Pancreatic Fibrosis Modeling & Pharmacodynamics Service
Creative Biolabs offers a variety of well-established rodent models to evaluate drug efficacy in pancreatic fibrosis. These models are induced using chemical agents, genetic manipulation, or diet induced methods to replicate human disease progression. We provide detailed assessments of pancreatic function, fibrosis severity, and related biomarkers to support preclinical drug development. Our team is available for expert guidance throughout your research process.
Introduction
Pancreatic fibrosis is a progressive condition characterized by the excessive accumulation of extracellular matrix proteins, leading to the stiffening and scarring of the pancreatic tissue. It is commonly associated with chronic pancreatitis, pancreatic cancer, and cystic fibrosis. In the early stages, fibrosis may cause the pancreas to lose its ability to secrete digestive enzymes and insulin, leading to digestive issues and metabolic dysfunction. If left untreated, pancreatic fibrosis can progress to pancreatic insufficiency, impairing the body's ability to regulate blood sugar levels and digest food effectively. The primary causes of pancreatic fibrosis include chronic inflammation from alcohol abuse, autoimmune pancreatitis, genetic mutations (e.g., in cystic fibrosis), and recurrent episodes of acute pancreatitis. Symptoms of pancreatic fibrosis can range from abdominal pain and digestive disturbances to diabetes and weight loss, depending on the severity of the condition.
Disease Models and Applications
Creative Biolabs offers a comprehensive range of well-established rodent models for pancreatic fibrosis, including models induced by chemical agents, genetic modifications, and diet induced methods. These models are specifically designed to replicate key features of human pancreatic fibrosis, allowing for accurate preclinical evaluation of therapeutic candidates. Our models simulate the progression from chronic inflammation to fibrotic scarring, and are complemented by detailed assessments of pancreatic function, fibrosis severity, and relevant biomarkers. These evaluations provide valuable insights into the efficacy and safety of potential treatments. Our experienced team of scientists will collaborate with you throughout your project, from experimental design to data interpretation, ensuring that you receive high-quality and reliable results. To learn more about the rodent pancreatic fibrosis models available for preclinical research, please explore the links below:
| Model | Simulated Disease | Drug Evaluation Focus | Animal species |
| High-Fat & High Cholesterol & High Bile Salts induced Pancreatic Fibrosis Model in db/db Mice | Pancreatic fibrosis, obesity, type 2 diabetes, metabolic syndrome | Anti-fibrotic agents, anti-inflammatory drugs, pancreatic regeneration therapies, insulin sensitizers, metabolic modulators | Mouse |
Fig. 1 A variety of pathogenic factors damage the pancreas.1
Measurements
We offer a variety of measurements for evaluating drug efficacy in rodent pancreatic fibrosis models, utilizing an array of advanced technologies, including but not limited to:
General observations: Body weight, mortality rate, abdominal swelling, and signs of pain or discomfort.
Histopathology: Examination of pancreatic tissue using H&E and Masson's trichrome staining to assess fibrosis severity, acinar cell damage, and collagen deposition.
Cytokine profiling (e.g., ELISA): Quantification of inflammatory mediators such as TNF-α, IL-6, IL-1β, and TGF-β, which are critical in the fibrotic process.
Hematology analysis and serum biomarkers: Measurement of serum amylase, lipase, and liver enzymes (e.g., ALT, AST), which provide insights into pancreatic function and injury.
Gene/protein expression profiling via RT-qPCR and Western blot: Analysis of key fibrosis-related genes (e.g., collagen I, α-SMA, fibronectin) and inflammatory pathways to evaluate disease progression and response to treatment.
In addition to the established pancreatic fibrosis models, our expertise extends to the development of novel animal models tailored to specific research needs, based on current literature and prior studies. Our scientific team is available to assist in experimental design, model selection, and data analysis, ensuring a customized and effective approach to your project at every stage.
Related Services
In addition to the pancreatic fibrosis model, we also offer a wide range of models for other diseases. These models enable comprehensive evaluation across diverse therapeutic areas.
Advantages
- Specialized Expertise: With extensive experience in the field of preclinical research, particularly in pancreatic fibrosis, our team brings a high level of expertise and a deep understanding of disease mechanisms, ensuring high-quality and reliable results for your research.
- Customized Solutions: We recognize that each research project is unique. Our models are fully customizable, allowing you to address your specific research needs. Whether you're studying the progression of fibrosis, evaluating therapeutic candidates, or exploring novel treatment approaches, we tailor our models to meet your objectives.
- Validated and Reliable Models: Our rodent pancreatic fibrosis models are rigorously validated and designed to closely replicate the human disease process. This provides you with robust data that is both accurate and reproducible, making it ideal for preclinical studies.
- Advanced Technologies: We use cutting-edge technologies such as histopathology, cytokine profiling (ELISA), RT-qPCR, and Western blotting for comprehensive evaluation of fibrosis progression and therapeutic efficacy. These technologies provide in-depth insights into disease mechanisms and treatment outcomes.
- Comprehensive Support: From experimental design to data analysis and interpretation, our team of experts offers full support throughout the project. We ensure that your research is executed efficiently, and that all data is accurately analyzed, helping you achieve your research goals with precision.
- Commitment to Innovation: We continuously invest in developing new and improved models to keep up with the latest scientific advancements, offering you access to cutting-edge tools and techniques for your research.
Work with Us
- Summarize the project requirements and fill in the information collection form.
- Sign a CDA from both parties to further communicate information, such as targets.
