Moraxella catarrhalis-derived Exosome Research & Application
Exosome Workflow Exosome Research Platform Our Advantages Vision for the Future FAQs
Moraxella catarrhalis is a Gram-negative bacterium commonly associated with the human upper respiratory tract. While often existing as a commensal organism, it has been widely studied for its potential contribution to respiratory conditions, particularly through its release of nanoscale extracellular vesicles, often referred to as exosomes. These vesicles are increasingly recognized as powerful mediators of microbial communication and host–pathogen interaction.
Research has shown that M. catarrhalis-derived exosomes are not simply byproducts of bacterial metabolism, but rather functional vehicles carrying a range of biologically active molecules. By modulating host cell responses and interacting with other microbes, they influence processes such as immune signaling, antimicrobial resistance, and microbial survival. For research groups seeking to understand microbial ecology and host-pathogen dynamics, these exosomes provide a highly informative model system.
At Creative Biolabs, we have established robust workflows to help academic and industrial clients investigate M. catarrhalis-derived exosomes in a reliable, reproducible manner. By combining methodological rigor with tailored options, Creative Biolabs offers research platforms that allow investigators to generate new insights with confidence.
Standard Workflow for Exosome Preparation
Isolation of M. catarrhalis-derived exosomes requires a carefully optimized workflow to ensure reproducibility and integrity of vesicle preparations. At Creative Biolabs, the core workflow is designed around custom exosome development and scalable isolation.
Standard process includes:
-
Culturing M. catarrhalis in brain-heart infusion broth under shaking at 37 °C for approximately 18 hours.
-
Removing intact cells through initial low-speed centrifugation.
-
Filtering the supernatant to obtain a cell-free fraction.
-
Concentrating the vesicles using ultrafiltration devices.
-
Collecting exosomes through ultracentrifugation, followed by resuspension in sterile PBS.
-
Performing sterility checks to confirm absence of live bacteria.
Optional services (depending on species library availability):
-
Advanced exosome characterization by nanoparticle tracking analysis (NTA), proteomics, or electron microscopy.
-
Cargo composition studies to profile proteins, lipids, and nucleic acids.
-
Functional assays to explore vesicle-host interactions.
These optional components are offered as supplementary modules, enabling researchers to expand beyond basic isolation as needed.
Fig.1 Micrographs showing vesicles and exosomes secreted by Moraxella catarrhalis.1
Research Progress on M. catarrhalis-Derived Exosomes
Scientific work over the past decade has provided valuable insights into the biological functions of M. catarrhalis-derived exosomes. Creative Biolabs has summarized representative findings from the research community in the following table. It should be noted that these results reflect independent scientific advances and not outcomes generated by Creative Biolabs.
|
Research Focus
|
Key Insights from Studies
|
|
Regulation of human beta-defensin-2
|
Exosomes were shown to activate the human beta-defensin-2 promoter in lung epithelial models, under IL-1β regulation. This led to increased expression of antimicrobial peptides and enhanced neutrophil chemotaxis, a process partly counterbalanced by neuropeptides.
|
|
Cytotoxicity to epithelial cells
|
Higher concentrations of vesicles (>20 µg/ml) reduced epithelial cell viability, with apoptosis confirmed by flow cytometry assays.
|
|
Induction of neutrophil degranulation
|
Vesicles triggered dose-dependent release of neutrophil-specific granules, promoting localized inflammation and tissue injury.
|
|
Protection against cationic peptides
|
Time-kill assays demonstrated that M. catarrhalis exosomes shielded pathogens from cationic antimicrobial peptides, allowing survival under stress.
|
|
Complement resistance
|
Incubation with exosomes conferred resistance to complement-mediated killing, protecting serosensitive bacterial strains.
|
|
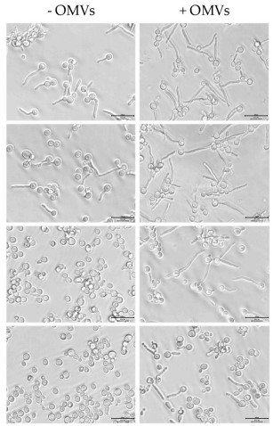
Influence on yeast models
|
Exosomes supported persistence of toxic yeast filament phenotypes and counteracted antifungal drug activity, largely by neutralizing cationic peptides.
|
Fig.2 Exosomes derived from Moraxella catarrhalis enhanced the retention of filaments in yeast.2
Creative Biolabs ' Research Enablement Platform
Creative Biolabs provides a research infrastructure that integrates expertise in vesicle biology with scalable laboratory capacity. Our platform is designed to meet the requirements of fundamental researchers seeking accuracy, reproducibility, and flexibility.
Core components of the Creative Biolabs platform include:
-
Customized project design tailored to individual research objectives.
-
Strict quality assurance ensuring vesicle preparations are consistent and traceable.
-
Scalable solutions for small-scale exploratory work or larger sample sets.
-
Optional advanced characterization, depending on species library availability, to support deeper mechanistic studies.
By bridging methodological rigor with researcher needs, Creative Biolabs facilitates the exploration of M. catarrhalis vesicles in both ecological and immunological contexts.
Distinct Advantages of Partnering with Creative Biolabs
Working with Creative Biolabs provides several benefits for investigators interested in M. catarrhalis-derived exosomes:

Expertise in Gram-negative vesicles
Decades of cumulative knowledge in handling microbial vesicles ensure confidence in study design.

