IVD Antibody Development Services for Cytokeratin-7 Marker

Creative Biolabs is a world-leading service provider of application-specific antibody development. Here, we introduce our in vitro diagnostic (IVD) antibody development and immunoassay development services targeting the cytokeratin-7 marker. We are confident that our commitment to science and research will enable us to offer you the best products and services.

Introduction of Cytokeratin-7 Marker

Cytokeratin-7 (CK-7), also known as keratin-7 (K7) or sarcolectin (SCL), is a protein that encoded by the human KRT7 gene. As a 54-kD type II keratin, CK-7 is specifically expressed in the simple epithelia lining the cavities of the internal organs and in the gland ducts and blood vessels. Importantly, it can be used as a vital tool in diagnostic pathology, most importantly in the detection of tumors. It has been reported that CK-7 has been successfully used as a tool in order to distinguish ovarian and gastrointestinal carcinomas, or transitional cell carcinomas and prostate cancer. Moreover, expression of Cytokeratin 7 in hepatocytes atypical is a marker for primary biliary cirrhosis.

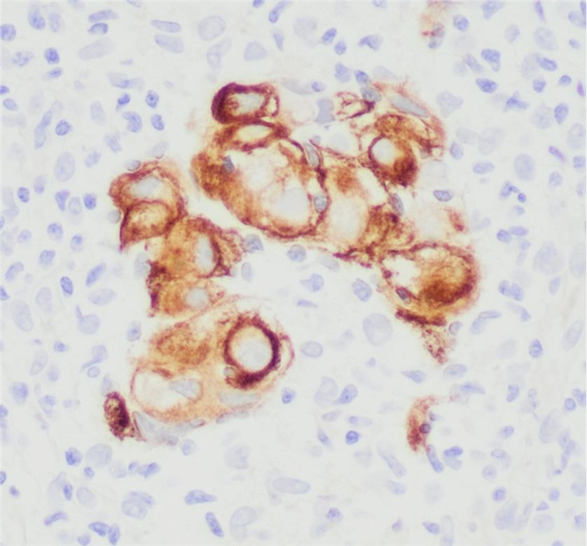
Immunohistochemistry for CK7 of a metastatic undifferentiated carcinoma to a lymph node. Fig.1 Detection of CK7 in Lymph Node Metastasis of an Undifferentiated Carcinoma through Immunohistochemical Analysis.Distributed under CC0, from Wiki, without modification.

Cytokeratin-7 Marker of Fibrosis

Recently, studies have suggested that the presence of CK7 in hepatocytes was correlated with the liver damage expressed by serum levels of transaminases. In generally, CK7 seems to be related to the positioning of nuclei and nucleoli, to the support of the canaliculi and, possibly, to the uptake and secretion of dyes and proteins. Furthermore, it is also seen in the stem cells of the liver and, in pathological conditions, CK7 has been observed in the Mallory bodies and in the hepatocytes of livers from patients with the alcoholic liver disease, long-standing cholestasis and in small cell dysplasia of hepatocytes. Most importantly, cytokeratin 7 staining of hepatocytes predicts with a high degree of sensitivity and specificity progression to more severe liver disease, such as hepatic fibrosis. Under this condition, CK7 can be used as a potential marker for the detection of hepatic fibrosis.

IVD Antibody Development Services Targeting Cytokeratin-7 Marker

Based on the rapid development of IVD technology and novel biomarkers, IVD antibodies are extensively used for disease screening and therapeutic monitoring. Diverse immunoassays are applied, including lateral flow assay, immunochemistry, sandwich ELISA, etc. Through our role as a leading antibody service provider, Creative Biolabs is well-positioned to deliver high-quality IVD antibody development services targeting numerous biomarkers, such as cytokeratin-7. With years of devotion and accumulation in this particular field, Creative Biolabs is confident in offering you the best products and services.

For more detailed information, please feel free to contact us or directly send us an inquiry.

For Research Use Only.



Online Inquiry
Name:
Phone:
*E-mail Address:
*Service & Products Interested:
Project Description:
Inquiry Basket
Happy Holidays
Happy Holidays close ad