Brucellosis Related Antibody Products

Creative Biolabs has long-term devoted to the development and application of antibodies. Equipped with world-leading technology platforms and professional scientific staff, now we provide a variety of anti-brucellosis antibody products for our clients all over the world.

Introduction of Brucellosis

Brucellosis, also named undulant fever, Mediterranean fever, and Malta fever, refers to a highly contagious zoonosis infection caused by the bacterial genus Brucella. Despite humans being an occasional host, brucellosis remains a serious public health problem on a global scale. Brucella organisms are small, non-spore-forming, rod-shaped bacteria that are Gram-negative. Till now, four species have been shown to infect humans, including B. abortus, B. canis, B. melitensis, and B. suis. For the clinical diagnosis of brucellosis, a series of direct and indirect methods have been established. The direct methods include PCR-based particular Brucella genes detection and microbiological culturing, while the indirect methods include ELISA, the Rose Bengal testing, as well as tube agglutination.

In general, people can be infected with brucellosis bacteria in three ways, including eating infected food, inhaling bacteria, and wound infection. The classical initial symptoms always include fever, sweats, malaise, anorexia, headache, pain in muscles, joints, and/or back fatigue. Antibiotics are still the mainstay of treatment for brucellosis, and recovery can take weeks to months depending on the severity of the disease.

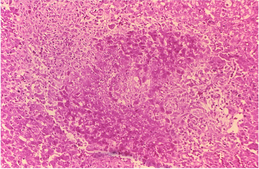
Granuloma and necrosis in the liver of a guinea pig infected with Brucella suis.Fig.1 Granuloma and necrosis in the liver of a guinea pig infected with Brucella suis.

Anti-Brucellosis Antibodies

In the sera of patients with brucellosis, IgM, IgG, and IgA isotypes can be detected. With timely treatment, the titers of these antibodies will gradually decrease. When the antibody titer is lower than 1:320, it means that the disease is cured. The standard tube agglutination test (SAT) and immunofluorescence (IFA) are conventional methods to detect antibodies against Brucella spp. Based on our extensive experience and advanced platforms, now we can provide a wide range of antibodies against a selection of Brucella species. Our antibodies are available in a wide selection of formats (IgG, Fab, and scFv) and can be used for applications such as enzyme-linked immunosorbent assay (ELISA), western blotting (WB), immunofluorescence (IF), immunohistochemistry (IHC), etc.

Learn More about Microbiome Hotspots

Creative Biolabs is a leading service provider that focuses on antibody discovery and production, we are confident in offering the best and most suitable products for our customers. If you are interested in our products, please do not hesitate to contact us for more details.

Hotspots
Online Inquiry

Inquiry Basket