3D Ex Vivo Human Ovary Endometrioid Carcinoma Model Introduction

Creative Biolabs is dedicated to providing a 3D ex vivo human ovary endometrioid carcinoma model to meet the research and drug development needs in the field of ovarian endometrioid carcinoma. The main purpose of constructing this model is to offer customers a highly reliable and more physiologically relevant research tool that closely mimics the tumor microenvironment. This model aims to accelerate the development and optimization of treatment strategies for ovarian endometrioid carcinoma.

A Special Type of Ovarian Cancer: Ovarian Endometrioid Carcinoma

Ovarian endometrioid carcinoma is a malignant epithelial tumor that originates in the ovaries but has a similar histological structure to endometrioid carcinoma originating from the uterine endometrium. It accounts for approximately 10% to 15% of all ovarian malignancies.

  • Precursor Condition: Endometriosis
  • Risk Factors: Age between 50-60, nulliparity, or postmenopausal status
  • Blood Test Characteristics: Elevated levels of cancer antigen 125 (CA125), carbohydrate antigen 199 (CA199), and human epididymis protein 4 (HE4).
  • Immunohistochemical Markers: Negative for Wilm's tumor gene (WT-1) and Napsin A, positive for estrogen receptor (ER), progesterone receptor (PR), and paired box 8 (PAX8).
  • Patient Symptoms: Abdominal distension, abdominal pain, gastrointestinal symptoms, palpable masses, and abnormal vaginal bleeding
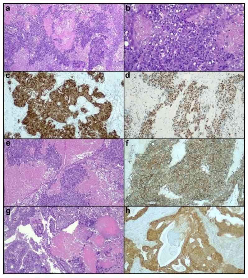
  • Macroscopic Features: Ovarian endometrioid carcinomas typically occur in a single ovary and are large in size (average diameter up to 11 centimeters). They exhibit a regular round or oval shape or an irregular lobulated appearance with a smooth outer surface. On cut sections, they often present as solid cystic masses with nodules and thickened cyst walls, accompanied by extensive hemorrhage and necrosis.
  • Histological Features: The most common histological feature is the presence of variably sized glands arranged in a back-to-back pattern. The glands are lined by endometrioid epithelium with smooth glandular borders. The tumor cells typically have round or oval-shaped nuclei with clear chromatin. In some cases, ovarian endometrioid carcinoma may exhibit squamous differentiation resembling mulberries.

Fig 1. Histological and immunohistochemical features of ovarian PiMHEC and endometrioid carcinomas.Fig.1 Features of high-grade (a-f) and low-grade (g, h) endometrioid carcinoma of the ovary.1

Highly Simulated 3D Ex Vivo Human Ovarian Endometrioid Carcinoma Model

Currently, there are no targeted therapy drugs available for ovarian endometrioid carcinoma, and the clinical approach still relies on a combination of traditional surgical resection and radiotherapy. However, low survival rates in some patients be treated with this method. Therefore, there is an urgent need to develop new therapeutic drugs to address ovarian endometrioid carcinoma. In the process of drug development, the 3D ex vivo human ovarian endometrioid carcinoma model that closely mimics the tumor microenvironment in the human body is crucial. This model possesses the following advantages and applications:

Advantages

  • Realistic simulation: Derived from patients with ovarian endometrioid carcinoma, this model can highly mimic the tumor microenvironment, including the arrangement of tumor cells and a rich network of signaling pathways. It provides more authentic and reliable results for research.
  • Tumor biology characteristics study: This model enables in-depth exploration of the pathogenesis, tumor growth, infiltration, and metastasis of ovarian endometrioid carcinoma. It helps uncover the essence of the disease and further optimize treatment strategies.
  • Highly controlled experimental design: Researchers can precisely control the composition of the model, the ratio of culture systems, scalable expansion culture, and systematic drug administration, facilitating personalized research and targeted drug development.

Applications

  • Mechanistic research: This model can be used for in-depth investigations into the development mechanisms and molecular signaling pathways of ovarian endometrioid carcinoma, shedding light on key factors and therapeutic targets of the disease.
  • Drug screening and evaluation: By utilizing the 3D ex vivo model, multiple candidate drugs can be simultaneously evaluated for their therapeutic effects on ovarian endometrioid carcinoma. This aids in the rapid identification of potential effective drugs and accelerates the drug development process.
  • Personalized medicine research: Using patient-specific 3D ex vivo models, personalized medicine research can be conducted to assess patient responses to specific drugs and predict treatment outcomes. It provides a basis for achieving individualized treatment plans.

If you are seeking an ovarian endometrioid carcinoma model for preclinical drug research, we sincerely invite you to contact us. Creative Biolabs offers top-notch services in constructing 3D ex vivo human ovarian endometrioid carcinoma models and provides a variety of research applications. We can assist you in gaining an in-depth understanding of the disease's pathogenesis, and tumor biology characteristics, as well as evaluating and screening drug candidates. By collaborating with us, you will receive exceptional scientific support and professional services. In addition, we also offer various other 3D ex vivo human ovarian tissue models to meet different customer needs, which including but not limited to:

Reference

  1. Santoro, A.; et al. Pilomatrix-like high-grade endometrioid carcinoma of the ovary: case report, literature review, and differential diagnosis. Diagnostics (Basel). 2022, 12(12): 3146. Distributed under Open Access License CC BY 4.0, without modification.
Research Model

Related Sections:

Inquiry Basket
ISO 9001 Certified - Creative Biolabs Quality Management System.
Copyright © Creative Biolabs. All Rights Reserved.
Top