IVD Antibody Development Services for Gamma Synuclein Marker

As a leading antibody service provider, Creative Biolabs has gained abundant experience in the field of in vitro diagnostic (IVD) antibody development. With years of experience and advanced platforms, now our scientists have the ability to provide IVD antibody development services targeting the gamma-synuclein marker.

Gamma Synuclein Marker

Synucleins are a family of small proteins consisting of 3 known members which are highly expressed in neuronal cells and have been specifically implicated in the pathogenesis of neurodegenerative diseases. As a member of the synuclein family, gamma-synuclein (γ-synuclein) is a small, cytosolic protein that is encoded by the human SNCG gene. It was first identified in the invasive breast cancer tissue and termed breast cancer-specific gene product. Importantly, γ-synuclein is associated with metastasis and chemoresistance and correlates with adverse outcomes in breast cancer, colon cancer, and pancreatic cancer. Furthermore, studies indicated that γ-synuclein overexpression stimulated tumor progression through a series of mechanisms, including the promotion of cell proliferation, chromosomal instability, cell invasion, and metastasis.

Gamma Synuclein Marker of Bladder Cancer

In the past years, studies have suggested that the expression level of γ-synuclein is strongly correlated with progression of different malignant tumors, including breast, esophagus, gastric, prostate cancers, pancreatic, and colon. Many genes, including SNCG, are associated with DNA methylation, which plays an important role in the occurrence and development of tumors. Furthermore, γ-synuclein has been used as an unfavorable prognostic marker in breast cancer in clinical follow-up studies. Importantly, recent studies have demonstrated that γ-synuclein is highly expressed in bladder cancer tissue when compared with normal bladder cancer tissue. And the γ-synuclein expression level in bladder cancer is strongly related to tumor stage. Under this case, gamma-synuclein can be used as a potential marker for the diagnosis of bladder cancer.

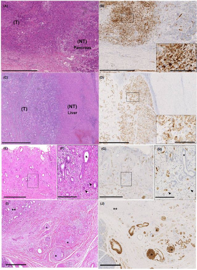
Microphotographs of Immunohistochemical expression of gamma‐synuclein (SNCG) in surgically resected specimens.Fig.1 Immunohistochemical expression of gamma‐synuclein (SNCG) in surgically resected specimens.1

IVD Antibody Development Services Targeting Gamma Synuclein Marker

With the rapid development of IVD technology, IVD antibodies have been widely used for the diagnosis of numerous diseases. Moreover, antibody-based immunoassays are the most commonly used diagnostic tools. With years of experience and advanced technology, Creative Biolabs is proud to develop novel periostin-specific (paired) antibodies from scratch to commercial IVD kit (we can also start with provided antibody candidates).

To get more detailed information and a quote, please feel free to contact us. We will get in touch with you as soon as possible.

Reference

  1. Takemura, Yusuke, et al. "Gamma‐synuclein is a novel prognostic marker that promotes tumor cell migration in biliary tract carcinoma." Cancer medicine 10.16 (2021): 5599-5613.Distributed under Open Access license CC BY 4.0, without modification.

For Research Use Only.



Online Inquiry
Name:
Phone:
*E-mail Address:
*Service & Products Interested:
Project Description:
Inquiry Basket
Happy Holidays
Happy Holidays close ad