SDS-PAGE Silver Stain and GelCode Blue Analysis Protocol of C2

You've come to the world's leading contract research firm for better complement services. Creative Biolabs has always been led by a vision to make a positive impact in the field of biological research. Our international facilities and global distribution network enable researchers in academia and biomedical fields to make cutting-edge discoveries around the world.

SDS-PAGE Silver Stain and GelCode Blue Analysis of C2

Flow chart of SDS-PAGE silver Stain and GelCode Blueanalysis protocol of C2. (Creative Biolabs)

Fig.1 Flow chart of SDS-PAGE silver Stain and GelCode Blueanalysis protocol of C2. (Creative Biolabs)

Published Data

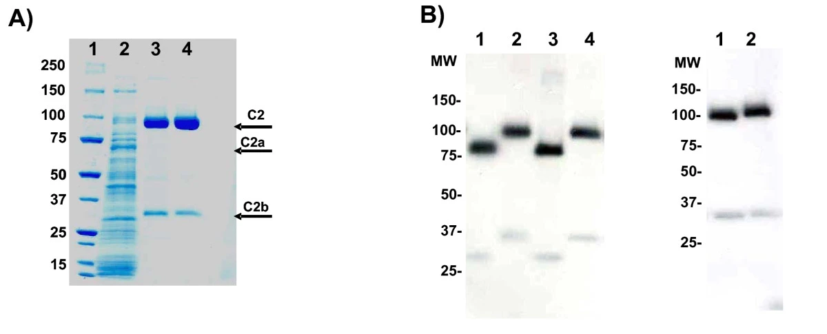
 Expression, purification, and post-translational modification of rhC2. Fig.2 Production, isolation, and post-translational processing of recombinant human C2.1

Recombinant human C2 (rhC2) was robustly produced in human cell lines and efficiently purified using a refined two-step chromatographic technique. Initially, the resin was utilized to capture rhC2 from the culture medium. The binding capacity, quantified by ELISA, was determined to be 0.37 mg of rhC2 per ml of resin. Post-elution, fraction samples were assayed for protein concentration using the BCA Protein Assay Kit and visualized by Coomassie staining of 8-16% tris-glycine SDS-PAGE gels under reducing conditions. Fractions containing full-length rhC2 were pooled and subjected to further purification using a Heparin resin column.

Services and Products

  1. Complement Products
  2. Complement Test Services

Creative Biolabs is a preclinical CRO offering best-in-class customized solutions to the biomedical industry and academia. A strong team, a desire to innovate, and customer satisfaction are at our core. Our long-term expertise and tailored solutions support your research from the early stages to the final stages of product development. If you are interested in our complement testing services and products, please do not hesitate to contact our experts, even if it is just for consultation, we are happy to help you.

Please note that our protocols are only for your reference!

Reference

  1. Martini, Paolo GV, et al. "Recombinant human complement component C2 produced in a human cell line restores the classical complement pathway activity in-vitro: an alternative treatment for C2 deficiency diseases." BMC Immunology 11 (2010): 1-10. Distributed under Open Access license CC BY 2.0, without modification.
For Research Use Only.
Support

Online Inquiry