Flexibility in services
From baseline vesicle isolation to advanced cargo profiling, researchers can select only what is necessary for their project.

Transparent communication
Clients are regularly updated with methodological details and progress checkpoints.

Dedicated support
A scientific team is available to discuss project goals and troubleshoot unexpected outcomes.
Perspectives and Future Directions
Research into M. catarrhalis-derived exosomes remains an evolving field, with promising areas of exploration ahead. Future studies are expected to:
-
Deepen understanding of exosome-mediated microbial survival strategies.
-
Investigate the role of vesicles in multispecies microbial communities.
-
Examine vesicle contributions to antimicrobial resistance in environmental settings.
-
Explore vesicle-based biomarker discovery in the context of microbial ecology.
Creative Biolabs is committed to supporting these endeavors by continuing to refine its workflows and expand its optional analysis portfolio as new techniques become available.
Moraxella catarrhalis-derived exosomes represent a highly dynamic area of Gram-negative exosome research, offering unique insights into microbial communication and host-pathogen interaction. With a combination of tailored workflows, optional analysis services, and a deep commitment to scientific quality, Creative Biolabs positions ourselves as a reliable partner for laboratories worldwide. Please contact us with your project.
FAQs
Q: What functions do Moraxella catarrhalis-derived exosomes serve?
A: Exosomes derived from Moraxella catarrhalis are thought to play several roles in microbial ecology, including:
-
Mediating cell signaling: They can influence the behavior of nearby cells, potentially modulating immune responses or bacterial interactions.
-
Transporting virulence factors: Exosomes may carry proteins and genetic material that contribute to the pathogenicity of Moraxella catarrhalis.
-
Facilitating biofilm formation: They might assist in establishing and maintaining biofilms by promoting adherence to surfaces or other bacterial cells.
Q: What is the potential application of Moraxella catarrhalis exosomes in research?
A: Research on Moraxella catarrhalis exosomes could lead to novel insights into bacterial behavior and interactions. Potential applications include:
-
Investigating microbial interactions: Understanding how these exosomes affect communication in multi-species communities.
-
Studying bacterial adaptability: Analyzing how exosomes contribute to stress responses or adaptation to changing environments.
-
Developing biomarker discovery approaches: Identifying specific exosomal components that can serve as biomarkers for Moraxella catarrhalis-related studies.
Q: How are exosomes isolated and characterized in laboratory settings?
A: Exosomes can be isolated from Moraxella catarrhalis cultures using various methods, including:
-
Ultracentrifugation: This common technique exploits differences in density to separate exosomes from debris and other cellular components.
-
Size exclusion chromatography: This method separates exosomes based on their size, allowing for the purification of vesicles.
-
Characterization techniques: Following isolation, techniques such as NTA, electron microscopy, and proteomic analysis can be employed to characterize the size, morphology, and protein content of exosomes.
Q: What challenges are currently faced in Moraxella catarrhalis exosome research?
A: Challenges in this field include:
-
Isolation specificity: Achieving pure exosome populations free from contaminants can be difficult.
-
Lack of standardized protocols: Variability in isolation and characterization methods can affect reproducibility and result comparison.
-
Limited understanding of mechanistic pathways: Further research is needed to elucidate the specific roles and mechanisms by which Moraxella catarrhalis exosomes influence host-pathogen interactions and microbial communities.
Q: What future directions are there for Moraxella catarrhalis exosome research?
A: Future research may focus on:
-
Functional studies: Exploring the specific roles of exosome cargo in bacterial communication and pathogenesis.
-
Inter-species interactions: Investigating how exosomes from Moraxella catarrhalis interact with other pathogens and host cells.
-
Biotechnology applications: Evaluating the potential of exosomes as delivery vehicles for therapeutic agents or as tools for antimicrobial resistance studies.
References
-
Augustyniak, Daria et al. "Neuropeptides SP and CGRP Diminish the Moraxella catarrhalis Outer Membrane Vesicle- (OMV-) Triggered Inflammatory Response of Human A549 Epithelial Cells and Neutrophils." Mediators of inflammation vol. 2018 4847205. Distributed under Open Access license CC BY 4.0. The image was modified by revising the title. https://doi.org/10.1155/2018/4847205
-
Roszkowiak, Justyna et al. "Interspecies Outer Membrane Vesicles (OMVs) Modulate the Sensitivity of Pathogenic Bacteria and Pathogenic Yeasts to Cationic Peptides and Serum Complement." International journal of molecular sciences vol. 20,22 5577. Distributed under Open Access license CC BY 4.0. The image was modified by extracting and using only Part (a) of the original image and revising the title. https://doi.org/10.3390/ijms20225577
For Research Use Only. Cannot be used by patients.
Related Services: