Preclinical Ag-Fc Fusion Protein Vaccine Solution

Targeted antigen presentation is the core of precision immune activation. At Creative Biolabs, we offer cutting-edge preclinical development of Ag-Fc fusion protein vaccines, bridging the gap between weakly immunogenic recombinant antigens and potent, protective immune responses.

Our platform designs fusion constructs that link candidate antigens to the Fc domain of IgG, facilitating receptor-mediated uptake by antigen-presenting cells (APCs). This strategy not only enhances protein stability but also leverages the "natural adjuvant" effect of FcγR targeting for superior T-cell and B-cell priming.

Get a Quote

Overcoming Subunit Vaccine Limitations via Fc Targeting

Developing effective subunit vaccines requires more than just antigen selection; it requires efficient delivery. Our Ag-Fc fusion solution offers three distinct preclinical advantages:

  • Accelerated APC Internalization: Precision binding to FcγRI receptors ensures rapid endocytosis by dendritic cells and macrophages.
  • Potent Th1 Skewing: Facilitating the cross-presentation pathway to activate cytotoxic CD8+ T cells alongside CD4+ helper T cells.
  • Enhanced PK/PD Profile: Exploiting FcRn-mediated recycling to significantly extend the half-life of vaccine candidates in animal circulation.

Our Specialized Development Solutions

We provide a fully integrated preclinical suite designed to maximize the therapeutic potential of Fc-engineered vaccines:

Precision Molecular Design

Strategic selection of Fc isotypes and bioinformatic modeling of flexible linkers to ensure antigen epitope exposure and optimal FcγR affinity.

BEVS Expression Platform

Utilizing proprietary high-yield Baculovirus systems to achieve complex protein folding and mammalian-like glycosylation for fusion constructs.

Immunogenicity Validation

Quantitative in vitro assessment of DC maturation (CD80/CD86) and Multiplex cytokine profiling (IFN-γ, IL-12) to validate mechanism of action.

In Vivo Proof-of-Concept

Evaluation of humoral and cellular responses in specialized animal models (murine, porcine, canine) to identify lead vaccine candidates.

Consult Our Experts

Expanded Preclinical Development Workflow

Our systematic pipeline ensures every Ag-Fc candidate is optimized for both biological stability and immunological potency:

Step 1: Rational Fusion Design & Molecular Modeling

Activities: Bioinformatic screening of target antigens and Fc domains. We utilize in-silico structural modeling to design flexible or rigid linkers that ensure the Fc region remains accessible to FcγR while maintaining the antigen's native epitopes.

Outcome: Optimal fusion construct blueprints with verified structural integrity.

Step 2: High-Yield Production & Glyco-engineering

Activities: Small-scale expression screening in BEVS (insect) or Mammalian (CHO/HEK293) platforms. We optimize culture conditions to ensure proper folding and characterize glycosylation patterns essential for Fc receptor affinity.

Outcome: Purified fusion proteins with confirmed biochemical properties.

Step 3: Multi-Parameter Characterization

Activities: Rigorous analysis of purity and monomeric state via SEC-MALS. Binding kinetics to various Fc receptors (FcγRI, FcγRII, FcRn) are quantified using Surface Plasmon Resonance (SPR) or BLI to predict in vivo performance.

Outcome: A comprehensive biophysical data package for candidate selection.

Step 4: In Vitro Mechanism Validation

Activities: DC uptake assays using fluorescently-tagged fusion proteins. We evaluate the enhancement of antigen cross-presentation via MHC I/II pathways and measure Th1/Th2 cytokine polarization in primary cell cultures.

Outcome: Validated functional mechanism proof-of-concept.

Step 5: In Vivo Efficacy & Immunogenicity Profiling

Activities: Pilot animal studies to assess long-term antibody titers, T-cell recall responses (ELISpot), and protective efficacy against viral or tumor challenge. Includes detailed Th-biased immune profiling.

Outcome: Final preclinical report supporting the selection of lead vaccine candidates.

