Cutaneous Cancer related Vaccine Development Services

Creative Biolabs is a world leader in the field of cancer vaccine development. With our extensive experience and advanced platform, we are therefore confident in offering the best vaccine development services for different types of cutaneous tumors including melanoma, basal-cell carcinoma (BCC), squamous-cell skin cancer (SCC) and Merkel cell carcinoma (MCC). We guarantee the finest results for our customers all over the world.

Cutaneous tumor, also known as skin cancer, is a cancer caused by the skin. Cutaneous tumor is the most common form of cancer, accounting for at least 40% of the cases around the world. They are caused by the development of abnormal cells that can invade or spread to other parts of the body. There are four main types of cutaneous tumor: melanoma, basal cell carcinoma (BCC), squamous cell carcinoma (SCC) and Merkel cell carcinoma (MCC). Melanoma is the most aggressive. The last three and some less common skin cancers are named non-melanoma skin cancers (NMSC). Basal cell carcinoma grows slowly and can damage the surrounding tissue, but can not spread far away and cause death. Squamous cell carcinoma is more likely to be aggressive. It usually presents as a hard lump with a scaly top but may also form ulcers.

Until recently, most of the attention with respect to tumor immunology and immunotherapy of skin cancer was focused on melanoma. This is based on the fact that the mutational landscape and high frequency of mutations present in melanoma exceed those of other solid tumors. This high frequency of mutations is due to the etiologic role of UV radiation exposure and typically constitute single-base alterations, that is, cytidine to thymidine (C to T) substitutions. However, the etiologic role of UV radiation is equally or even better established in other skin cancers such as basal cell carcinoma (BCC), cutaneous squamous cell carcinoma (cSCC), and Merkel cell carcinoma (MCC).

Melanoma

Melanoma, also known as malignant melanoma, is a cancer which develops from melanocytes (pigment-containing cells). Melanoma is the most dangerous type of skin cancer. Melanoma usually occurs in the skin, but rarely occurs in the intestines, mouth or eyes. Melanoma is more common in men than women. The main cause of melanoma is exposure to ultraviolet (UV) light in those people with low skin pigmentation. About 25% develop from moles with concerning changes including color changes, irregular edges, increased size, itchiness, or chapped skin. Those with more moles, family history, immunocompromised patients are more at risk. Confirmation of clinical diagnosis is usually by a biopsy of the skin lesions. The scars or tumors are usually subsequently removed. The treatment of advanced malignant melanoma is using a multidisciplinary approach such as surgery, additional therapy, chemotherapy, immunotherapy, and radiation therapy.

Basal Cell Carcinoma (BCC)

