NF2 and Associated Diseases

With our established one-stop service platform, Creative Biolabs is always ready to provide our clients with different preclinical or clinical requirements in the field of gene therapy development. We definitely believe that our detailed customer service will help you to solve all the problems in your gene therapy project.

Overview of NF2

Neurofibromin 2 (NF2, also known as Moesin-Ezrin-Radixin-Like Protein or Merlin-1) is a protein coded by NF2 in humans. NF2 is similar to some members of the ERM family which link cytoskeletal components to the proteins in the cell membrane. NF2-interacted cell-surface proteins also involve in cytoskeletal dynamics and ion transport regulation. NF2 takes part in the regulation of contact-dependent inhibition during cell proliferation via cell-cell adhesion and transmembrane signaling pathways.

NF2 in Disease

Disruption of the protein function of NF2 is related to tumorigenesis and metastasis such as glioblastoma and thyroid cancer. Mutations in NF2 can cause neurofibromatosis type II.

  • Glioblastoma

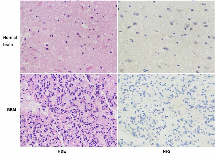
The miR-152-3p/NF2 axis is a new cellular mechanism in the regulation of glioblastoma (GB). As the most aggressive form of tumor in adults' brains, GBs are known for their widespread infiltration, active angiogenesis, and vigorous neurogenesis. Downregulated miR-152-3p is identified in human malignancies and NF2 is significantly decreased in GB tissues because of its high methylation levels. Both GB tissue and cell lines can capture this miR-152-3p and NF2 expression style. NF2 demethylation caused by miR-152-3p overexpression can increase NF2 expression. Overexpression of NF2 and miR-152-3p can both prevent cell invasion and cause cell death.

Downregulated NF2 is observed in GB tissue compared with healthy brains Fig.1 Downregulated NF2 is observed in GB tissue compared with healthy brains. (Sun, 2017)

  • Thyroid cancer

NF2 functions as a tumor suppressor in thyroid cancer with BRAF mutation (mTC). Frequent mutations of NF2 can be observed in mTC. Based on this, the role of NF2 in mTC is illustrated following. Expression of NF2 can be identified in mTC cell lines, where overexpression of NF2 inhibits cell proliferation, colony formation, migration, and invasion compared to controls. Knockdown of NF2 in mTC cell line causes no significant changes in cell proliferation and colony formation, whereas S288 and Q470 mutations in NF2 leads to increased cell proliferation compared to the group with normal NF2 overexpression. Draw a conclusion, NF2 is highly associated with mTC progression.

As a CRO, Creative Biolabs are proficient in each step of gene therapy development. We aim to provide a full range of services associated with your gene therapy projects. Choosing us can definitely speed up your research, please feel free to contact us for more details about your NF2 project.

Reference

  1. Sun, J.; et al. Regulation of human glioma cell apoptosis and invasion by miR-152-3p through targeting DNMT1 and regulating NF2: MiR-152-3p regulate glioma cell apoptosis and invasion. J Exp Clin Cancer Res. 2017, 36: 100. Distributed under Open Access license CC BY 4.0, without modification.

Online Inquiry

For research use only. Not intended for any clinical use.

This site is protected by reCAPTCHA and the Google Privacy Policy and Terms of Service apply.