3D Ex Vivo Human Vagina Model Introduction

Creative Biolabs is committed to delivering high-quality 3D ex vivo human vagina model for global researchers. Our state-of-the-art 3D organ models represent a revolution in biomedical research, accurately mimicking the intricate structures and functions of human organs.

Background of Gynecological Issues

The potential gynecological issues faced by women around the world throughout their lives, particularly those related to the vagina, are of significant concern. The development of new therapeutic compounds holds great promise for advancements in treating local genital infections, contraception, and systemic administration. Regrettably, many of these compounds may stimulate tissues, leading to inflammation and damage that compromises the barrier represented by mucosal tissue.

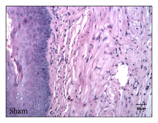
Fig 1. H&E immunostaining of vaginal tissue sections from sham.Fig 1. H&E immunostaining of vaginal tissue sections.1,3

Traditional Models

Primary cell lines grow in culture can only provide limited information relevant to the in vivo situation. This is because they lack functional barrier structures, such as the vaginal epithelium, which cannot simulate vaginal Wall pressure, the appropriate tensile strength of the vaginal culture, and other cellular components derived from the body.

Many studies utilize laboratory mice or rats to investigate genital stimulation. In fact, common small experimental animals including mice and rabbits often exhibit either excessive stimulation or high resistance when exposed to vaginal irritants, while expensive and complex large animals often face more profound ethical challenges.

Fig 2. Aurea helianthus extract activates HVECs.Fig 2. Schematic flow chart for the human vaginal epithelial cells (HVECs).2,3

Why Choose 3D Ex Vivo Human Vagina Model

The commercialization of human ex vivo vaginal model has provided a groundbreaking avenue for studying vaginal health and diseases. In fact, Creative Biolabs' 3D ex vivo vaginal model can offer crucial insights into the penetration and efficacy of topical compounds, as well as the underlying mechanisms of various conditions such as toxic shock syndrome in menstruation. Moreover, it addresses numerous limitations associated with current animal or cell culture testing systems.

  • Abundant tissue sources
    Through close collaboration with hospitals and autopsy facilities worldwide, we have access to comprehensive human vaginal samples. We ensure that each sample has undergone rigorous ethical review.
  • Authentic and reproducible testing system
    By directly sourcing from humans, our research model preserves the optimal and most authentic reproductive anatomy, composition of reproductive organs, developmental epithelial origin, guiding layers, relevant hormones, and even the microbiota.
  • Reliable drug screening platform
    Well-preserved samples effectively reproduce the functional barrier properties and permeability of the vaginal mucosa. They can also recapitulate the contributions of inflammatory cells under appropriate stimulation.

More 3D Ex Vivo Human Genitourinary Tissue Models at Creative Biolabs

Creative Biolabs' 3D ex vivo human vaginal tissue model provides unparalleled insights into the anatomy, biology, physiology, and hormonal response elements of the vagina. Extensive research has demonstrated its efficacy in histological studies and drug screening processes. Other expected ex vivo human genitourinary tissue models are also available to you. To learn more detailed information about these models, please feel free to click the link below.

With unwavering dedication to quality and advanced technologies, we enable you to unlock the intricacies of human biology and accelerate your scientific breakthroughs. Contact us today and learn more about the details how our 3D ex vivo models assist your projects.

References

  1. Li, T.; et al.Differential regulation of morphology and estrogen receptor-alpha expression in the vagina of ovariectomized adult virgin rats by estrogen replacement: a histological study. Int J Endocrinol. 2016, 1093512.
  2. Park, Y.; et al. Protection and immune modulation of activated human vaginal epithelial cells by Aurea helianthus extract. Sci Rep.2020, 10: 9227.
  3. Distributed under Open Access License CC BY 4.0, without modification.
Research Model

Related Sections:

Inquiry Basket
ISO 9001 Certified - Creative Biolabs Quality Management System.
Copyright © Creative Biolabs. All Rights Reserved.
Top