3D Ex Vivo Human Phenotypic Skin Disease Model Introduction

Creative Biolabs offers a reliable and effective 3D ex vivo human phenotypic skin disease model to our clients all over the world to aid in their understanding of human phenotypic skin disease.

Skin Diseases

Skin diseases are a complex group of skin disorders that affect millions of people worldwide. These diseases encompass a wide range of skin conditions, including psoriasis, atopic dermatitis, vitiligo, and many others. Such diseases can be induced by a variety of factors, including genetics, allergen stimulation, autoimmune abnormalities, sunburn, etc. These conditions can be difficult to study using traditional methods due to the complex nature of skin and the heterogeneity of patient populations.

Fig 1. Distribution of Notch ligands and receptors in human skin.Fig 1. Distribution of Notch ligands and receptors in human skin.1

Traditional Models for Skin Disease Research

To better understand human phenotypic skin diseases, researchers have developed various models, including animal models and in vitro models, such as cell lines and organotypic cultures. Although the most commonly used animal models can restore the characteristics of some human skin diseases, they are still limited by the huge differences between humans and experimental animals, which makes the research results unable to be successfully translated into clinical trials.

3D Ex Vivo Human Phenotypic Skin Disease Model

The 3D human ex vivo phenotype skin disease model is a revolutionary sample for skin disease research. These models simulate disease phenotypes in healthy human skin tissue samples obtained from cosmetic surgery procedures. A proprietary mixture is used to stimulate disease pathways in these tissue samples, resulting in the upregulation of inflammation mediators associated with the disease, such as the Th17/IL-17 or IL-23 pathways.

Once the disease phenotype is achieved, test compounds are added and their anti-inflammatory effects are evaluated. Each donor undergoes up to thirty puncture biopsies, allowing for parallel screening of multiple intervention compounds, resulting in high research throughput and rapid turnover. Any changes in inflammatory mediators produced as a result can be measured through multiple ELISA assays or changes in histology or gene expression (RT-PCR, RNA-Seq, or even single-cell RNA sequencing).