Discuss Your Project Timeline

Core Technology Platforms

Our solutions are powered by specialized platforms designed for the unique challenges of Fc-engineered biologics:

Precision FcγR Targeting Technology: A proprietary database of Fc variants engineered with specific mutations (e.g., LALA, AAA) to fine-tune the binding affinity to pro-inflammatory FcγRI receptors while minimizing unwanted off-target interactions.

  • Affinity-matured Fc domains from multiple species
  • Customizable isotype-switching capabilities
  • Strategic FcRn affinity modulation for extended half-life

Advanced BEVS 2.0 Platform: Our Baculovirus Expression Vector System is enhanced for the production of complex fusion proteins. We utilize specialized insect cell lines that can perform complex post-translational modifications, ensuring high fidelity and biological activity.

  • High-throughput construct screening in Sf9/High Five cells
  • Optimized glycosylation pathways for immune recognition
  • Serum-free, scalable upstream process development

Preclinical Animal Modeling Center: Access to a wide array of disease models optimized for evaluating Fc-fusion vaccines. This includes orthotopic tumor models for cancer immunotherapy and specialized porcine challenge models for infectious disease studies.

  • Syngeneic and xenograft tumor models
  • Porcine, murine, and canine efficacy evaluation
  • Longitudinal PK/PD tracking via customized bio-analytical methods

High-Dimensional Immune Profiling: We utilize advanced analytical tools to dissect the immune landscape induced by Ag-Fc fusion. From 18-parameter Flow Cytometry to Fluorospot assays, we provide high-resolution data on cellular and humoral immunity.

  • Multiplex cytokine analysis
  • Comprehensive T-cell receptor (TCR) repertoir sequencing
  • Spatial transcriptomics and multiplex IF for TME analysis
Fc Engineering
BEVS 2.0 Production
Animal Models
Immune Profiling

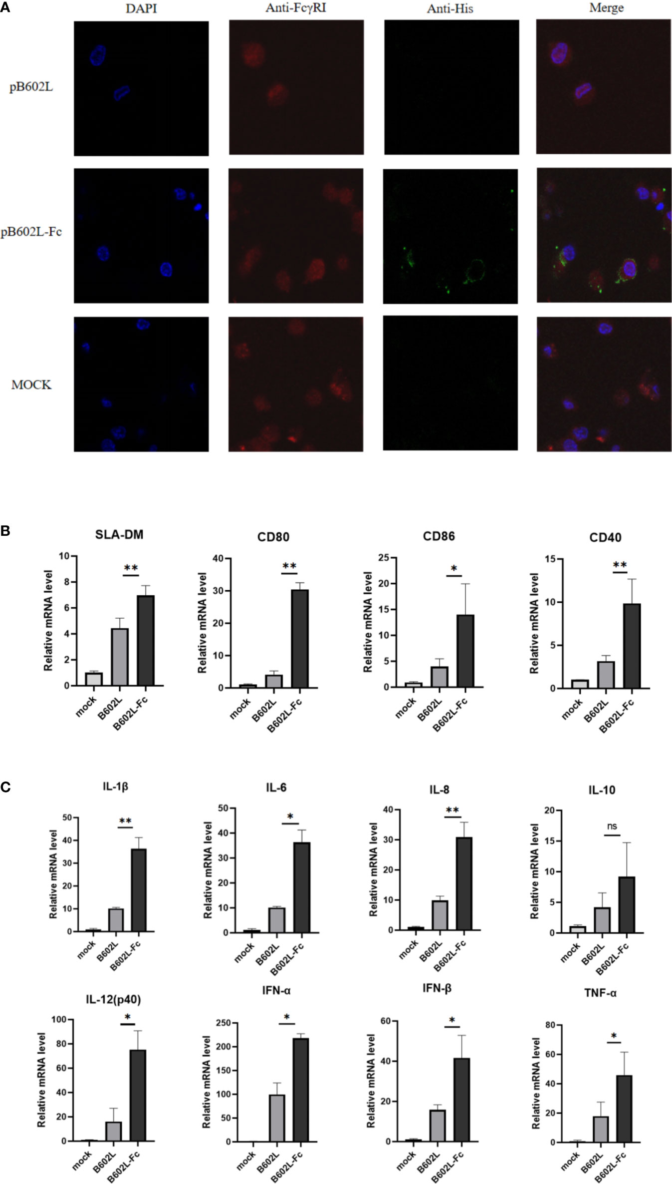
Scientific Case Study: ASFV B602L-Fc Fusion

