3D Ex Vivo Human Pharynx Tissue Model Introduction

Creative Biolabs has launched a comprehensive and extensive donor network, giving our clients the opportunity to obtain rare human tissue samples conveniently and customizable. By establishing strong procurement partnerships with hospitals, clinics and donor organizations around the world, we have built a rich stock of normal human tissue specimens and a service network for instant and fast collection and transfer of pathological tissue samples based on custom protocols.

Pharynx and Related Disease

The Pharynx is a crucial component of the human upper respiratory tract responsible for facilitating the transportation of air and food into their respective pathways. It is a complex, muscular, and membranous structure that connects the nasal cavity and mouth to the larynx and esophagus. However, the Pharynx is prone to various diseases that can cause significant discomfort and affect a person's quality of life. Unfortunately, the pathogenic mechanisms of Pharynx diseases remain poorly understood, hindering the development of effective treatments.

Why Choose 3D Ex Vivo Human Pharynx Tissue Model?

Conventional animal and cell models have been the primary tools for Pharynx disease research. However, their limitations in replicating the intricate structural and functional characteristics of human Pharynx tissue have led to a lack of success in predicting drug efficacy and toxicity in clinical trials. Moreover, these models cannot mimic the complex interactions between cells and the extracellular matrix, which plays a vital role in the pathogenesis of such diseases.

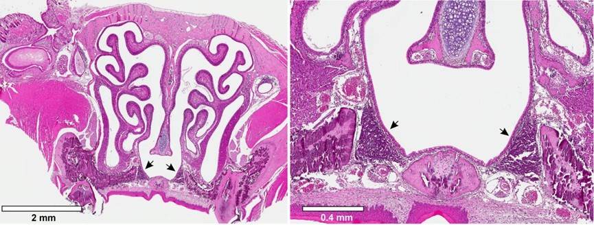
Mouse nasal cross section associated lymphoid tissue.Fig 1. Nasal-associated lymphoid tissue.1

In order to overcome such setbacks, ex vivo models have emerged as a promising alternative to conventional models for Pharynx research. Ex vivo models offer numerous advantages, including a more physiologically relevant environment, maintenance of tissue architecture and function, as well as the ability to study human-specific diseases. Creative Biolabs offers valuable access to these rare human tissue models to scientific researchers around the world.

Magnetic Resonance Imaging data of a healthy subject used to create the upper airway model.Fig 2. MRI image of the human upper respiratory tract.2

Our Services

With professionally certified histopathological/physiological confirmation and an extensive, convenient procurement and supply network, Creative Biolabs ensure that we provide only the highest quality human pharyngeal tissue samples. We will ensure that the research samples you obtain have comprehensive clinical data collection, correct pathological confirmation of donor history and professional collection-storage-delivery protocols. Our inventory of digestive system disease research models includes:

These highly reproducible and physiologically relevant human tissue models will allow you to fully and accurately study pharyngeal diseases and perform drug development efforts. In addition, our expert team is at your disposal to provide you with professional support and advice on experimental design and data analysis, so please don't hesitate to contact us for any needs.

References

  1. Gogos, Artemis, and Michael J Federle. "Modeling Streptococcus pyogenes Pharyngeal Colonization in the Mouse." Frontiers in cellular and infection microbiology 9,137 (2019): 2. Distributed under Open Access license CC BY 4.0, without modification.
  2. Le, Trung B et al. "Airflow limitation in a collapsible model of the human pharynx: physical mechanisms studied with fluid-structure interaction simulations and experiments."Physiological reports 7,10 (2019): e14099. Distributed under Open Access license CC BY 4.0, the original image's title was changed to "MRI image of the human upper respiratory tract".
Research Model

Related Sections:

Inquiry Basket
ISO 9001 Certified - Creative Biolabs Quality Management System.
Copyright © Creative Biolabs. All Rights Reserved.
Top