IVD Antibody Development Services for PAX-2 Marker

Today, in vitro diagnostic (IVD) antibodies has been widely used for the diagnosis and prognosis of human diseases. As a professional antibody service provider, Creative Biolabs has established a broad range of IVD antibody development services targeting different diagnostic markers of renal cancer, such as the paired-box 2 (PAX-2) marker.

PAX Family

The Paired Box (PAX) genes are a highly conserved family of transcription factors (TFs) belonging to the helix turn helix motif. Each of the PAX genes encodes a transcription factor which contains a paired-box DNA binding domain with or without octapeptide and/or homeodomains. In higher vertebrates, nine well-characterized genes isolated from the PAX family are classified into four paralog subgroups (PAX1/PAX9, PAX2/PAX5/PAX8, PAX3/PAX7, PAX4/PAX6) on the basis of sequences correlating with expression patterns in developing embryonic tissues. PAX genes are tightly controlled through both temporal and spatial expression patterns. It is primarily found in fetal development, however, constitutive PAX expression promotes tissue hyperplasia and these genes are switched off during later stages of terminal differentiation of most tissues. For instance, the PAX-2 expression must be terminated for completion of epithelial differentiation in kidneys.

PAX gene plays an important part in developmental processes and formation of inherited diseases. The key role of PAX in early patterning, organogenesis, and cell fate indicates that Pax genes are master control genes. Mutations of PAX site are associated with certain human diseases, such as Waardenburg syndrome and Aniridia, and are also linked to many cancers. The report shows that PAX gene mRNA levels were characterized in 54 common cancers and very frequent PAX expressions, approximately 90%, were detected in tumor cell lines, while a high proportion of primary tumors involving ovarian, breast, lung, prostate, lymphoma, and colon cancer. These data suggest that endogenous PAX levels in cancer are common and required for the survival of numerous cancer types.

PAX-2

The Paired-box 2 (PAX-2) encodes a transcription factor from the conserved PAX family, characterized by a paired-box DNA-binding domain. Its gene is mapped to the chromosome of 10q24.3-q25.1 and contains 12 exons. Alternative splicing of PAX-2 results in multiple transcript variants which originate five well-characterized splice variants sharing common promoter region. It is necessary for the PAX-2 product to be presented during the development of central nervous systems (brain and spinal cord) and genitourinary tracts. During embryonic life, the PAX-2 gene also provides instructions for the formation of developing kidney, as well as midbrain-hindbrain junction, ear, and optic stalk.

PAX-2 and Renal Cancer

The PAX-2 belongs to a gene family who plays a critical role in the formation of tissues and organs during the fetal period. The PAX-2 expression is primarily present during early stages of embryogenesis, where it is thought to suppress apoptosis and promote epithelial aggregation. And then PAX-2 gene is switched off in most part of the kidney in the later phases of differentiation. Actually, in adult kidney, PAX-2 mRNA level is restricted to cells of collecting ducts and, to a lesser extent, to cells of the distal tubules.

The expression of PAX-2 is suppressed by promoter methylation at the later phases of embryonic development but finally reactivated during carcinogenesis. It is commonly observed in the most prevalent renal cell carcinoma (RCC) subtypes, including clear cell RCC (ccRCC), papillary RCC (pRCC) and oncocytoma, whereas not in chromophobe RCC (chrRCC), which frequently displays chromosome 10 loss to which PAX-2 is mapped.

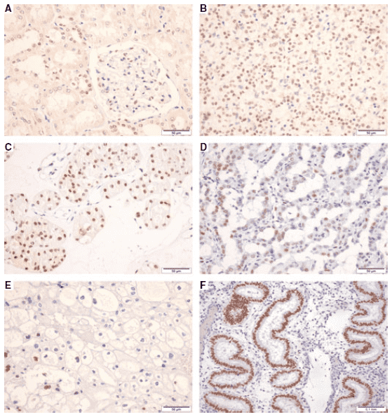
Expression patterns of PAX-2 protein.Fig.1 PAX-2 protein expression by immunohistochemical analysis in normal kidney (A), and endometrial glands (F) and renal cell tumors (C-E).1

PAX-2 Marker for Renal Cancer

RCC is regarded as the most common malignancy among primary renal tumor is notorious for its initial presentation with metastasis, while immunomarkers for the diagnosis of RCC are limited. It is reported that PAX-2 is believed to be a target of transcriptional suppression via the tumor suppressor gene WT1. Recently, PAX-2 has been added to the battery of markers for renal cancers. Although it is known to express in increasing numbers of tumor types, PAX-2 is considered to be more specific and sensitive than traditional targets for renal tumors of a broad morphologic spectrum.

IVD Antibody Development Service for PAX-2 Marker

With extensive experience and advanced technologies, Creative Biolabs has been recognized as an expert in the field of IVD antibody development. Our scientific team is able to provide polyclonal, monoclonal, and recombinant antibody development services for diagnostic use. Besides, we help develop high-quality IVD immunoassays of different formats, giving expert support in feasibility analysis, protocol establishment, assay design, validation, and kit production.

If you are interested in our service, please feel free to contact us for more information and a detailed quote.

Reference

  1. Patrício, P., (2013). “Deregulation of PAX-2 expression in renal cell tumours: mechanisms and potential use in differential diagnosis.” J Cell Mol Med, 17(8), 1048-1058. Distributed under Open Access license CC BY 3.0, without modification.

For Research Use Only.



Online Inquiry
Name:
Phone:
*E-mail Address:
*Service & Products Interested:
Project Description:
Inquiry Basket
Happy Holidays
Happy Holidays close ad