3D Biology Based Oral Irritation Evaluation Services

Creative Biolabs offers the service of constructing 3D spatially structured tissue models and this type of model can be used to assess the irritation potential of test subjects to the oral cavity, facilitating the screening of considerations that lead to adverse oral mucosal reactions.

3D Models for Oral Irritation Evaluation

The 3D ex vivo oral and gingival models can be used as standard models having the feasibility of detecting oral irritation, which is based on tissue viability assay and half-effective time as indicators to examine the homogeneity and stability of 3D models exposed to the agents.

Oral Irritation Evaluation by Human 3D Buccal or Gingival Model

  • Oral Irritation Evaluation:

Test model

3D buccal or gingival model

Repeat

3 Test models for each condition (n=3).

Exposure

Initial topical exposure times of 20, 60, and 120 minutes. Exposure times for milder formulations may be extended.

Test control

Untreated negative control for the median exposure time slot.

Test item

Tissue viability assay

Delivery indicator

Half-maximum effective time value.

Advantages

3D Biology based oral Irritation evaluation Animal based oral Irritation evaluation
  • 3D tissue model construction is less time-consuming and less costly.
  • Cutting-edge differentiation techniques specifically enable 3D models to simulate in vivo growth and morphological features.
  • The 3D tissue model is homogeneous in character and the evaluation results are highly reproducible.
  • Time-consuming and costly experimental animal preparation and model establishment.
  • Presence of uncontrollable innate individual variability.
  • Not easy to observe histopathological structures, poor reproducibility.

Application of 3D Biology for Oral Irritation Evaluation

  • Innate immunity assessment

Immunity of oral or gingival epithelial tissue is assessed based on the measurement of tissue viability and release of cytokines.

  • Drug delivery

Evaluate the absorption potential of a 3D buccal or gingival model for the formulation.

  • Pathological analysis

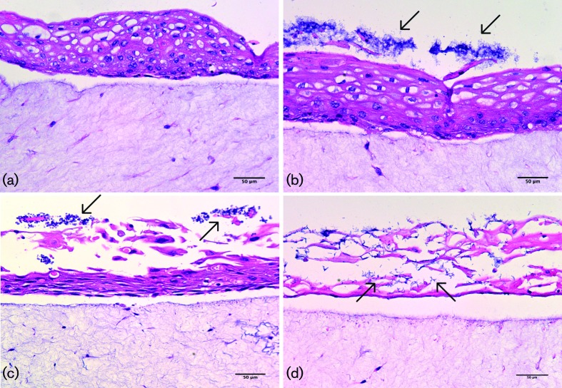
The 3D buccal or gingival mode supports the pathological study of oral diseases such as candidiasis and mucositis, and the understanding of the anti-microbial properties of the oral.

Conducting pathological staining on 3D oral tissue models subsequent to the exposure to bacteria. Fig 1. Pathological staining of 3D oral tissue models after exposure to bacteria.1

Creative Biolabs offers an effective 3D model to evaluate oral irritation-related reactions as an alternative strategy to expensive clinical or whole-animal experiments, helping customers to carry out projects to evaluate the raw materials and product formulations. Please contact us to get a detailed project plan and quotation.

Reference

  1. Morse, Daniel J et al. "Denture-associated biofilm infection in three-dimensional oral mucosal tissue models." Journal of medical microbiology. 67,3 (2018): 364-375. Distributed under Open Access license CC BY 4.0, without modification.
Research Model

Related Sections:

Inquiry Basket
ISO 9001 Certified - Creative Biolabs Quality Management System.
Copyright © Creative Biolabs. All Rights Reserved.
Top