3D Ex Vivo Human Kidney Squamous Cell Carcinoma Model Introduction

KSCC (Kidney squamous cell carcinoma) is a very uncommon variety of malignant tumors of the urinary system. Due to the uncertain origin, early clinical signs, and poor prognosis of KSCC, correct diagnosis is challenging. Creative Biolabs offers a 3D ex vivo human KSCC model to help advance the study of its pathogenesis, diagnosis, and drug application.

Overview of KSCC

Overview of KSCC

Features of 3D Ex Vivo Human KSCC Model

Features of 3D Ex Vivo Human KSCC Model

Extensive 3D Kidney Models at Creative Biolabs

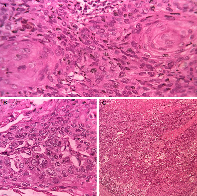
In renal squamous cell carcinoma tissue, irregular nest and malignant cells are arranged in sheet.Fig 1. Histological section of renal squamous cell carcinoma.1

Creative Biolabs offers 3D ex vivo human KSCC model and its associated services to help advance the diagnosis of KSCC and the development of drug intervention strategies. Please contact us to discuss your needs for the model.

Reference

  1. Datta, Pragyamita. "Squamous cell carcinoma in kidney with chronic pyelonephritis and pyelonephrosis: a rare case."The Pan African medical journal 45.31 (2023): 31.39117. Distributed under Open Access license CC BY 4.0, the original image's title was changed to "Histological section of renal squamous cell carcinoma".
Research Model

Related Sections:

Inquiry Basket
ISO 9001 Certified - Creative Biolabs Quality Management System.
Copyright © Creative Biolabs. All Rights Reserved.
Top