IVD Services for microRNA 483-5p Marker

With abundant experience in IVD (in vitro diagnostics) technology and development, Creative Biolabs provides a full range of IVD assays services for microRNA 483-5p marker for cancer screening and therapeutic monitoring. Our professional team is optimized to help you with high-quality and cost-effective service to make your project a success.

The Overview of microRNA 483-5p

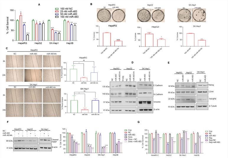
Research data demonstrating that miR-483 inhibits HCC hallmarks.Fig.1 miR-483 inhibits HCC hallmarks.1MicroRNAs are small non-coding RNAs that serve as post-transcriptional regulators of gene expression in plants, animals and microorganisms. They act by binding to complementary sites on target mRNAs to induce cleavage or repression of productive translation. The miR-483-5p gene is located in the chromosomal 11p15.5 region in the second intron of the IGF2 gene and expresses two mature forms (miR-483-5p and miR-483-3p). Up to now, several studies have been conducted to reveal the function of miR-483-5p in gastric cancer. It is reported that miR-483-5p is down-regulated in human gliomas compared with normal brain tissues and that miR-483-5p can repress glioma cell proliferation by directly targeting extracellular signal-regulated kinase 1, which is a core controller of cell proliferation and cell differentiation. MiR-483-5p plays a role of an angiogenesis inhibitor. In contrast, miR-483-5p is reportedly upregulated in plasma samples of patients with hepatocellular carcinoma. MiR-483-5p expression was found to be downregulated in the microarray analysis in the present study.

MicroRNA 483-5p Marker of Multiple Myeloma

Multiple myeloma (MM) is a clonal plasma cell malignancy characterized by pathological proliferation of B lymphocytes and the production of abnormal antibodies which can cause bone destruction, renal failure, and anemia. MM is the second most common hematological malignancy in the USA, only after non-Hodgkin lymphoma, and is implicated in 1 % of all cancers. MiR-483-5p is significantly increased in cancer, which indicates that miR-483-5p may serve as an ideal biomarker. Screening of primary tumors and biopsy samples have confirmed that miR-483-5p can be used to distinguish between malignant and benign hyperplasia in several organs.

MicroRNA 483-5p in Multiple Myeloma Diagnosis

The presence of altered miRNA profiles in plasma has been reported for several types of solid tumor. Several studies have revealed that miR-483-5p is upregulated in patients suffering from multiple myeloma. And the level of miR-483-5p is considerable that it can well discriminate multiple myeloma patients and healthy individuals, yielding an ROC-AUC of 0.745 and 0.74 respectively. Levels of microRNA-483-5p measured in the patients with multiple myeloma are correlated with ISS stage and PFS. High levels of microRNA-483-5p are linked to shorter PFS. The circulating microRNA-483-5p represents the potential marker and could be incorporated into the present system to create a precise risk stratification model with improved prognostic capabilities.

Creative Biolabs has extensive experiences in IVD technology. We have experts who are able to offer high-quality IVD antibody development services and diagnostic assays against varies of markers. We are confident in providing the most suitable service and finest results for our global customers. If you are interested in our IVD antibodies discovery services, please contact us for more details.

Reference

  1. Niture, Suryakant, et al. "MicroRNA-483-5p inhibits hepatocellular carcinoma cell proliferation, cell steatosis, and fibrosis by targeting PPARα and TIMP2." Cancers 15.6 (2023): 1715. Distributed under Open Access license CC BY 4.0, without modification.

For Research Use Only.



Online Inquiry
Name:
Phone:
*E-mail Address:
*Service & Products Interested:
Project Description:
Inquiry Basket
Happy Holidays
Happy Holidays close ad