3D Ex Vivo Human Psoriasis Model Introduction

Creative Biolabs is excited to share with you the latest advances in our cutting-edge field and our services that can provide you with reliable and accurate 3D ex vivo human psoriasis models for your research needs. This model provides an accurate and realistic representation of the disease, allowing researchers to gain a deeper understanding of its mechanisms and to develop new therapies.

Psoriasis

Psoriasis is a chronic autoimmune disease that affects approximately 2-3% of the global population. This condition is characterized by the excessive growth of skin cells, leading to the formation of red, scaly patches on the skin. Despite its prevalence, the underlying mechanisms of psoriasis are not yet fully understood. Studies have proved that psoriasis is an immune-mediated inflammatory skin disease, and its pathogenesis is related to inflammatory cell infiltration and inflammatory factors. However, it is also believed that the occurrence of this disease is not a single cause, but a multifaceted inducement including multiple factors such as genetics, infection, endocrine and mental diseases. Research in this area is essential for developing new treatments that can improve the lives of those affected by this disease.

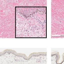
Fig 1. Hydrocortisone reduces inflammation and epidermal damage.Fig 1. Inhibition of inflammatory phenotypes via hydrocortisone.1

Why Choose 3D Ex Vivo Human Psoriasis Model

Fig 2. Psoriasiform phenotypes in the laboratory mouse. (Swindell, et al., 2011)

Traditional Psoriasis Model

Psoriasis research has traditionally relied on animal models, which are limited in their ability to accurately mimic the complex interactions that occur in human skin. Several common mouse psoriasis models, although in human-representative clinical phenotypes such as red scaly skin, are hindered by species-specific differences in skin biology and frequently fail tests involving molecular mechanisms and drug response. These shortcomings can make it difficult for researchers to successfully translate their results into clinical trials, resulting in time-consuming and expensive pre-validation efforts.


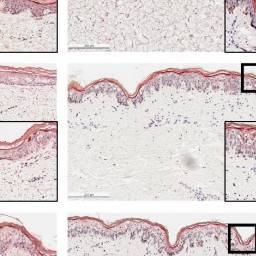
Fig 3. Assessment of epidermal barrier protein expression in the inflammatory skin models. (Wang, et al., 2023)

3D Ex Vivo Human Psoriasis Model

Our ex vivo 3D human psoriasis models provide an innovative and reliable solution to the limitations of traditional psoriasis research models. Our models utilize skin samples from psoriasis patients, resulting in 3D models that closely mimic the complex microenvironment of human skin and accurately reflect the disease pathophysiology. Our biopsy samples maintain good skin structure and cellularity, allowing for the study of cellular interactions, disease progression, and drug screening in a comprehensive and realistic manner. By utilizing all-layer skin biopsies from our clinical network, well-preserved tissue samples can be incubated under optimal conditions for 24 hours and then extend incubation for an additional 24 hours in the presence of test items, resulting in optimal downstream results.

What We Provide

At Creative Biolabs, we understand that every research project has its unique requirements. That's why we offer a range of human tissue and clinical-related data that have undergone thorough pathological evaluation and review, available in either fresh or preserved form, tailored to your specific needs. Additionally, we have the ability to process and collect pathological models of different clinical manifestations and disease stages according to your exact specifications and deliver them to you in a timely manner that best fits your experimental design.

Our 3D ex vivo human psoriasis models utilize skin biopsies from psoriasis donors to evaluate the anti-inflammatory effect of your test items. Through ELISA and/or rt-PCR analysis, our models enable the investigation of the effect of your test item on inflammatory cytokine expression. Furthermore, we offer a range of endpoint analysis options, such as gene expression and immunohistochemistry, to meet your specific research needs. You can either commission us to perform analytical assays and downstream testing as part of an overall service, or directly acquire the models and conduct experiments on your own.

Please do not hesitate to contact us to learn more about our services and how we can assist you in achieving your research goals.

References

  1. Wang, E.; et al. The development of human ex vivo models of inflammatory skin conditions. Int J Mol Sci. 2023, 24(24): 17255. Distributed under Open Access License CC BY 4.0. The original image was modified by keeping Figure 6, without modification; and Figure 2, the fourth-row, left panel.
  2. Swindell, W.; et al. Genome-wide expression profiling of five mouse models identifies similarities and differences with human psoriasis. PLoS One. 2011, 6(4): e18266. Distributed under Open Access License CC BY 4.0. The original image was modified by keeping 'Imiquimod' and 'K14-AREG'.
Research Model

Related Sections:

Inquiry Basket
ISO 9001 Certified - Creative Biolabs Quality Management System.
Copyright © Creative Biolabs. All Rights Reserved.
Top