Combined Spleen & Partial Pancreas Resection & Glucocorticoid induced Type II Diabetes Modeling & Pharmacodynamics Service
Creative Biolabs offers partial pancreatectomy diabetic model for our clients all over the world to test the efficacy of novel therapeutics.
What is partial pancreatectomy?
Originally, partial pancreatectomy was a method established by investigators to induce type 2 diabetes in mice to avoid liver and kidney damage caused by administration of alloxan about a half century ago. Since then, a lot of modifications to this procedure have been described including different percentages of the removed pancreas as well as a combination of pancreatectomy with chemical induction. These models have proved to be particularly useful in certain specific areas of diabetic research.
A partial pancreatectomy model is a classical model routinely established through the removal of a certain percentage of the pancreas, resulting in the resemblance of type 2 diabetes typically characterized by hyperglycemia due to reduced pancreatic beta cell mass. In addition, the cytotoxic effect in other organs is avoided compared with chemically induced diabetic models. Moreover, this model is especially useful in studies of the adaptive mechanisms of pancreatic beta cells in correcting the functional beta cell mass deficit in diabetes.
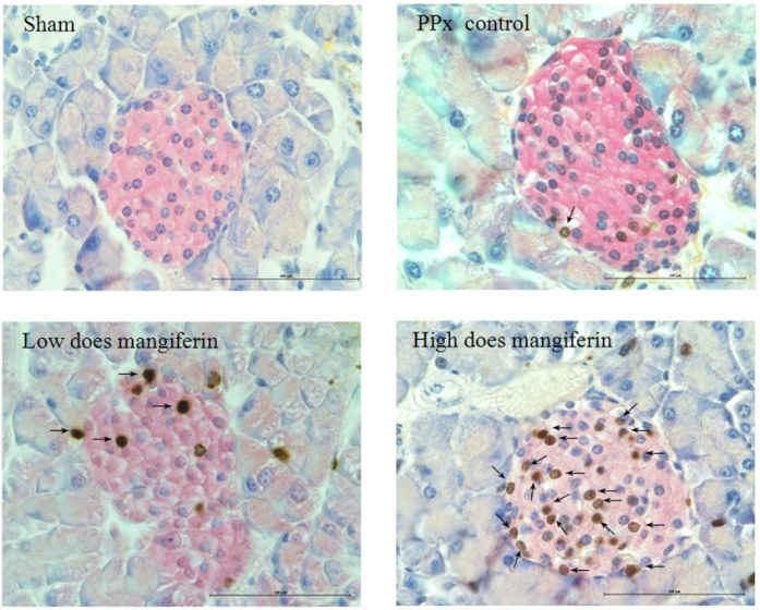
Fig. 1 Immunohistochemistry staining in mice after pancreatectomy.1
Partial pancreatectomy combined with chemical induction
Another model of diabetes is developed by using partial pancreatectomy coupled with the injection of chemical inducers such as STZ, which turns out to be a more stable form. This model is accomplished through partial pancreatectomy in a combination of nicotinamide injection before and after intraperitoneal injection of STZ. This model is characterized by stable and significantly elevated fasting blood glucose (FBG) with reduced serum insulin level. Besides, a drastic loss in body weight is observed, which is not a trait of type 2 diabetes but type 1. The disadvantage of this model mainly lies in the requirement of advanced technical and surgical skills to develop this model. Further, the consideration of the amount of tissue removed relative to the dietary or drug treatment is quite necessary.
Creative Biolabs provides assessments for testing the effectiveness of potential drugs depending on your study objectives, including but not limited to:
- Body Weight
- Pancreas Weight
- Insulin and Glucose Levels
- Glucose Tolerance Test
- Insulin Resistance Test
- Biomarker Analysis
Additionally, Creative Biolabs also offers other types of rodent metabolic disease models that you may be interested in:
- Streptozotocin (STZ)-Induced Diabetic Model
- Streptozotocin-Nicotinamide-Induced Diabetic Model
- Alloxan-Induced Diabetic Model
- High-Fat Diet/STZ Induced Diabetic Model
- Cafeteria Diet-Induced Obesity
- High Fat Diet-Induced Obesity Model
- Intrauterine Growth Retardation (IUGR)-Diabetic Model
- Monosodium Glutamate (MSG)-Induced Obesity Model
- Nutritional Models of NAFLD/NASH
If you are interested in our partial pancreatectomy diabetic model, please feel free to contact us for more details. Creative Biolabs is happy to share our cutting-edge technology and extensive expertise in rodent disease models to facilitate our clients' research and project development.
Reference
- Wang, Hai-Lian et al. "Mangiferin facilitates islet regeneration and β-cell proliferation through upregulation of cell cycle and β-cell regeneration regulators." International journal of molecular sciences vol. 15,5 9016-35. 20 May. 2014, doi:10.3390/ijms15059016. Distributed under Open Access license CC BY 3.0. The image was modified by extracting and using a part of the original image.
For Research Use Only.
