Chromatography-Based C1q Purification Protocol

Creative Biolabs has spent many years of effort in the complement research field. We have built a comprehensive complement-related assay platform. Here, we briefly summarize the chromatography-based C1q purification protocol for our customers, which includes two methods, chromatography on the ion-exchange column and size exclusion column, as well as chromatography on the IgG-Sepharose affinity column and FPLC on the strong cation exchange column.

Purification of C1q by Ion-exchange Column and Size Exclusion Column

Flow chart of C1q purification by ion-exchange column and size exclusion column.

Fig.1 Flow chart of C1q purification by ion-exchange column and size exclusion column. (Creative Biolabs)

Purification of C1q by IgG-Sepharose Affinity Column and FPLC on Strong Cation Exchange Column

Flow chart of C1q purification by IgG-Sepharose affinity column and FPLC on strong cation exchange column.

Fig.2 Flow chart of C1q purification by IgG-Sepharose affinity column and FPLC on strong cation exchange column. (Creative Biolabs)

Published Data

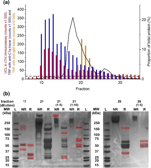
UCL signals in cTnI immunoassay of anion exchange chromatography fractions, fluorescence signals with polyclonal anti-C1q, and with anti-IgM tracers. Fig.3 Upconversion luminescence signals in cTnI immunoassay across anion exchange chromatography fractions, fluorescence signals with polyclonal anti-C1q antibodies, and with anti-IgM tracers.1

Upconverting nanoparticles (UCNPs) are compelling reporters for immunoassays due to their high specific activity and minimal autofluorescence, allowing detection at very low concentrations. This investigation examined the plasma components linked to increased nonspecific binding of poly(acrylic acid)-coated upconverting nanoparticles (UCNPs) within heterogeneous two-step sandwich immunoassays. Plasma was sequentially fractionated using several chromatographic techniques, with fractions exhibiting the greatest nonspecific binding of UCNP conjugates identified in a cardiac troponin I (cTnI) assay. Anion exchange chromatography produced three separate peaks indicative of enhanced nonspecific binding. Proteins from peak fractions were separated by gel electrophoresis and identified via mass spectrometry, revealing complement component C1q in fractions with abundant nonspecific signals. This interference extended beyond specific nanoparticle coatings or antibody combinations, demonstrating a broader occurrence.

Creative Biolabs offers a range of complementary products such as native complement protein, human and animal sera, complement inhibitors, complement assay reagents, as well as ELISA Kits. Complement assay services are also available in our lab, including complement function/activity test, autoantibody test, genetic test...

To learn more details, you can get access with the following links:

  1. Complement Products
  2. Complement Test Services

For more information, please feel free to contact us.

Reference

  1. Kuusinen, Saara, et al. "Complement C1q in plasma induces nonspecific binding of poly (acrylic acid)-coated upconverting nanoparticle antibody conjugates." Analytical and Bioanalytical Chemistry 414.12 (2022): 3741-3749. Distributed under Open Access license CC BY 4.0, without modification.
For Research Use Only.
Support

Online Inquiry