3D Ex Vivo Human Induced Inflammed Skin Model Introduction

Unlock the potential of human tissue research with Creative Biolabs' revolutionary 3D ex vivo human-induced inflamed skin model.

Skin Inflammation

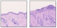
Histology of skin inflammation. Fig 1. Immunohistologic observations
of skin inflammation.1,2

Skin inflammation is a hallmark of immune response. Symptoms include redness, heat, swelling, pain, and itching. Rashes, hives, plaques, or blisters may also occur. The majority of skin inflammation triggers are acute, including allergies, photosensitivity, bacterial, viral, or fungal infections, prickly heat, and sunburn. However, some severe skin inflammations can be caused by autoimmune disorders. Most cases of skin inflammation are curable, and treatment depends on the underlying cause of inflammation

Traditional Model for Skin Inflammation

Studying inflammatory cytokines' role in a miniature skin Inflammation model. Fig 2. Exploring the role of inflammatory cytokines
in a small model of skin inflammation.1,3

Animal models have been widely used in the research of innate immune activation related to skin inflammation. Although these models reproduce some features of human skin inflammation, they have significant limitations, such as limited reproducibility, the need for repeated treatments, long pre-disease prodromal periods, and limited availability of these genetically engineered mice. Human ex vivo skin tissue has been used to test the skin toxicity of chemicals. However, the source of skin grafts is often limited, rare, and expensive.

3D Ex Vivo Human Induced Inflamed Skin Model

Creative Biolabs has developed a high-throughput equivalent model for skin inflammation research and drug screening by inducing a pro-inflammatory phenotype in healthy skin punch biopsy samples using phytohemagglutinin (PHA). The human skin-induced inflammation model exhibits a well-preserved physiological structure, morphology, and inflammatory characteristics, allowing for a more faithful reproduction of drug and inflammatory responses in human tissues.

Methodology and analysis of induced atopic dermatitis skin lesions.Fig 3. Workflow and analysis of induced AD skin. (Creative Biolabs)

Our Services

By creating a skin inflammation equivalent model that preserves the most primitive human skin structure, Creative Biolabs has established a larger throughput, more human-relevant, and customizable alternative for compound screening. In addition to 3D Ex Vivo Human Induced Inflamed Skin Model, we have also developed induced psoriasis model (Th17), induced acne model (LPS), and induced atopic dermatitis model for global researchers. You can confidently entrust us with any endpoint analysis process to assess the effects of specific analytes on inflammatory cytokines using customized reference compounds.

Don't miss out on the opportunity to transform your research. Reach out to us now and unlock the full potential of our 3D ex vivo human-induced inflamed skin model.

References

  1. Chen Jiaoling, et al. "CREB1-driven CXCR4hi neutrophils promote skin inflammation in mouse models and human patients." Nature Communications 14.1(2023): 5894.
  2. Distributed under Open Access License CC BY 4.0. The original image was modified by hiding certain words, and the title was changed to " Immunohistologic observations of Skin Inflammation".
  3. Distributed under Open Access License CC BY 4.0. The original image was modified by hiding certain words, and the title was changed to " Exploring the role of inflammatory cytokines in a small model of skin inflammation".
Research Model

Related Sections:

Inquiry Basket
ISO 9001 Certified - Creative Biolabs Quality Management System.
Copyright © Creative Biolabs. All Rights Reserved.
Top