3D Ex Vivo Human Induced Psoriasis Skin (Th17) Model Introduction

Creative Biolabs offers newly developed 3D ex vivo human induced psoriasis skin (Th17) models for global researchers. Our mission is to provide reliable and accurate models to facilitate the study of psoriasis, a chronic skin disease affecting millions of people worldwide.

Th17 and Psoriasis

Psoriasis is a chronic inflammatory skin disease characterized by hyperproliferation of keratinocytes and immune dysregulation. Dysfunctional helper T cells (Th1, Th17, Th22, and Treg cells) play an indispensable role in the development of psoriasis. The triggering factors can stimulate antigen-presenting cells (APCs) to release pro-inflammatory cytokines such as IL-23, IL-12, and IFN-α, which can activate naïve T cells and polarize them into different subsets of auxiliary T cells. As a result, these T cells produce various cytokines, including TNF, IFN-g, IL-17, and IL-22, which act on keratinocytes, amplifying psoriatic inflammation.

Fig 1. Immune dysfunction of psoriasis.Fig 1. Helper T-cells in psoriasis.1

Why Choose 3D Ex Vivo Human Induced Psoriasis Skin (Th17) Model

Fig 2. Psoriasiform phenotypes in the laboratory mouse. (Swindell, et al., 2011)

Traditional Psoriasis Model

Historically, psoriasis research has relied heavily on animal models. However, due to the complexity of interactions occurring in human skin, animal models are limited in their ability to accurately mimic the disease. Although several mouse models of psoriasis exist, which display clinical phenotypes similar to those seen in humans, they are often hindered by species-specific differences in skin biology, and frequently fail in tests involving molecular mechanisms and drug response. Consequently, researchers may face difficulties in translating their findings to clinical trials, which can lead to costly and time-consuming pre-validation efforts.


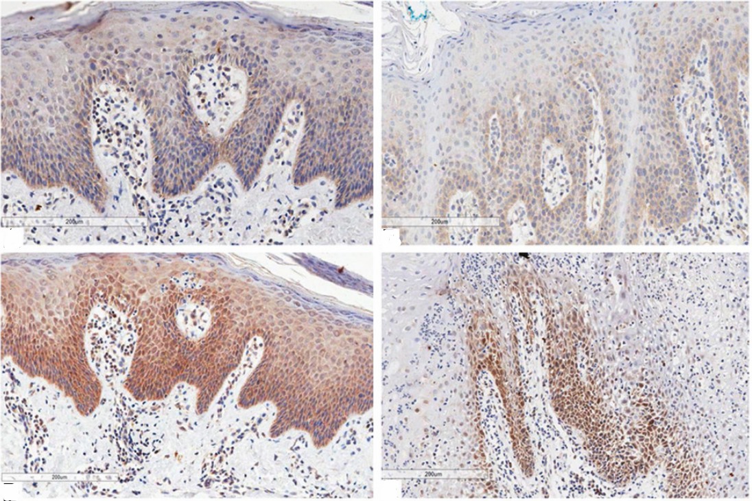
Fig 3. Immunohistochemical marking aspects of interleukins in psoriasis and geographic tongue. (Picciani, et al., 2019)

3D Ex Vivo Human Induced Psoriasis Skin (Th17) Model

Our 3D ex vivo human Induced Psoriasis Skin (Th17) Model offers several advantages over traditional models, including:

- Biologically relevant: The model is derived from human skin tissue, providing a biologically relevant platform to study psoriasis.

- Complex skin microenvironment: The model replicates the complexity of the skin microenvironment enabling researchers to investigate the interactions between these cells in psoriasis pathogenesis.

- High throughput: The model allows for high throughput screening of compounds and drug candidates.

- Predictive value: The model is more predictive of human response, increasing the likelihood of successful translation to clinical trials.

Our Services

The Th17 model we have developed has been utilized by numerous clients in the pharmaceutical industry for various research endeavors. As part of our services, we can provide the complete sampling, culturing, and testing process. Alternatively, you have the option to decide the endpoint of the process and complete downstream projects in your own facility.

Workflow and analysis of induced psoriasis skin.Fig 4. Workflow and analysis of induced psoriasis skin. (Creative Biolabs)

What Do We Provide?

Our 3D ex vivo human induced psoriasis skin (Th17) model has been used as a high-throughput and highly biologically relevant alternative to revolutionize biological research. This cost-effective and high-throughput psoriasis drug screening tool involves inducing a psoriasis phenotype in healthy skin tissue using a mixture that activates the Th17/IL-17 pathway. Researchers can then use ELISA and/or rt-PCR to explore the effects of test compounds on the expression of inflammatory cytokines to determine their impact on psoriasis patients. In addition, we have developed other 3D ex vivo human skin disease models for global researchers, including LPS induced acne skin (LPS) model, induced atopic dermatitis skin model, induced inflamed skin model. Contact us Creative Biolabs today to discuss your specific research needs with our experts.


References

  1. Hu, P.; et al. The role of helper T cells in psoriasis. Front Immunol. 2021, 12:788940. Distributed under Open Access License CC BY 4.0, without modification.
  2. Swindell, W.; et al. Genome-wide expression profiling of five mouse models identifies similarities and differences with human psoriasis. PLoS One. 2011, 6(4): e18266. Distributed under Open Access License CC BY 4.0. The original image was modified by keeping 'K5-Tie2' and 'Imquimod'.
  3. Picciani, B.; et al. Evaluation of the Th17 pathway in psoriasis and geographic tongue. An Bras Dermatol. 2019, 94(6): 677-683. Distributed under Open Access License CC BY 4.0. The original image was modified by keeping part (A, B, D, E).
Research Model

Related Sections:

Inquiry Basket
ISO 9001 Certified - Creative Biolabs Quality Management System.
Copyright © Creative Biolabs. All Rights Reserved.
Top