Solid Array Diagnostics

Based on a decade of cutting-edge bench research and the completion of a challenging, yet ultimately successful drug campaign, Creative Biolabs concentrates on promoting the understanding of in vitro diagnostics (IVD) breakthroughs in treating human diseases. We are dedicated to providing integrated solutions for solid array design and discovery in unprecedented ways. In our company, our scientists specialized in solid array studies will work with you to develop the most appropriate strategy that will offer reproducible data for your research.

Introduction to Solid Array

In recent years, the array of technology has emerged as one of the most popular tools for disease diagnosis. Pilot studies have shown that it plays an important role in analyzing samples from different sources, identifying the biomarkers of many diseases, as well as revealing the biology of underlying diseases. Moreover, recent reports have indicated that the array technology can be also used in detecting genetic variations and chromosomal aberrations related to diseases, such as cancers. Till now, the array technology can be classified into two key types based on specific array elements, liquid array, and solid array. Among them, the solid array has become an attractive recent advance being used for protein and gene research. For instance, a novel solid array has been developed by using complementary metal-oxide-semiconductor technology to detecting nucleotides. Each array consists of more than 10 connectors that can regulate more than 350 single test sites. Therefore, the solid array has been considered as a universal tool for fast, accurate, high-throughput testing of biological systems in disease diagnosis.

Schematic illustration of the procedure of DNA microarray.Fig.1 Schematic representation of the DNA microarray methodology.1

Solid Array Diagnostics

Nowadays, solid arrays are usually designed by using rigid material substrates, such as glass or silicon wafer, which act as solid support. There are thousands of identical probes fixed on solid surfaces, arranged in an orderly fashion at high density. As a result, these solid arrays can provide high-throughput, large-scale detecting for IVD research.

As a global contract research organization, Creative Biolabs has established a well-mature solid array diagnostic platform to offers a complete disease diagnostics service chain, ranging from target identification, array design, candidate drug screening to array evaluation and optimization. Our platform equipped with state-of-the-art facilities and highly experienced staff are available to assist in a wide variety of solid array projects, including but not limited to:

Gene Array for Disease Diagnostics

In Creative Biolabs, our integrated team offers a wide battery of gene array solutions for helping the diagnosis of different kinds of human diseases. Our gene arrays enable us to test the expression of various genes and identify genetic variations associated with the disease develop in a single reaction. In general, a typical gene array is composed of probe labeling, target capture, and hybridization detection. The exact amount of samples bound to each site suggests the expression profiling of specific genes.

Protein Array for Disease Diagnostics

Currently, many advances in protein arrays allow us to understand the biology of diseases based on protein expression, which is thought to be more reliable than gene expression as a biomarker for disease onset or therapeutic monitoring. As a result, Creative Biolabs offers a wide spectrum of protein array discovery services to design more accurate and effective array technologies. Recent reports conducted by our labs have suggested that our protein array technologies can be used to quantitatively measure samples of interest which are labeled with different tag types, such as fluorescence and biotin. Besides, our emerging protein array platforms can be combined to generate synergies and open up new applications in proteomics and clinical diagnostics.

With in-depth expertise in array design and IVD research, Creative Biolabs provides a full range of solid array services basing on various types of advanced technologies. We will help our worldwide customers bring more and more new solid arrays into clinical applications for diagnosing human diseases. If you have any special needs in our solid array services or be interested in learning more about our company, please contact us for more details.

Published Data

1. A Microarray-Based Approach for Detecting Antibodies Targeting SARS-Cov-2, Common Respiratory Viruses, and Type I Interferons

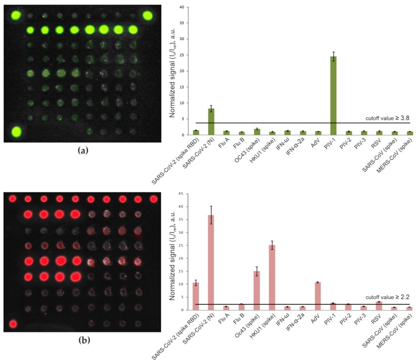
The fluorescence profiles of the microarray as the result of testing serum samples from patients with severe COVID-19.Fig.2 Detection of antibodies with the microarray-based assay.2,4

This work developed a microarray-based assay for detecting IgG and IgM antibodies against betacoronaviruses (SARS-CoV-2, SARS, OC43, MERS, and HKU1), other respiratory viruses, and type I interferons (IFN-Is). This multiplex assay tracked antibody cross-reactivity and identified IFN-I antibodies as markers for severe COVID-19. A total of 278 serum samples from various cohorts, including convalescent plasma donors, ICU patients, those with mild/moderate COVID-19, vaccine recipients, and patients with autoimmune endocrine disorders, were analyzed. Results aligned with ELISA findings. In ICU patients, 10.5% had autoantibodies against IFN-Is, and 10.5% showed IgM antibodies against multiple viruses. Cross-reactivity between IgG against SARS-CoV-2 nucleocapsid and OC43/HKU1 spike proteins was observed in prepandemic samples from autoimmune patients.

2. Generation of Digital DNA Microarrays on Glass Substrates

Workflow of the system for the easy and rapid generation of DNA microarrays on standard microscope glass slides, which is based on solid phase PCR.Fig.3 Schematic representation of the solid phase PCR process for DNA microarrays generation.3,4

This study developed a cost-efficient and scalable method for producing DNA microarrays on standard microscope slides using a PDMS/aluminum composite cavity-chip system. This system facilitates solid-phase PCR in a reliable and easy-to-handle manner. For proof of concept, researchers demonstrated the applicability of digital PCR on the chip using a DNA pool of two different species. They also showed that DNA microarrays could be generated using various laboratory equipment, including a slide cycler, manual water baths, and an automated cartridge system. After analyzing over 13,000 monoclonal DNA spots, they found no significant differences between the equipment used. To demonstrate scalability, they varied cavity sizes and numbers up to 30,000 cavities, each with a volume of less than 60 pL. Combined with label-free measurement systems, this technology offers great potential to advance DNA microarray applications.

References

  1. Lamas, José Ramón, Pilar Tornero-Esteban, and Benjamín Fernández-Gutiérrez. "Therapeutic potential of mscs in musculoskeletal diseases (osteoarthritis)." Tissue reiteration–From basic biology to clinical application (2012): 261. Distributed under Open Access license CC BY 3.0, without modification.
  2. Savvateeva, Elena, et al. "Microarray-based detection of antibodies against SARS-CoV-2 proteins, common respiratory viruses and type I interferons." Viruses 13.12 (2021): 2553.
  3. Wöhrle, Johannes, et al. "Digital DNA microarray generation on glass substrates." Scientific reports 10.1 (2020): 5770.
  4. Distributed under Open Access license CC BY 4.0, without modification.

For Research Use Only.


Related Services:

Online Inquiry
Name:
Phone:
*E-mail Address:
*Service & Products Interested:
Project Description:
Inquiry Basket
Happy Holidays
Happy Holidays close ad