Clostridium butyricum-derived Exosome Research and Application

Clostridium butyricum is a fascinating microorganism that has garnered significant attention for its multifunctional properties in the fields of medicine and biology. This bacterium, a Gram-positive spore-forming rod, is renowned for its unique characteristics, including its crucial role in the intestinal ecosystem and its applications in immune enhancement and healthcare. A novel area of interest associated with Clostridium butyricum is the study of its exosomes. Exosomes are tiny membrane vesicles released from cells, containing proteins, nucleic acids, and small molecules from within the cell. Recent research has revealed that exosomes derived from Clostridium butyricum contain various beneficial bioactive substances. Creative Biolabs is pleased to introduce you to the research and applications of exosomes sourced from Clostridium butyricum, offering a fresh perspective on development.

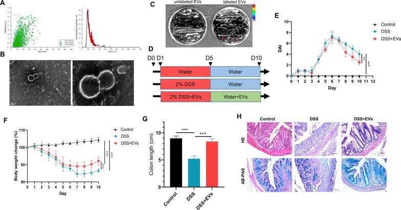
Exosomes derived from Clostridium butyricum inhibit acute colitis. (Liang, et al., 2022)Fig.1 Clostridium butyricum-derived exosomes suppressed the progression of acute colitis.1,2

Beneficial Properties of Clostridium butyricum

  1. Intestinal Microbiota Balance: Clostridium butyricum plays a pivotal role in the gut, helping to maintain the balance of the intestinal microbiota.
  2. Immune Function Enhancement: This microorganism can enhance the body's immune function by increasing the levels of immunoglobulins IgA and IgM to strengthen the immune response. Additionally, Clostridium butyricum can produce various antigens and immune-regulatory substances, aiding in the fight against infections and diseases.
  3. Nutrient and Growth Promotion: Clostridium butyricum has the ability to produce vitamins, enzymes, and other beneficial substances that facilitate food digestion and nutrient absorption. This is crucial for maintaining healthy intestinal function and overall nutrition.

Overview of Research on Clostridium butyricum-derived Exosomes

Currently, research on Clostridium butyricum-derived exosomes is focused on the treatment of colitis.

Article Same Findings Unique Findings
1
  • Clostridium butyricum-derived exosomes significantly improved the symptoms of colitis in a mouse model, including reducing DAI scores, decreasing body weight loss, improving colon length, and reducing inflammation and tissue damage.
  • Clostridium butyricum-derived exosomes significantly reduced the abundance of certain pathogens while enriching beneficial bacteria.
Clostridium butyricum-derived exosomes promoted the polarization of M2 macrophages.
2 Clostridium butyricum-derived exosomes significantly increased the secretion of mucin proteins and the expression of tight junction proteins in the colon.
3 Clostridium butyricum-derived exosomes alleviated inflammation by inhibiting the MAPK and NF-κB signaling pathways; the effectiveness of Clostridium butyricum-derived exosomes in colitis improvement was associated with the expression of miR-199a-3p.

From the above, it is evident that exosomes derived from Clostridium butyricum show immense potential in colitis treatment research. Future studies and clinical practices will further reveal their applications in the biomedical field, offering new hope for the treatment of inflammatory diseases. Creative Biolabs has consistently been an outstanding provider of exosome technology services. We continuously innovate and expand to meet the evolving needs of our customers. If you are interested in the development of microorganism-derived exosome, please feel free to contact us.

Bacteria-derived Exosome Isolation and Identification

In Vitro Functional Discovery of Bacteria-derived Exosomes

In Vivo Functional Discovery of Bacteria-derived Exosomes

Target Screening (Proteins, RNA, Lipids and Metabolites) of Host

Target Analysis of Host

References

  1. Liang, L.; et al. Commensal bacteria-derived extracellular vesicles suppress ulcerative colitis through regulating the macrophages polarization and remodeling the gut microbiota. Microbial Cell Factories. 2022, 21(1):88.
  2. under Open Access license CC BY 4.0, without modification.
For Research Use Only. Cannot be used by patients.
Related Services:
Online Inquiry
Get resources and offers direct to your inbox: Submit
Inquiry Basket