Biomarkers and Antibodies Development for Glioma

With accumulated experience in antibody development, Creative Biolabs is equipped to provide high-quality in vitro diagnostic (IVD) antibody development services targeting a wide range of biomarkers of cancer diseases. Here, we give an introduction to glioma and potential biomarkers of this disease.

A glioma is a type of tumor that arises from the glial cells of the brain or the spine. Gliomas consist of approximately 30% of all brain tumors and central nervous system tumors, and 80% of all the malignant brain tumors. It results in more years of life lost than any other tumors. It has several sub-types including astrocytic tumors, oligodendrogliomas, ependymomas, and mixed gliomas. According to World Health Organization classification, astrocytic tumors could be further classified into three groups: astrocytoma grades I, II (astrocytoma), III (anaplastic astrocytoma), and IV (glioblastoma). Astrocytomas express the glial fibrillary acidic protein which is an intermediate filament found in astrocytes applied for aiding in classifying a glioma as an astrocytoma. Astrocytomas and oligodendrogliomas account for the vast majority of gliomas and men have more chances of catching gliomas than women, even though the gender difference is very small.

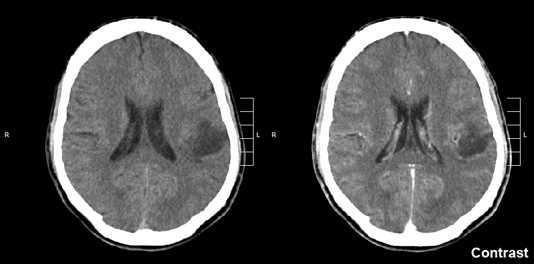
Images of glioma in the left parietal lobe (brain CT scan), WHO grade 2.Fig.1 Glioma in the left parietal lobe (brain CT scan), WHO grade 2. Distributed under CC BY-SA 3.0, from Wiki, without modification.

Risk Factor

Exposure to radiation is the only firmly established exogenous environmental cause of glioma, which infers that undergoing high-dose chemotherapy can also lead to glioma. Abundant data support the biological plausibility of neurocarcino genicity of endogenous and exogenous chemicals such as N-nitroso compounds, reactive oxygen and nitrogen species, several industrially used chemicals, and polycyclic aromatic hydrocarbons.

Evidence of genetic susceptibility to glioma has come from studies of genetic syndromes, familial aggregation, linkage and mutagen sensitivity. Although there are few genetic syndromes (caused by inherited rare mutations) associated with increased risk of brain tumors which account for a small proportion of cases, they provide an important way for identifying candidate genes and pathways that could be involved in gliomagenesis. It is revealed by the studies that the inherited syndromes neurofibromatosis 1 and 2, tuberous sclerosis, retinoblastoma, Li-Fraumeni syndrome, and Turcot's syndrome and multiple hamartomas have been associated with increased risks for gliomas and other types of primary brain tumor. The ongoing studies on the genetic alterations in glioma tumor cells unravel considerable variability among tumors of the same type and grade. This heterogeneity may contribute to predicting patient survival based on histologic analysis of glioma type and grade alone. It also suggests that classification of certain types and grades of gliomas according to their genetic phenotype will lead to a more accurate prediction of survival and response to therapy.

Diagnosis

The most common symptoms of myeloma are fatigue and bone pain. Anemia, a decrease in the total amount of erythrocytes or hemoglobin in the blood, occurs in approximately 75% of patients and contributes to fatigue. Osteolytic skeletal lesions, a softened section of a patient's bone formed as a symptom of myeloma, can be found in approximately 80% of patients. Other common findings include hypercalcemia (15%), and elevated serum creatinine ≥2 mg/dL (18%). Approximately 1% of patients with myeloma have the extramedullary disease (EMD) at the time of initial diagnosis, while 8% develop EMD later on in the disease course.

Creative Biolabs offers extensive expertise in the development of valuable antibodies for diagnostic use to support our clients in their IVD projects. With our versatile IVD platform, Creative Biolabs is proud to develop novel biomarker-specific (paired) antibodies from scratch to commercial IVD kit. We are proud to share this expertise and our state-of-the-art facilities to facilitate their brilliant studies.

Our services target the following potential biomarkers for Glioma diagnosis:

For Research Use Only.



Online Inquiry
Name:
Phone:
*E-mail Address:
*Service & Products Interested:
Project Description:
Inquiry Basket
Happy Holidays
Happy Holidays close ad