B Cell Selection

Antibodies (Abs) are produced by the immune system. They are Y-shaped globular proteins and called Ig. The Ig molecules consist of heavy chains (IGH) and two light chains. They are either secreted by or presented on the surface of B lymphocytes fulfilling crucial functions. Monoclonal antibody (mAb) has become a major treatment in various diseases such as transplantation, oncology, autoimmune, cardiovascular, and infectious diseases. Various techniques have been developed to isolate Abs from immunized animals or human. B cell select technologies allow far greater understanding of cellular characteristics on the individual cell basis, leading to improved Ab discovery and can identify very rare and desirable antibody producing clones that would otherwise have been overlooked or missed in bulk screening. B cell select technologies have evolved rapidly in recent years.

B Cell Selection

The antigen-binding specificity is mainly determined by the antibody variable region, which is assembled from germline variable (V), diversity (D) for heavy chain, and joining (J) gene segments. The immune system has evolved a complex process to generate antibody repertoire with almost infinite diversity. B Cell selection technology has been developed to isolate mAbs from humans and immunized animals. We select B cells by fluorescence-activated cell sorting (FACS) and enable the interrogation of 10 million immune cells to generate native, monoclonal antibodies from immunized animals that specifically target an antigen.

Application of B Cell Selection in In Vitro Diagnostics (IVD) Antibody Discovery

Monoclonal antibodies were derived from several animal species, to access a broad epitope coverage. Scientists exploited B cell selection technology to select antibodies against multiple/rare epitopes and developed a rich SARS-CoV-2 antibody with deep epitope and functional diversity. These antibodies were used biomarkers for the detection of SARS-CoV-2 infection.

Schematic of the SARS-CoV-2.Fig.1 SARS-CoV-2.1

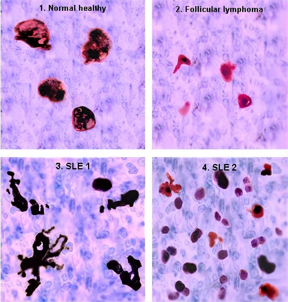
Understanding antibody repertoires and in particular, the properties and fates of B cells expressing potentially pathogenic antibodies is critical to define the mechanisms underlying multiple immunological diseases. The classic T-cell-dependent humoral response leads to the formation of germinal center (GCs), where B cells expressing high-affinity receptors for antigens present on follicular dendritic cells (FDCs). Dysregulated negative selection of GC B cells is required for development of mAbs producing PCs. B-cell selection in GCs is normally mediated by antigen acquisition from FDCs followed by antigen presentation to rare CD4 T-follicular helper cells. Currently, systemic lupus erythematosus (SLE) has been treated successfully with B-cell-depleting therapies

Germinal centres of SLE patients and controls.Fig.2 Germinal centers of SLE and controls.1 Distributed under CC BY-SA 3.0, from Wiki, without modification.

Reference

  1. Vashist, Sandeep Kumar. "In vitro diagnostic assays for COVID-19: recent advances and emerging trends." Diagnostics 10.4 (2020): 202.  Distributed under Open Access license CC BY 4.0, without modification.

For Research Use Only.



Online Inquiry
Name:
Phone:
*E-mail Address:
*Service & Products Interested:
Project Description:
Inquiry Basket
Happy Holidays
Happy Holidays close ad