3D Ex Vivo Human Induced Atopic Dermatitis Skin Model Introduction

Creative Biolabs offers our 3D ex vivo human-induced atopic dermatitis skin model, a cutting-edge solution that brings human biology to life in the lab, for global researchers.

Atopic Dermatitis (AD)

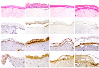
Histology of atopic dermatitis Fig 1. Immunohistologic observations of
atopic dermatitis.1

The skin, being the largest organ of the human body, acts as the first line of defense against external microbial, biological, and physical insults. AD is a highly prevalent inflammatory skin disease characterized by dysregulation of the skin's immune function. Histological examination of lesional AD skin reveals epidermal edema and inflammatory dermal infiltrates predominantly driven by type 2 T helper cells (Th2), leading to elevated levels of cytokines such as IL-4 and IL-13, depending on the stage.

Traditional Models for AD Research

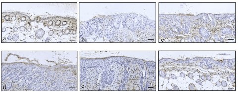
Investigating atopic dermatitis in mice to understand skin dysfunction. Fig 2. Studying skin dysfunction using a mouse
model of atopic dermatitis.1

NC/Nga mice, semi-antigen-induced mouse models, as well as transgenic and gene knockout mouse models, have been widely used to study barrier dysfunction and reduced innate immune activation in relation to AD. While each of these models exhibits some features of human AD, animal models often fall short in representing and predicting human drug responses due to species differences. Human ex vivo skin tissue has been utilized to test the dermal toxicity of chemicals. However, the source of skin grafts is limited, especially considering the age, body location, and gender variations of the collected samples.

3D Ex Vivo Human Induced Atopic Dermatitis Skin Model

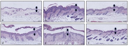
Examining the efficacy of I3LA on a 3D in vitro model of atopic dermatitis. Fig 3. The therapeutic effect of I3LA in an
in vitro 3D atopic dermatitis model.2

Creative Biolabs has made significant strides in the development of a sophisticated AD skin equivalent model by incorporating relevant pro-inflammatory cytokines (Th2 cytokines IL-4 and IL-13) into healthy human skin biopsy extracts. This model enables in-depth research on the epidermal aspects of AD and the study of drugs targeting the biology of keratinocytes. It faithfully replicates the morphology, structure, molecular features, and gene expression associated with AD in a controlled manner. The human-induced AD model provides a more faithful representation of cellular interactions and crosstalk occurring in natural tissues, making previously rare and costly pathological models readily accessible for research purposes.

Workflow and analysis of induced AD skin.Fig 4. Workflow and analysis of induced AD skin. (Creative Biolabs)

Our Services

By creating human AD skin equivalents with a range of cellular complexities, Creative Biolabs has established several quantifiable and robust AD-related readouts that can be expanded for compound screening. The 3D human-induced AD model can be utilized to study fundamental biology and potential cellular and disease mechanisms in physiologically and pathologically relevant microenvironments. In addition to 3D ex vivo human induced atopic dermatitis skin model, we have also developed induced psoriasis model (Th17), inflamed skin model (PHA), and induced acne model (LPS) for global researchers. Contact us and discover how our 3D ex vivo human-induced atopic dermatitis skin model to accelerate your projects.

References

  1. Zhang, Huiyuan, et al. "Effects of Huang-Lian-Jie-Du decoction on improving skin barrierfunction and modulating T helper cell differentiation in 1-chloro-2, 4-dinitrobenzene-induced atopic dermatitis mice." Front Pharmacol 15 (2024): 1487402. Distributed under Open Access License CC BY 4.0. without modification.
  2. Kim Kyunghee, et al. "Effects of Indole-3-Lactic Acid, a Metabolite of Tryptophan, on IL-4 and IL-13-Induced Human Skin-Equivalent Atopic Dermatitis Models." International journal of molecular sciences 23.21(2022):13520. Distributed under Open Access License CC BY 4.0. The original image was modified by hiding certain words, and the title was changed to " The therapeutic effect of I3LA in an in
Research Model

Related Sections:

Inquiry Basket
ISO 9001 Certified - Creative Biolabs Quality Management System.
Copyright © Creative Biolabs. All Rights Reserved.
Top