NAA Associated Adrenalitis
Adrenalitis is the inflammation of the adrenal glands caused by autoimmunopathies or infections, which can lead to insufficiency of adrenaline or noradrenaline. At present, several types of circulating autoantibodies directed against multiple autoantigens have been found in adrenalitis. As a well-recognized leader in natural autoantibody (NAA) profiling and disease diagnosis, Creative Biolabs has committed to providing professional strategies and improved NAA services for our customers throughout the world. Now, we have successfully developed a series of innovative and diversified NAA platforms to offer one-stop NAA services based on the adrenalitis.
Background of Adrenalitis
Adrenalitis is also called idiopathic primary adrenal insufficiency, among which autoimmune adrenalitis accounts for more than 70% of all cases of primary hypoadrenalism. Autoimmune lymphocytic adrenalitis is the most common cause of adrenal failure in developed countries, which often combines with other autoimmune diseases and the most frequent cause of Addison's disease. The histological features of adrenalitis are characterized by lymphoplasmacytic inflammation leading to increased destruction of the adrenal cortex, subsequently leading to deficiencies in glucocorticoids, mineralocorticoids, and adrenal androgens. Adrenal tuberculosis is the second most frequent form of adrenalitis, showing typical granulomatous findings that are nearly always caused by spreading from a tuberculous pulmonary focus.
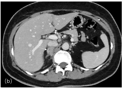
Fig.1 Adrenal mass with heterogeneous enhancement and multiple para-aortic lymph nodes on CT imaging (arrow).1
- What Causes the Disease?
- What Are the Symptoms?
- How Is Adrenalitis Diagnosed?
- How Is Adrenalitis Treated?
The pathogenesis of autoimmune adrenalitis is attributed to humoral and cellular immunities. Autoimmune adrenalitis is strongly associated with decreased suppressor T-cell function and specific HLA haplotypes (HLA B8, DR3, and DR4 alleles) and with polymorphisms in the gene for cytotoxic T lymphocyte-associated antigen 4 (CLTA 4), which may be broadly involved in susceptibility to autoimmune disease. Cell-mediated immunity is responsible for the destruction of adrenocortical cells, resulting in a series of autoantibodies against the organism itself.
Depending on the rate and extent of loss of adrenal function, adrenalitis shows different symptoms and signs. In acute cases, nausea, vomiting, anorexia, abdominal pain, fever, weakness, fatigue, lethargy, confusion, and coma may appear. When developing to chronic disease, the usual complaints center on weakness, fatigue, and weight loss. In addition, some frequent gastrointestinal problems such as nausea and severe abdominal pain are possibly related to loss of gut motility.
➢ Metabolic tests: Because the adrenal hormones are gradually lost during the disease development, while a rise in ACTH levels is concomitant with the loss of adrenal hormones, so the adrenocorticotropic hormone (ACTH) stimulation test or synacthen test with synthetic pituitary ACTH hormone tetracosactide is needed for the diagnosis.
➢ Immunological test: showing the presence of autoantibodies against some critical enzymes, which are necessary for cortisol synthesis in the adrenal cortex; autoantibodies are specific for autoimmune adrenalitis and are detectable before symptom onset.
➢ Imaging: Radiographic imaging is also helpful in determining the cause of autoimmune adrenalitis.
Hormone therapy with glucocorticoids and mineralocorticoids is the most common therapeutic strategy for autoimmune adrenalitis. Generally, glucocorticoid replacement includes oral prednisone or hydrocortisone. Mineralocorticoids are replaced with fludrocortisone at a dose enough to keep the plasma renin level in the upper limit of the normal range.
Common Natural Autoantibody in Adrenalitis
As an autoimmune disease, adrenalitis is closely associated with the autoantibodies produced by B lymphocytes. They represent diagnostic and/or prognostic markers in affected patients and identify asymptomatic relatives at risk years before disease development. NAA biomarkers to detect and track the progression of adrenalitis are an unmet clinical need.
| Natural Autoantibodies Targets in Adrenalitis | ||
| Anti-GBM | Anti-Steroid-21-Hydroxylase | Anti-Adrenal Autoantibody |
What We Can Do at Creative Biolabs?
As a pioneer and undisputed global leader in the rapidly emerging market for in vitro and in vivo NAA analysis, Creative Biolabs has completed numerous NAA detection and analysis projects for adrenalitis. We can offer the most diverse portfolio of premade or custom NAA products and services to help you get milestone development.
Please do not hesitate to contact us for more information if you are doing some research on the adrenalitis.
Reference
- Dai, Xiang, et al. "Xanthogranulomatous Adrenalitis: A Case Report and Literature Review." Frontiers in Urology 2 (2022): 841002.
Choosing natural autoantibody (NAA) microarray to profile autoantibody repertoire and reveal novel disease's marker.
- NAA Services for Anti-Steroid-21-Hydroxylase (CYP21A2 or P450c21)
- NAA Services for Anti-Adrenal Autoantibodies