Induced Psoriasis Model (Th17)
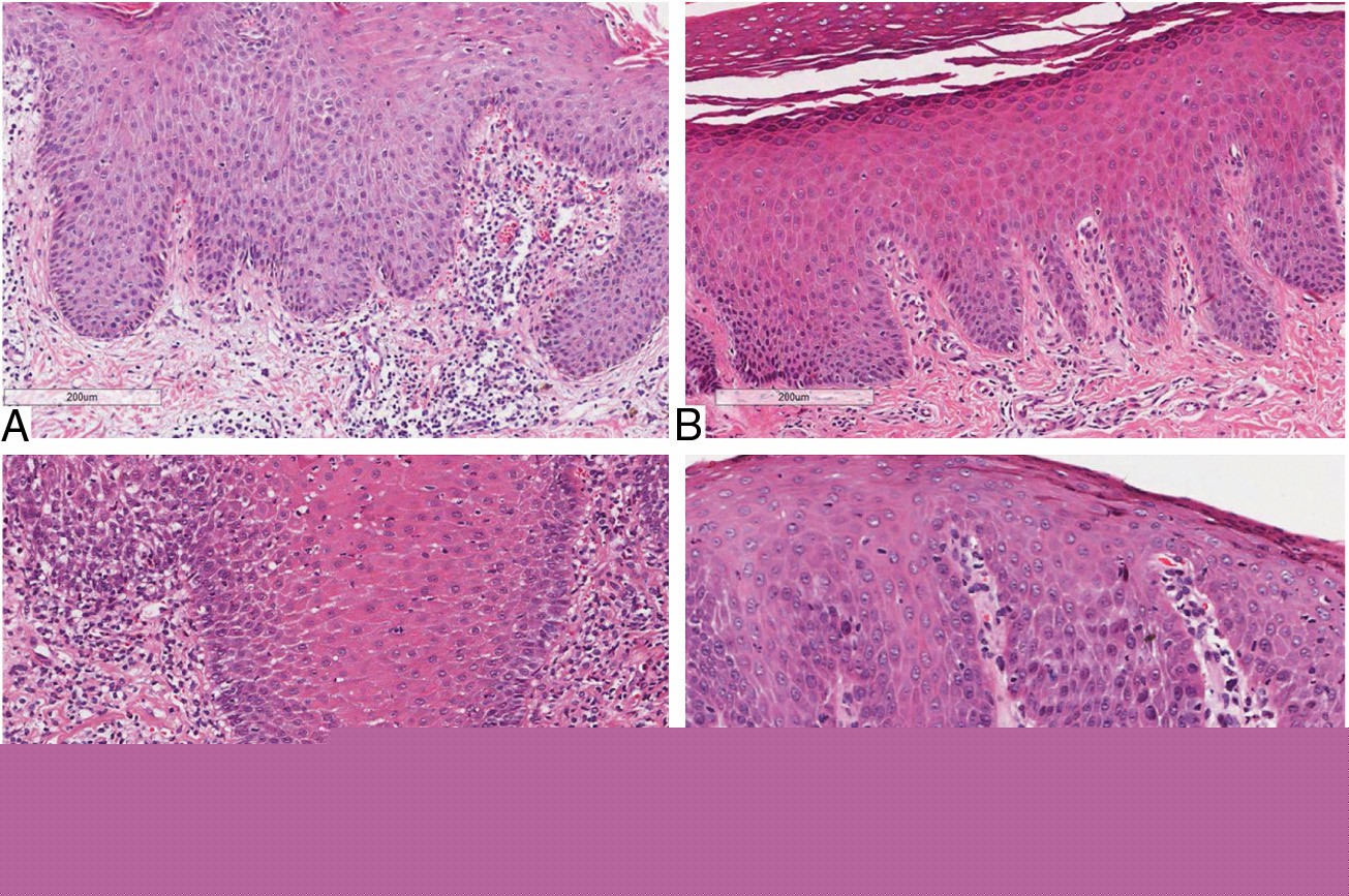
Fig 2. Histopathological aspects of inflammatory infiltrate. (Picciani, et al., 2019)
Utilizes living skin that has been modified to produce a psoriasis-like phenotype through the activation of the Th17 pathway.
Inflamed Skin Model (PHA)
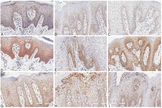
Fig 3. Immunohistochemical marking aspects of interleukins in psoriasis. (Picciani, et al., 2019)
Our inflamed skin model utilizes skin that has been modified to produce a Th2-like phenotype stimulated by phytohemagglutinin (PHA).
Induced Acne Model (LPS)
Fig 4. Quantification of IHC staining of AD-HSE stimulated with IL-4/IL-13. (Kim, et al., 2022)
Our acne model utilizes skin that has been modified to produce an acne-like phenotype stimulated by lipopolysaccharide (LPS).
Induced Atopic Dermatitis Model
Fig 5. H&E staining of AD-HSE. (Kim, et al., 2022)
Our assay utilizes living skin that has been modified to produce an atopic dermatitis-like phenotype through the activation of the Th2 pathway.

Main Features

Different from traditional animal model, our 3D ex vivo human phenotypic skin disease model will be your ideal choice for high-throughput research, drug molecular immune response experiments and toxicology tests with the following characteristics:

  • Can undergo up to 30 puncture biopsies for this model.
  • Multiple compounds can be screened simultaneously.
  • Biopsies can be cultured for a maximum of 7 days.
  • Simulate various skin diseases, including psoriasis, atopic dermatitis, and acne.
  • An economical and practical alternative for human skin disease testing.

Our Services

As a leading provider of ex vivo human tissue models, Creative Biolabs is committed to delivering exceptional services to our clients all over the world. In addition to cytokine analysis, gene expression, and immunohistochemistry, our model allows for other forms of endpoint analysis. Also, we can perform analytical assays and downstream testing as part of our overall service to promote your projects. Contact us today to learn more about how our ex vivo 3D human tissue model can benefit your research.

References

  1. Gratton, R.; et al. Pleiotropic role of notch signaling in human skin diseases. Int J Mol Sci. 2020, 21(12): 4214. Distributed under Open Access License CC BY 4.0, without modification.
  2. Picciani, B.; et al. Evaluation of the Th17 pathway in psoriasis and geographic tongue. An Bras Dermatol. 2019, 94(6): 677-683. Distributed under Open Access License CC BY 4.0, without modification.
  3. Kim, K.; et al. An Interleukin-4 and Interleukin-13 induced atopic dermatitis human skin equivalent model by a skin-on-a-chip. Int J Mol Sci. 2022, 23(4): 2116. Distributed under Open Access License CC BY 4.0. The original images were modified by keeping Figure 3 part (a), the left two panels, and Figure 2, (a)-(l).
Research Model

Related Sections:

Inquiry Basket
ISO 9001 Certified - Creative Biolabs Quality Management System.
Copyright © Creative Biolabs. All Rights Reserved.
Top