- Select an animal model, discuss experimental design, and determine assay parameters.
- Project costing and project schedule forecasting.
- We provide a detailed project plan, including the required sample quantities, methods, and protocols.
- Both parties confirm the project details and start the project.
- Confirm the timeline of the project.
- We provide periodic results and information on the animal's condition.
- We will work together to make project adjustments as necessary.
- We provide a comprehensive project report promptly.
- We arrange transportation for the produced samples.
- We provide a discussion of the project results and help to arrange the next steps.
- Data storage and archiving.
FAQs
-
1. What types of pancreatic fibrosis models do you offer?
We offer well-established rodent models for pancreatic fibrosis, including models induced by chemical agents, diet, and genetic modifications. These models simulate key features of human pancreatic fibrosis, allowing for effective preclinical evaluation of therapeutic candidates.
-
2. Can you customize models for specific research needs?
Yes, we provide fully customizable models to meet your specific research objectives. Whether you are investigating early-stage fibrosis or advanced pancreatic injury, we tailor our models to match your study's goals.
-
3. What measurements and evaluations do you offer for pancreatic fibrosis models?
Our comprehensive evaluations include general health observations (e.g., body weight, abdominal swelling), histopathology (H&E, Masson's trichrome staining), cytokine profiling (ELISA), biomarker analysis (serum amylase, lipase), and gene/protein expression profiling (RT-qPCR, Western blot).
-
4. How do you assess fibrosis progression and therapeutic effects in your models?
We utilize histological analysis, fibrosis scoring (Ishak scoring), serum biomarker measurement, and molecular profiling to assess the extent of fibrosis and the effects of potential treatments. These methods allow us to monitor disease progression and therapeutic outcomes accurately.
-
5. What technologies do you use for data analysis?
We employ advanced technologies such as histopathological staining, ELISA for cytokine and biomarker profiling, RT-qPCR for gene expression analysis, and Western blotting for protein analysis. These techniques provide in-depth and reliable data on disease mechanisms and therapeutic efficacy.
-
6. How long does it take to receive results from your models?
The timeline for results depends on the complexity of the study and model used. Generally, preliminary results are available within a few weeks, with final reports provided after thorough data analysis and interpretation.
Published Data
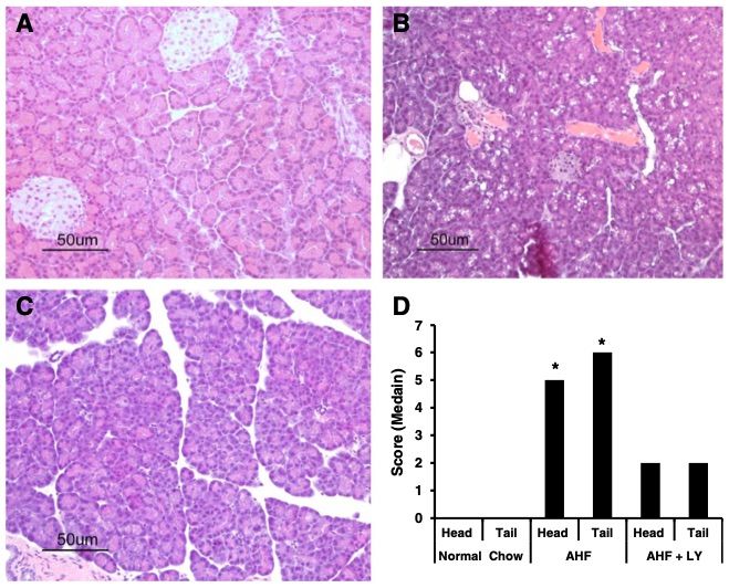
Fig. 2 AHF diet induced chronic pancreatitis pathology and protection by LY3038404 HCl.2
This article illustrated the effects of an AHF diet on chronic pancreatitis pathology and the protective impact of LY3038404 HCl treatment. Representative bright-field images of pancreatic paraffin sections stained with H&E show that (Fig. 2A) normal chow-fed rats exhibited typical pancreatic architecture, with evenly distributed acini and islets of Langerhans. (Fig. 2B) In contrast, rats fed the AHF diet developed chronic pancreatitis, with noticeable pathological changes, including global degeneration (blurred cell borders) and multiple vacuolization sites caused by fat deposition. (Fig. 2C) LY3038404 HCl-treated rats with AHF pancreatitis showed marked improvement, with clearer cell borders and reduced vacuolization, indicating a protective effect. (Fig. 2D) The histogram displays histological severity scores (HSS) for the different treatment groups, with the score representing the average of various pathological parameters within each group, expressed as a median. These findings highlight the development of chronic pancreatitis in the AHF diet model and demonstrate the potential therapeutic benefit of LY3038404 HCl treatment.
References
- Li, Bing-Qing et al. "The research progress of anti-inflammatory and anti-fibrosis treatment of chronic pancreatitis." Frontiers in Oncology vol. 12 1050274. 24 Nov. 2022, DOI:10.3389/fonc.2022.1050274. Distributed under an Open Access license CC BY 4.0, without modification.
- Zhang, Liping et al. "Cannabinoid receptor 2 agonist attenuates pain related behavior in rats with chronic alcohol/high fat diet induced pancreatitis." Molecular Pain vol. 10 66. 17 Nov. 2014, DOI:10.1186/1744-8069-10-66. Distributed under an Open Access license CC BY 4.0, without modification.
For Research Use Only.
