3D Ex Vivo Human Ovary Dysgerminoma Model Introduction

Creative Biolabs offers 3D ex vivo human ovarian dysgerminoma model, a highly controllable and biologically similar model system to investigate the tumor biology characteristics and drug responsiveness of ovarian dysgerminoma. By simulating crucial factors such as cell-cell and cell-matrix interactions, this model can be used for drug screening, efficacy assessment, and personalized treatment research, offering strong support for scientific studies and drug development in the field of ovarian dysgerminoma.

What is Ovarian Dysgerminoma?

Ovarian dysgerminoma originates from the germ cells of the ovarian reproductive cell line and is a moderate to low malignant tumor composed of proliferating germ cells. It contains varying numbers of lymphocytes and phagocytes.

1. Affected Population: Ovarian dysgerminoma typically occurs in children and young women, especially in the age range of 20 to 30 years.

2. Occurrence Site: It mostly occurs in a unilateral ovary, although in a few cases, tumors are present in both ovaries.

3. Clinical Symptom: Abdominal pain, abdominal distension, pelvic discomfort, pelvic fluid accumulation, and menstrual abnormalities.

4. Blood Test: Elevated blood lactate dehydrogenase (LDH) levels are often observed, and occasionally, increased levels of human chorionic gonadotropin (HCG) may be present.

5. Tumor Morphology: Ovarian dysgerminomas exhibit various tumor morphologies, such as round, oval, or lobulated shapes. The diameter of the tumor is usually greater than 10 centimeters, with a smooth surface surrounded by connective tissue stroma containing varying numbers of lymphocytes. The cut surface of the tumor is typically grayish-white, and solid, and may exhibit small areas of hemorrhage and necrosis.

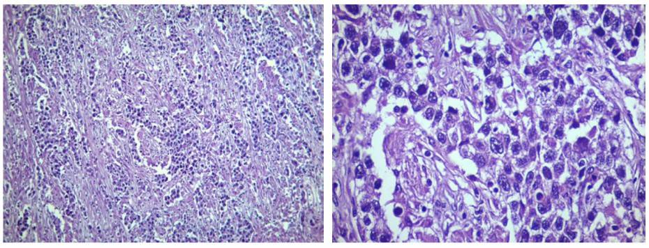
6. Cell Morphology: The cells of ovarian dysgerminoma, including their internal nuclei, are generally large. Majority of tumor cells are oval or round in shape. These cells display diverse arrangements, such as sheets, nests, nodules, cords, beams, solid tubules, starry patterns, pseudo glandular patterns, or follicular-like patterns. Additionally, the stroma may show infiltrations of varying numbers of lymphocytes, plasma cells, and eosinophils. Occasionally, lymphoid follicles or granulomatous reactions with germinal centers can be observed.

Fig 1. Histological features of tumor clusters and cell nests.Fig.1 Hematoxylin and eosin staining images of a paediatric ovarian dysgerminoma.1

Currently, the main treatment approach for ovarian dysgerminoma is surgical resection, complemented by chemotherapy and radiotherapy. However, dysgerminomas have a high recurrence rate and are prone to metastasis and dissemination. Therefore, research on the mechanisms of ovarian dysgerminoma and the development of targeted therapeutic drugs are urgently needed.

3D Ex Vivo Human Ovarian Dysgerminoma Model is the Optimal Choice

The 3D ex vivo human ovarian dysgerminoma model demonstrates numerous advantages in the research and drug development for ovarian dysgerminoma.

Enhanced Microenvironment Similarity

This model includes a 3D microenvironment of human ovarian dysgerminoma, encompassing cell-cell and cell-matrix interactions that closely resemble the actual tumor growth environment.

High Controllability

Researchers can precisely control culture conditions, scale, and culture systems, as well as add different concentrations and forms of drugs, providing more accurate research results.

Disease Modeling Capability

The model can simulate the disease characteristics and tumor biology of ovarian dysgerminoma, including cell proliferation, infiltration, invasion, and metastasis, contributing to a deeper understanding of the disease's pathogenesis and the development of more targeted treatment strategies.

Efficient Drug Screening and Evaluation

Compared to animal models, this model allows for high-throughput drug screening to assess the therapeutic efficacy of potential therapeutic drugs. It also serves as a valuable tool for personalized treatment and drug development.

Creative Biolabs is committed to providing cutting-edge research tools and innovative solutions to drive scientific advancements in the field of ovarian dysgerminoma. If you are seeking more reliable preclinical data, we sincerely recommend that you contact us for more detailed information on the construction and functional evaluation services of the 3D ex vivo human ovarian dysgerminoma model. Additionally, we also offer other human ovarian tissue models, including:

Reference

  1. Adhikari, S.; et al. Paediatric ovarian dysgerminoma: a case report. JNMA J Nepal Med Assoc. 2022, 60(255):985-988. Distributed under Open Access License CC BY 4.0, without modification.
Research Model

Related Sections:

Inquiry Basket
ISO 9001 Certified - Creative Biolabs Quality Management System.
Copyright © Creative Biolabs. All Rights Reserved.
Top