Support
Autoimmune markers can provide adjunct diagnostic tools and identify patients with potential benefits from immunosuppression. Detection of disease-specific cardiac autoantibodies supports autoimmune involvement in some patients with myocarditis. Creative Biolabs is a premier natural autoantibodies (NAA) contract provider in the United States, our experts can help you from the very first idea, by providing expert consultancy in the design of your research.
Description of Myocarditis
Myocarditis is an inflammatory disease of the heart frequently resulting from viral infections and/or post-viral immune-mediated responses. Myocarditis is regarded as a precursor of dilated cardiomyopathy, which is currently the most frequent reason for heart transplantation. Myocarditis presents with a range of symptoms, from mild breathing difficulties or chest pain to cardiogenic shock and sudden death. Myocarditis can result from a wide spectrum of infectious pathogens, including viruses, bacteria, chlamydia, rickettsia, fungi, and protozoans, as well as toxic and hypersensitivity reactions. Viruses are the most commonly reported infectious agents in acute myocarditis.
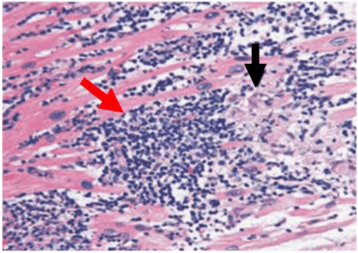
Fig.1 Histological samples from patients with active myocarditis.1
Myocarditis Develop Pathway
Myocarditis is the result of the interaction between the external environment and the host immune system. From a pathophysiological point of view, the disease can be divided into three stages :(1) acute viral, (2) subacute immune, and (3) chronic myopathy. First, virus entry into muscle cells is mediated by a specific receptor. After viral entry acute injury of the myocytes, induced by virus replication leads to myocyte necrosis, exposure of intracellular antigens, and activation of the host's immune system, which is characterized by the invasion of natural killer cells and macrophages followed by T lymphocytes. After the acute phase of virus-induced injury, the second stage is characterized by an (autoimmune) response. Activation of cytokines and antibodies to viral and cardiac proteins can aggravate the cardiac injury and cause impairment of myocardial contractility.
Fig.2 Pathogenesis and natural course of myocarditis.2
NAA Services at Creative Biolabs
- NAA Services for Anti-Sarcolemmal Antibody (ASA)
- NAA Services for Anti-myolemmal Antibody (AMLA)
- NAA Services for Anti-Fibrillary Antibody (AFA)
- NAA Services for Anti-Interfibrillary (IFA) Antibody
- NAA Services for Anti-mitochondrial Antibody (AMA)
- NAA Services for Anti-ATP Synthase β Chain
- NAA Services for Anti-laminin Antibody
- NAA Services for Anti-β1 Receptor Antibodies
- NAA Services for Anti-M2 Receptor Antibodies
- NAA Services for Anti-MHC Antibodies
- NAA Services for Anti-actin Antibodies
- NAA Services for Anti-HSP60/65 Antibody
- NAA Services for Anti-HSP 70 Antibodies
- NAA Services for Anti-tropomyosin Antibodies
Related Products at Creative Biolabs
| Target | Product name | Cat.No. |
|---|---|---|
| AMA-M2 autoantibody | Human AMA-M2 Autoantibody (IgG) ELISA kit | NAK-013 |
| Alpha- and beta-subunits of the parietal cell H+/K+-ATPase autoantibody | Human alpha- and beta-subunits of the parietal cell H+/K+-ATPase Autoantibody (IgG) ELISA kit | NAK-051 |
| VIM autoantibody | Human VIM Autoantibody (IgM) ELISA kit | NAK-068 |
| VIM autoantibody | Human VIM Autoantibody (IgG) ELISA kit | NAK-067 |
Antibodies of IgG class, which are shown to be cardiac and disease-specific for myocarditis, can be used as reliable markers for identifying patients in whom immunosuppression and/or immunomodulation may be beneficial and their relatives at risk. Some autoantibodies may also have a functional role, but further research is needed. Creative Biolabs is a comprehensive NAA solution provider, deliver NAA services and products of unparalleled quality. We are diverse, knowledgeable, and agile, with a solid leadership universally recognized in the world of NAA. If you are interested in our services and products, please contact us for more information.
References
- Nappi, Francesco, and Sanjeet Singh Avtaar Singh. "SARS-CoV-2-induced myocarditis: a state-of-the-art review." Viruses 15.4 (2023): 916.
- Tymińska, Agata, et al. "Personalized management of myocarditis and inflammatory cardiomyopathy in clinical practice." Journal of Personalized Medicine 12.2 (2022): 183.