Enhancing Immunogenicity of ASFV B602L Protein

Background: The African Swine Fever Virus (ASFV) represents a massive threat to global animal health, yet effective subunit vaccines are lacking due to poor antigen immunogenicity.

Innovation: Researchers utilized our Ag-Fc strategy to fuse the ASFV B602L protein with an IgG Fc region, expressed via the Baculovirus Insect System. The construct was designed to target FcγRI receptors on porcine APCs.

Key Research Highlights:
  • Superior Targeting: The B602L-Fc fusion successfully targets FcγRI on porcine APCs, ensuring efficient antigen internalization.
  • Immune Polarization: Driving a robust Th1-polarized cellular immune response and higher antibody titers compared to the protein alone.
  • Pathogen Protection: Provides a valuable proof-of-concept for developing subunit vaccines against high-risk animal pathogens where no effective vaccine exists.
B602L-Fc fusion protein promotes antigen presentation.

Fig.1 B602L-Fc fusion protein promotes antigen presentation.1,2

Frequently Asked Questions

Q: Why choose insect cells (BEVS) over bacterial expression?

A: Fc domains require complex disulfide bond formation and specific N-glycosylation for optimal receptor binding. Bacterial systems (E. coli) lack these post-translational modification capabilities, often resulting in misfolded or inactive fusion proteins.

Q: How do you prevent the Fc tag from interfering with the antigen?

A: We use flexible (Gly4Ser)n linkers and N/C-terminal screening to provide the necessary spatial separation. In-silico modeling ensures the antigen's natural conformation is preserved while the Fc region remains accessible for receptor binding.

Q: Can you develop Ag-Fc vaccines for porcine or canine research?

A: Absolutely. Our platform includes a library of porcine (pIgG) and canine (cIgG) Fc domains. Using species-matched Fc is essential in preclinical studies to avoid anti-Fc immune responses that could confound efficacy data.

Q: What is the primary readout for Th1-biased immunity?

A: We primarily utilize IFN-γ ELISpot and intracellular cytokine staining (ICS) via flow cytometry to quantify antigen-specific CD8+ and CD4+ T-cell responses, alongside IgG2a/IgG1 ratio analysis in murine models.

Q: Can Creative Biolabs customize Ag-Fc fusion protein designs based on specific project needs?

A: Yes, customization is a core advantage of our services. Our team of experienced scientists will tailor the Ag-Fc fusion protein design according to your specific targets (e.g., cancer cell surface antigens, pathogen-specific antigens) and project objectives. We can optimize the antigen component to ensure proper conformation and immunogenicity (e.g., soluble proteins over 10 kDa) and engineer the Fc region to achieve desired functions—such as enhancing target immunogenicity, reducing tag immunogenicity, extending serum half-life, or regulating effector functions (ADCC, ADCP, CDC) through site-directed mutations.

References:
1. Yang, Yang, et al. "B602L-Fc fusion protein enhances the immunogenicity of the B602L protein of the African swine fever virus." Frontiers in Immunology 14 (2023): 1186299.
2. Distributed under Open Access License CC BY 4.0, without modification.

Online Inquiry

All of our products can only be used for research purposes. These vaccine ingredients CANNOT be used directly on humans or animals.

Name:
Phone:
*E-mail Address:
*Products or Services Interested:
Project Description:

This site is protected by reCAPTCHA and the Google Privacy Policy and Terms of Service apply.