA-208b marker for the diagnosis of myocardial infarction (MI) and left ventricular (LV) remodeling.

MicroRNAs, consist of more than 20 nucleotides, are small and highly conserved noncoding RNA molecules. They modulate gene expressions through inhibiting the translation of the messenger RNA of target genes or through accelerating mRNA degradation. Recently, researches have proven the existence of circulating microRNAs in human peripheral blood. These microRNAs are a group of promising biomarkers and may offer pivotal information for the diagnosis of diseases, such as tissue damage, tumors and autoimmune diseases. Meanwhile, they are highly stable and have displayed potentials as the markers of cardiovascular diseases. Several previous researches have shown that miRNA-208b is specifically expressed in myocardial cells and therefore may play as a possible biomarker for myocardial injury. Besides, some clinical studies also proven that miRNA-208b may have a certain diagnostic value for acute myocardial infarction (AMI).

miRNA-208b Marker of Myocardial Infarction

MI injures heart muscle through inducing blood flow stoppage, which may result in heart failure or cardiac arrest, and leading to discomforts similar to heartburn. As a display of coronary artery disease, MI affects the health of many people, with approximately 90% of the cases on account of modifiable risk factors such as smoking and hypertension. Recently, a research has shown that the miRNA-208b level was significantly reduced 24 h after PCI in AMI patients. Besides, successful clinical interventions can decrease miRNA-208b expression in AMI patients, implying that miRNA-208b is available for evaluating the effective myocardial reperfusion following myocardial ischemia in AMI patients. Therefore, circulating miRNA-208b is a potential biomarker for the diagnosis and treatment of MI and can offer novel evidence in the management of AMI.

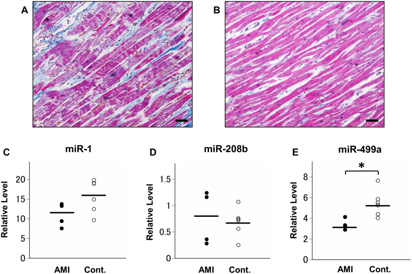
IVD Antibodies for miRNA-208b MarkerFig.1 Expression profiling of miRNA biomarkers in postmortem myocardial infarction (MI) and control samples.1

miRNA-208b Marker of Left Ventricular Remodeling

LV remodeling after AMI is still a crucial clinical issue, despite the progress of medical treatment over the past few decades. Long-term remodeling is connected with raised risk of cardiovascular death and heart failure. Thereby, early prediction of LV remodeling and the progress of heart failure in post-AMI patients are required, and may possibly promote by the identification of novel biomarkers. Studies have indicated that circulating miR-208b and miR-34a are potential markers for predicting LV remodeling after AMI, and the miRNA levels are related to elevated risk of mortality or heart failure.

IVD Antibodies for miRNA-208b MarkerFig.2 Assessment of miRNA concentrations in plasma reveals a correlation with outcomes post-AMI. miRNA-208b emerges as a potential biomarker for diagnosing left ventricular remodeling following AMI.2

With the rapid development of IVD market, IVD antibodies are widely used for the diagnosis of a variety of diseases. Creative Biolabs offers various high-affinity IVD antibody development services for miRNA-208b marker to meet every customer's requirements. Creative Biolabs also provides other IVD antibodies. Please feel free to contact us for more information and a detailed quote.

References

  1. Kakimoto, Y. U., et al. "MicroRNA stability in postmortem FFPE tissues: quantitative analysis using autoptic samples from acute myocardial infarction patients." PLoS One 10.6 (2015): e0129338. Distributed under Open Access license CC BY 4.0, without modification.
  2. Lv, Pin, et al. "Circulating miR-208b and miR-34a are associated with left ventricular remodeling after acute myocardial infarction." International journal of molecular sciences 15.4 (2014): 5774-5788.

For Research Use Only.



Online Inquiry
Name:
Phone:
*E-mail Address:
*Service & Products Interested:
Project Description:
Inquiry Basket
Happy Holidays
Happy Holidays close ad