IVD Antibody Development Services for TUBB3 Marker

Based on the extensive experience and advanced technology platforms in IVD (in vitro diagnostic) antibodies development, Creative Biolabs is able to offer contract IVD antibody development services targeting specific biomarkers for follicular adenoma screening and therapeutic monitoring. Our professional team is optimized to help you with high-quality and cost-effective service to make your project a success.

Class III β-Tubulin (TUBB3)

Class III β-Tubulin (TUBB3) is gene that encodes a class III member of the beta tubulin protein family. The pseudogene of this gene was found on chromosome 6. β-Tubulins are one of two core protein families that heterodimerize and assemble to form microtubules. This protein was shown expressed in neurons and may be involved in neurogenesis and axon guidance and maintenance. The congenital fibrosis of extraocular muscles type 3 is the result of the mutations in this gene. TUBB3 expression is typically identified in cells of neuronal origin, where it contributes to the formation of dynamic microtubules, which are essential for neurite formation and maintenance. In addition, low levels of TUBB3 expression have been identified in several extra-neuronal normal tissues, including the testis, small intestine, and placenta.

TUBB3 Marker of Pancreatic Cancer

Pancreatic cancer is one of the most common causes of death from cancer. Pancreatic cancer is usually diagnosed by a combination of medical imaging techniques such as ultrasound or computed tomography, blood tests, and examination of tissue samples. Class III β-tubulin is a β-tubulin isotype that has been suggested to possess a significant role in malignant transformation and cancer development. This protein is one of the most common markers of cancer diagnosis. Although TUBB3 overexpression is frequently observed in pancreatic cancer, variable levels of expression have also been reported in other types of solid tumor, including cancer of the brain, lungs, colon, ovary, kidney, prostate and larynx.

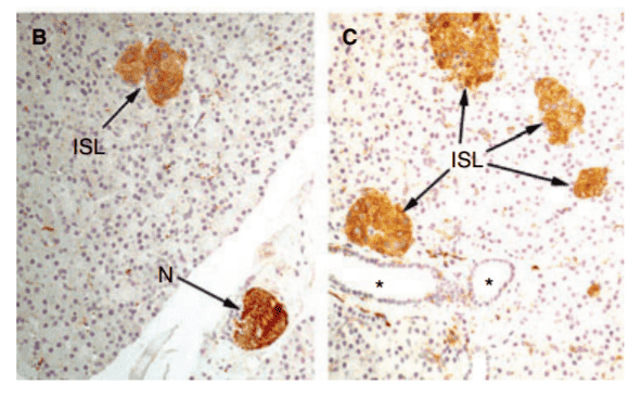
Fig.1 Presence of class III b-tubulin (TUBB3) in the normal human pancreas.Fig.1 TUBB3 in the normal human pancreas.1

IVD Antibody Development Services Targeting TUBB3 Marker

IVD antibodies are extensively used in immunodiagnostic tools for disease screening and therapeutic monitoring. Through our role as a leading CRO company, Creative Biolabs is well-positioned to offer custom-specific IVD antibody development. With our versatile IVD platform, Creative Biolabs is proud to develop novel TUBB3-specific (paired) antibodies from scratch to commercial IVD kit (we can also start with provided antibody candidates).

For more detailed information, please feel free to contact us or directly sent us an inquiry. Once receiving your inquiry, our scientists will feedback on your project as soon as possible, come up with a complete quotation including details of products, shipping, and the final report.

Reference

  1. Hwang, Jun-Eul, et al. "Class III β-tubulin is a predictive marker for taxane-based chemotherapy in recurrent and metastatic gastric cancer." BMC cancer 13.1 (2013): 1-8. Distributed under Open Access license CC BY 2.0, without modification.

For Research Use Only.



Online Inquiry
Name:
Phone:
*E-mail Address:
*Service & Products Interested:
Project Description:
Inquiry Basket
Happy Holidays
Happy Holidays close ad