3D Ex Vivo Human Ovary Tissue Model Introduction

At Creative Biolabs, we specialize in providing advanced 3D ex vivo human ovary tissue model and related services. Our cutting-edge 3D organ models redefine the boundaries of biomedical research, offering a realistic and reproducible platform to study human organ functions with utmost precision.

Ovary and Related Diseases

The ovaries are paired organs located within the female pelvic cavity which produce and release follicle, as well as secrete hormones that facilitate the development and maintenance of female characteristics. Ovarian cysts are the most common endocrine disorder in women, affecting 5%-10% of females. While ovarian cysts alone do not pose a threat to the patient's life, it increases the risk of various conditions including obesity, insulin resistance, type 2 diabetes due to follicular maturation and ovulation dysfunction, unique polycystic ovaries, hyperandrogenism, and metabolic abnormalities.

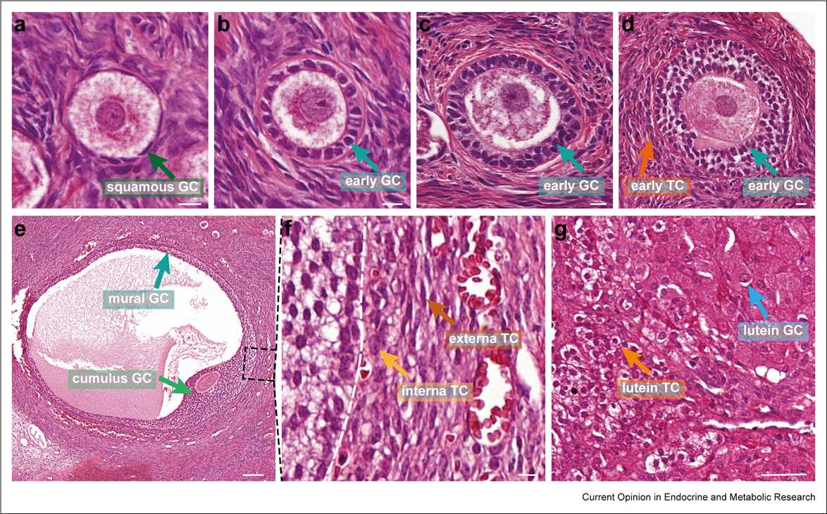
Fig 1. Visualizations of GCs and TCs during human follicle development.Fig 1. Images of granulosa cells (GCs) and theca cells (TCs) during folliculogenesis in humans.1

Traditional Models for Ovary Research

Rodent models provide a versatile tool for studying ovarian diseases, however, due to significant morphological and physiological differences between mouse and human ovaries. Moreover, it is not feasible to directly extrapolate these findings from one species to another. Therefore, alternative options such as cattle, sheep, or non-human primates would be better choices, as they display remarkable human similarities under appropriate hormone stimulation. However, these models are costly, difficult to adapt to genetic manipulation, and the use of invasive procedures in experimental animals raises serious ethical concerns.

Why Choose 3D Ex Vivo Human Ovary Tissue Model

The scarcity of ovarian samples often poses a significant challenge in the research and development of ovarian diseases. In order to better replicate the inherent characteristics of human tissues in an in vitro experimental environment, we have closely collaborated with hospitals and donation organizations worldwide to provide feasible and affordable 3D ex vivo human ovarian tissue models to scientific researchers worldwide.

1-4-9-4-3d-ex-vivo-human-ovary-tissue-model-2

More 3D Ex Vivo Human Ovary Tissue Models at Creative Biolabs

With years of experience and advanced platform, Creative Biolabs has developed a series of 3D ex vivo human ovary tissue models for global researchers. To learn more details about these models, please click the links below.

Our Services

At Creative Biolabs, we pride ourselves on delivering exceptional 3D ex vivo human ovary tissue models and comprehensive services to empower your research endeavors. Our commitment to excellence and unwavering support ensure that you have the tools and resources necessary to unravel the complexities of human biology. Join the forefront of scientific innovation and contact us today to elevate your research to new heights.

Reference

  1. Fan, X.; et al. Molecular makeup of the human adult ovary. Curr Opinion Endocr Metab Res. 2011, 18: 187-193. Distributed under Open Access License CC BY 4.0, without modification.
Research Model

Related Sections:

Inquiry Basket
ISO 9001 Certified - Creative Biolabs Quality Management System.
Copyright © Creative Biolabs. All Rights Reserved.
Top