0
Inquiry Basket

There is no product in the shopping cart, buy it!

Glycoprotein Detection Service by Staining Procedure

Glycoprotein Detection by Staining Procedures

Glycoprotein detection is essential for the researches in glycosylation engineering. Be famous for first-in-class technologies and experienced technical team, Creative Biolabs has successfully developed a high-sensitive glycoprotein detection platform to offer the largest and most diverse portfolio of glycoprotein detection products or services. Glycoprotein staining is a simple method we provide to determine whether a protein is glycosylated.

Background of Glycoprotein Analysis

Glycoproteins are extremely important to a variety of biological processes, including protein folding and trafficking, cell-cell and cell-matrix interaction, cellular differentiation, fertilization, immune response, the initiation and metastasis of tumors. However, the analysis of glycoproteins is a big challenge because of the low abundance, the complexity of the glycan structures, the multiple substitutions (microheterogeneity) at glycosylation sites, and the structural diversity associated with the protein backbone itself. We can provide a series of technologies for glycoprotein detection and analysis.

Glycoprotein Detection by Staining Procedures in Creative Biolabs

There are a number of staining methods that can be used to detect highly glycosylated proteins on SDS gels, among which, periodic acid-Schiff (PAS) staining is the simplest and low-cost way to estimate whether a protein is glycosylated.

  • What Is PAS Staining?

  • The PAS staining method and its numerous variations are usually used to detect polysaccharides and carbohydrate macromolecules (such as glycoproteins, glycolipids, and proteoglycans) following sodium dodecyl sulfate (SDS) or non-denaturing polyacrylamide gel electrophoresis (PAGE) and protein transfer to nitrocellulose membranes. During the staining procedures, periodic acid is used to bind to sugar groups of glycoproteins to overcome the problem that glycan sugar moieties are not reactive to staining or labeling molecules. The periodic acid oxidizes vicinal hydroxyls on sugars (especially sialic acid) to aldehydes or ketones, which reacts with the Schiff reagent to give a magenta color.

  • Why Choose PAS Staining?

  • PAS Staining has a lot of advantages, include low cost, simple and rapid operation, high sensitivity, and no need for expensive reagents and special equipment. In the study of detection technology of polysaccharides and glycoproteins, it should have broad application prospects.

  • Applications of PAS Staining

  • PAS staining is widely used for both diagnostic and research purposes. Researchers studying glycogen storage diseases or diseases of the basement membrane may routinely use PAS staining to examine the stained tissues to evaluate these respective elements in tissues of interest. Moreover, pathologists often use this stain to help with the diagnosis of glycogen storage diseases, tumors, and fungal infection, etc.

In addition to PAS staining, there are some other staining methods we can provide to address your research needs, mainly including alcian blue staining, silver staining, and fluorescent staining. Each one has its own characteristics and property, fitting for a certain experiment. For example, alcian blue staining is often used for proteins with limited glycosylation, whereas, the silver stain is usually used in cases where high sensitivity is required. Fluorescent staining is more accurate and intuitive, but it requires labeling of electrophoretic samples, costs long processing time. Cationic dyes such as alcian blue or toluidine blue which binds to the negatively charged glycosamino-glycan side chains are highly recommended when detecting proteoglycans.

Why Choose Us?

  • Specificity
  • High sensitivity
  • Consistency
  • Best after-sale service

Working with Us to Promote Your Success!

With years of experience, Creative Biolabs has successfully completed a lot of therapeutic glycoprotein projects, including various glycoprotein staining service. We are committed to providing high-quality glycoprotein detection services and communications to meet your specific project needs. The values of quality, timing and price is our basic criterion. We will try our best to help you get landmark development in your glycoprotein project. If you are interested, please contact us without hesitation.

Published data

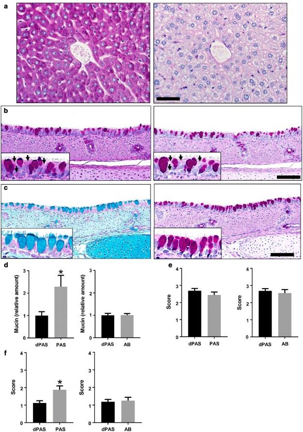
Histochemical staining is an important tool for histopathological evaluation, among which Alcian blue (AB) and PAS are commonly used techniques. AB is mainly applied to detect acidic mucins, while PAS specifically identifies neutral mucins. In addition, PAS is also often applied to detect basement membranes and glycogen in tissues. However, since glycogen is a cytoplasmic component, it is sometimes difficult to distinguish morphologically from cellular mucins. In this study, the authors explored whether glycogen stored in the airway surface epithelium would interfere with the detection results of mucins. The study found that glycogen significantly increased the PAS staining intensity of airway tissues compared with diastase-treated PAS-stained tissues (dPAS). This suggested that the presence of glycogen in the airways affected the staining results of PAS. The authors suggested that in the actual detection process, dPAS technology should be used first to improve the specificity for mucins and avoid false positive results.

Fig.1 Tissue sectioning and scoring analysis using various staining techniques. Fig.1 PAS, dPAS, and AB stained tissue sections and scoring results.1

FAQ

Q1: What experimental conditions should be paid attention to when using PAS staining?

A1: When using PAS staining, attention should be paid to sample handling and fixation, ensuring that the pH value is within the appropriate range, optimizing the concentration and reaction time of Schiff reagent, and performing thorough washing to remove unbound reagents. In addition, the microscope observation conditions should be appropriately adjusted to display the staining results, and negative and positive controls should be set to verify the experimental effects, thereby ensuring the reliability and repeatability of the experiment.

Q2: What are the advantages and disadvantages of PAS staining?

A2: The advantages of PAS staining include low cost, simple and fast operation, high sensitivity, and no need for special reagents and equipment. The disadvantage is that it has high requirements for sample processing and is easily affected by the fixative and slice thickness, resulting in inconsistent staining results. Moreover, some nonspecific background staining may also interfere with the interpretation of the results. Therefore, when using PAS staining, it is necessary to control the experimental conditions to ensure the accuracy of the results.

Q3: Can PAS staining distinguish different types of glycans?

A3: PAS staining is mainly applied to detect glycoproteins, but it cannot distinguish different types of glycans. Although PAS staining can specifically react with aldehyde or ketone groups to show positive signals, it cannot provide clear distinctions between different types of sugars (such as glucose, fructose, or other polysaccharides). Therefore, when different types of sugars need to be identified, other specific staining techniques or molecular biology methods should be combined to obtain more accurate information.

Customer Review

High Consistency of Results “In the multiple experiments we conducted, the PAS staining results provided by Creative Biolabs showed good reproducibility and consistency, making our data analysis more reliable. Their service significantly accelerated our research progress, allowing us to complete the project and write the paper within the expected time. Thank you very much.”

Customized Solutions
“As a lab with a limited budget, we appreciated the customized solutions provided by Creative Biolabs. Compared with other suppliers, their services were not only high-quality but also reasonably priced, which was very suitable for our research needs.”

Reference

  1. Meyerholz, David K., et al. "Glycogen depletion can increase the specificity of mucin detection in airway tissues." BMC Research Notes 11 (2018): 1-5. Distributed under Open Access license CC BY 4.0, without modification.
For Research Use Only.

Related Services

Online Inquiry
Creative Biolabs-Glycoprotein Contact Us Follow us on
Close
Thanksgiving
Thanksgiving