3D Ex Vivo Secondary Airways (Diseased) Contractility Model Introduction

Secondary airways are the smaller airways in the lungs that follow the bronchi and bronchioles. These airways are responsible for delivering air to the alveoli where gas exchange occurs. The diseased secondary airway is inflamed, narrowed, and obstructed, manifested as severe dyspnea, and the resulting decline in lung function is closely related to a variety of lung diseases. Understanding the mechanisms of airway hyperresponsiveness in diseased secondary airways is critical for the development of effective treatments or drugs. Creative Biolabs can provide different types of 3D ex vivo secondary airways (diseased) contractility models to accelerate the development of drugs for lung diseases.

3D Ex Vivo Secondary Airways (Diseased) Contractility Models Overview

When muscles that line the airways contract excessively, airway dysconstriction causes the airways to narrow and block, making it difficult for air to move in and out of the lungs, leading to the development and worsening of lung disease. Although a variety of candidate drugs have been verified in vivo animal models and in vitro cell models, these models cannot truly reflect the real airway lesions in humans. Excitingly, the 3D ex vivo secondary airways (diseased) contractility models can be used to verify the effectiveness of drugs. These models are human lung tissue derived from patients with airway diseases and can be used to study the contractile response of diseased secondary airways to various drugs or stimuli to study the mechanism of airway dysfunction or verify the effectiveness of candidate drugs.

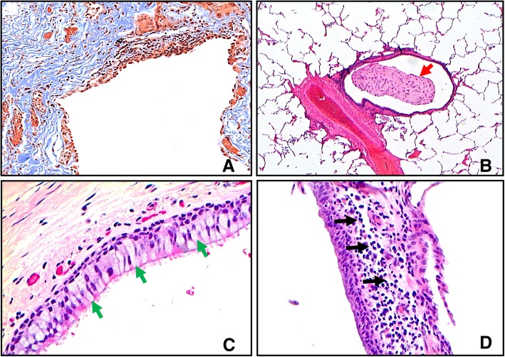
The microscopic characteristics of small airway pathology in Chronic Obstructive Pulmonary Disease (COPD).Fig 1. Histopathological features of small airways disease in COPD.1

The advantages of these models over in vivo animal models and in vitro cell models are as follows.

  • More accurately replicate diseased human secondary airways.
  • Verify the drug effectiveness in the real microenvironment of human airway tissue.
  • Can measure mechanical properties of airway tissue to characterize drug effectiveness.
  • Gain higher recognition in the drug validation stage.

Creative Biolabs has been dedicated to providing the most comprehensive disease research and drug development platform for global researchers and biopharmaceutical companies. For the diseased secondary airways contractility test, we can cut small rings of tracheal or bronchial tissue and suspend them in an organ bath filled with a physiological solution. The tissue is then stimulated with various drugs or stimuli, and the resulting contraction is measured using specialized force transducers. Currently, we can provide the following models.

If you are looking for a suitable model to verify the effect of candidate drugs on the contractility of the second airway in the human pathological microenvironment, please feel free to contact us.

Reference

  1. Higham, Andrew et al. "The pathology of small airways disease in COPD: historical aspects and future directions." Respiratory research. 20,1 (2019): 49. Distributed under Open Access license CC BY 4.0, without modification.
Research Model

Related Sections:

Inquiry Basket
ISO 9001 Certified - Creative Biolabs Quality Management System.
Copyright © Creative Biolabs. All Rights Reserved.
Top