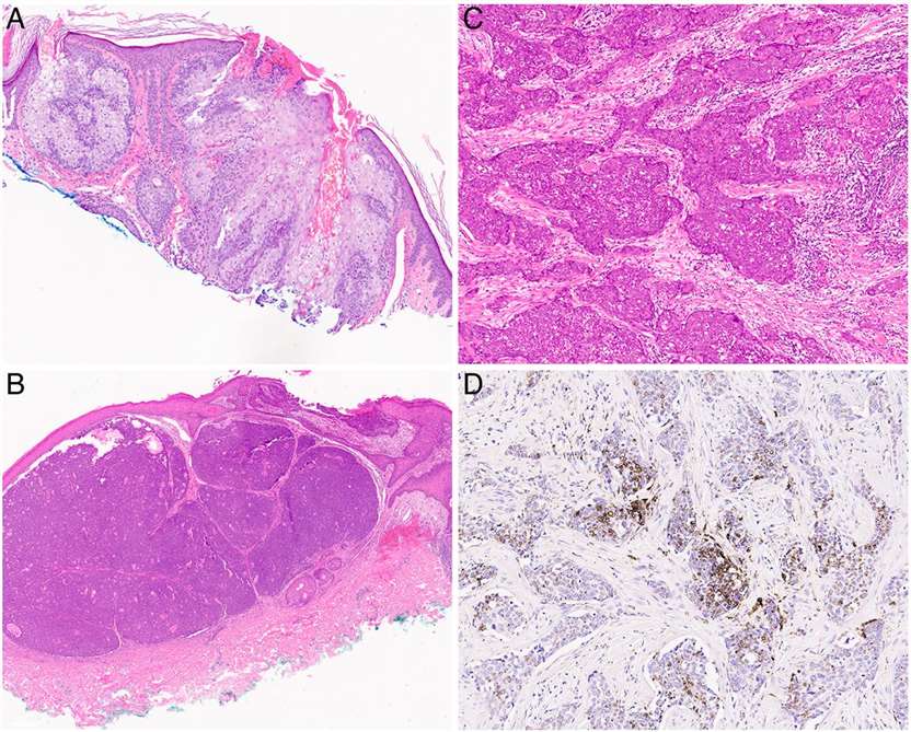
Basal cell carcinoma (BCC), also known as basal-cell cancer, is the most common type of skin cancer which accounts for 80% to 90% of all primary skin cancers. BCC is an abnormal, uncontrolled growth or injury that occurs in the basal cells of the skin that line the deepest layer of the epidermis. Basal cell carcinoma grows slowly and can damage the surrounding tissue, but is unlikely to spread far away or cause death. Only in extremely rare cases can it spread to other parts of the body and endanger life. Risk factors include lighter skin, exposure to ultraviolet light, long-term exposure to arsenic, radiation therapy and poor immune system function. Treatment is usually by surgery.

Squamous Cell Skin Cancer (SCC)

Squamous cell carcinomas, also known as epidermoid carcinoma are a number of different types of cancer that result from squamous cells. These cells form the surface of the skin lining of hollow organs in the body and line the respiratory and digestive tracts. Human papillomavirus infection (HPV) has been associated with SCC of the oropharynx, lung, fingers and anogenital region.

Cutaneous squamous cell carcinoma (cSCC), also known as squamous-cell skin cancer, is a common skin cancer, with rising incidence rates particularly in western countries. However, despite the high incidence, population-based data on cSCC incidence, survival, and mortality are rather sparse. Predilection sites of cSCC are the chronically UV-exposed areas, that is, the lower lip, ear, nose, cheek, and the dorsum of the hands. Tumor margins may extend beyond the visible borders of the lesion. Although its general prognosis is excellent with a cure rate of primary cutaneous SCC by surgery exceeding 95%, approximately 4% of cases develop nodal metastases and 1.5% die from the disease. Risk factors for an aggressive clinical course are diameter larger than 2 cm, depth beyond the dermis, immunosuppression, poor differentiation, and perineural invasion.

Merkel Cell Carcinoma (MCC)

MCC is a highly aggressive neuroendocrine carcinoma of the skin, demonstrating a high rate of recurrence and metastasis. MCC is a fast-growing, asymptomatic, solitary, firm, nonsensitive, flesh to red to violaceous nodule with a smooth, shiny surface. MCC characteristically develops and grows rapidly over weeks to months on chronically sun-damaged skin. MCC has propensity for early metastatic spread as well as local recurrence, and while surgery and radiotherapy can achieve high rates of locoregional control, chemotherapy rarely provides durable responses for distant metastatic disease.

Creative Biolabs is a leader in the field of vaccine development and has focused on the cancer vaccines for years. We have experts who are able to help you with the vaccine development for different types of cutaneous tumors. If you are interested in our services, please contact us for more details.

Reference

  1. Danialan, R. (2015). “H Challenges in the diagnosis of cutaneous adnexal tumours.” J Clin Pathol 68(12), 992-1002.

All of our products can only be used for research purposes. These vaccine ingredients CANNOT be used directly on humans or animals.

Online Inquiry

All of our products can only be used for research purposes. These vaccine ingredients CANNOT be used directly on humans or animals.

Name:
Phone:
*E-mail Address:
*Products or Services Interested:
Project Description:

This site is protected by reCAPTCHA and the Google Privacy Policy and Terms of Service apply.