Tissue Level

Tissue level detection is an important part of in vitro diagnostics (IVD). With extensive experience and mature technologies, Creative Biolabs is capable of providing high-quality and comprehensive tissue-level detection services to global researchers.

Immunohistochemistry Analysis

Immunohistochemistry (IHC) is a powerful technique that has revolutionized histopathological diagnosis in the past several decades. IHC employs antibodies to identify cellular components. Using IHC is possible to diagnose tumors by detecting the presence of tissue-specific antigens that are only expressed in certain types of cells. For example, the pathologist can be reasonably confident that a poorly differentiated neoplasm is carcinoma and not a melanoma or high-grade lymphoma if its constituent cells are immunoreactive for epithelial cell-specific markers such as cytokeratins, and in turn, do not stain for antigens expressed solely by lymphocytes or melanoma cells.

Digital Pathology Analysis

Digital pathology and whole slide imaging (WSI) - the complete digitization of slides - has the potential to transform the practice of diagnostic pathology. Digital pathology encompasses all the associated technologies that leverage digital slides to allow improvements and innovations in the workflow. WSI refers only to the high-resolution digitization and storage of entire glass pathology slides as digital slides. Image analysis is beginning to generate useful diagnostic data from H&E stained slides by analyzing metrics such as lymphocyte density, tumor stroma composition, and nuclear morphometry and textural analysis. These approaches have been used in breast, colorectal, and ovarian cancer case series.

Services at Creative Biolabs

Committed to the IVD development services for years, Creative Biolabs has a comprehensive technology platform with advanced facilities. With years of experience accumulated from practice, our mature technologies give us confidence in providing customer-satisfied tissue-level detection services.

As a global-leading biotechnology company, Creative Biolabs has strong foundations and excellent scientific staff as the powerful guarantee of our services. If you are interested in tissue level IVD detection services or any other IVD development services, please don't hesitate to contact us for more information.

Published Data

1. An Immunohistochemical Marker-Based Panel for the Accurate Diagnosis of Parathyroid Carcinoma

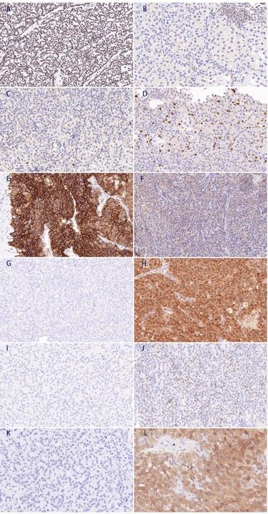
Representative images of immunostaining in parathyroid carcinoma tissue samples.Fig.1 Representative immunostaining micrographs of parathyroid carcinoma tissues.1

A model using IHC staining of 5 biomarkers for parathyroid carcinoma (PC) differential diagnosis was reported with limited samples. This study optimized a diagnostic model for PC by applying IHC staining of a series of markers in a larger sample set. The study included 44 PC patients, 6 with atypical parathyroid tumors, and 57 with parathyroid adenomas. IHC staining was conducted on formalin-fixed, paraffin-embedded tissue samples for parafibromin, Ki-67, galectin-3, PGP9.5, E-cadherin, and EZH2. Clinical characteristics, surgical procedures, and IHC results were retrospectively evaluated for their diagnostic and prognostic significance in PC. A logistic regression model using parafibromin, Ki-67, and E-cadherin IHC results yielded an area under the curve of 0.843 for distinguishing PC. Cox proportional hazards analysis revealed that negative parafibromin staining (hazard ratio: 3.26, P = 0.013) was associated with PC recurrence. This IHC panel could help differentiate PC from other parathyroid neoplasms, with parafibromin loss being a key recurrence risk factor.

Reference

  1. Hu, Ya, et al. "The significance of an immunohistochemical marker-based panel in assisting the diagnosis of parathyroid carcinoma." Endocrine (2024): 1-8. Distributed under Open Access license CC BY 4.0, without modification.

For Research Use Only.


Related Services:

Online Inquiry
Name:
Phone:
*E-mail Address:
*Service & Products Interested:
Project Description:
Inquiry Basket
Happy Holidays
Happy Holidays close ad