BCMA

All products and services are For Research Use Only and CANNOT be used in the treatment or diagnosis of disease.

Product List Background Anti-BCMA CAR-T Services Anti-BCMA CAR-T In Vitro Assay Services Anti-BCMA CAR-T In Vivo Assay Services

Product List

Creative Biolabs is committed to advancing the field of MM treatment through the development of state-of-the-art anti-BCMA CAR T-cell therapies. Our comprehensive suite of anti-BCMA CAR related products and sophisticated in vitro and in vivo assays underscore our dedication to providing effective and lasting therapeutic solutions.

Background

B cell maturation antigen (BCMA), also known as CD269 or TNFRSF17, is a member of the tumor necrosis factor receptor superfamily. It plays a crucial role in B-cell maturation and differentiation into plasma cells. Structurally, BCMA comprises three major domains: an extracellular domain, a transmembrane domain, and a cytoplasmic domain. Notably, BCMA is almost exclusively found on plasma cells and is overexpressed during malignant transformations, making it a specific and compelling target for multiple myeloma (MM) treatments.

Associated Disease

  • Multiple Myeloma

Anti-BCMA CAR-T Services

Anti-BCMA CAR-T In Vitro Assays

Creative Biolabs offers a range of BCMA-targeting CAR constructs to assist customers' projects.

Fig.1 Anti-BCMA construct design. (Stock, Sophia, et al., 2024)Fig.1 Schematic of different Anti-BCMA constructs.1

CAR expression test is an essential test for CART development, which can verify specific CAR expression levels to facilitate subsequent development processes. Creative Biolabs provides robust CAR expression tests by various methods, such as WB, FACS, and qPCR.

Fig.2 BCMA CAR expression test. (Stock, Sophia, et al., 2024)Fig.2 The anti-BCMA CAR expression was detected by flow cytometry.1

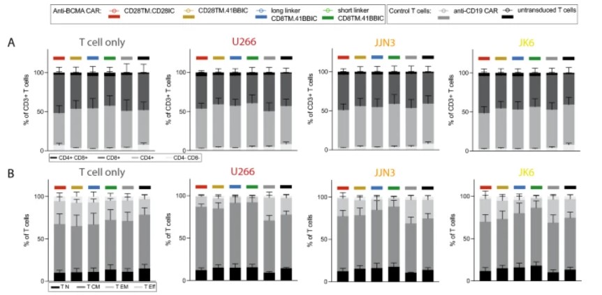
  • Phenotype Analysis of Anti-BCMA CART

In vitro characterization of CAR-T cells is critical to evaluate their potential efficacy before clinical application. Creative Biolabs has launched several phenotype tests to assess the performance of CART cells, such as T cells subpopulation analysis, exhaustion marker test, activation marker test, etc.

Fig.3 Phenotypic test of BCMA CAR T cells. (Stock, Sophia, et al., 2024)Fig.3 Phenotypic analysis of different anti-BCMA CAR T cells after activation. (Panel A: CD8+ and CD4+ T cell subtypes, panel B: T cell subpopulations for T cell differentiation status).1

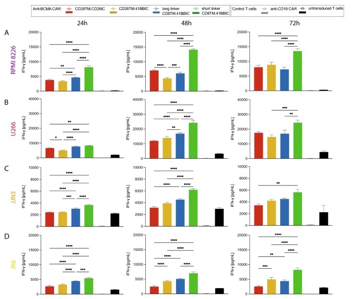
Creative Biolabs specializes in comprehensive cytokine production assays to measure the release of various cytokines, such as IFN-γ, IL-2, and TNF-α, following CAR-T cell activation. Enhanced cytokine production is indicative of robust CAR-T cell activation and anti-tumor efficacy.

Fig.4 IFN-γ detection of BCMA CART cells. (Stock, Sophia, et al., 2024)Fig.4 IFN-γ secretion detection of different anti-BCMA CART cells against target cells.1

Cytotoxicity assays are performed using MM cell lines expressing BCMA as target cells. These assays assess the ability of CAR-T cells to recognize and lyse BCMA-expressing tumor cells, providing pivotal data on the therapeutic potential of CAR-T constructs.

Fig.5 Cytotoxic assay of BCMA CART cells. (Stock, Sophia, et al., 2024)Fig.5 Cytotoxic assay of different anti-BCMA CART cells against target cells.1

Anti-BCMA CAR-T In Vivo Assays

The efficacy of anti-BCMA CAR-T cells is evaluated in vivo using mouse models engrafted with human MM cell lines. These studies are pivotal in demonstrating tumor reduction and assessing the long-term persistence of CAR-T cells post-administration. Creative Biolabs provides several in vivo models that are designed to mimic clinical scenarios, providing relevant insights into the potential clinical performance of CAR-T therapies.

  • Safety and Toxicity Evaluation

Safety and toxicity are paramount considerations in CAR-T cell therapy development. Creative Biolabs conducts comprehensive toxicity assessments to monitor potential adverse effects, such as off-target activity and cytokine release syndrome (CRS). These evaluations ensure that anti-BCMA CAR-T cells are not only effective but also safe for clinical application, adhering to regulatory standards.

Fig.6 In vivo antitumor activity of BCMA CAR T cells. (Stock, Sophia, et al., 2024)Fig.6 In vivo antitumor activity of anti-BCMA CAR T cells in U266 xenograft model.1

Reference

  1. Stock, Sophia, et al. "Comparative performance of scFv-based anti-BCMA CAR formats for improved T cell therapy in multiple myeloma." Cancer Immunology, Immunotherapy 73.6 (2024): 100.
  • CAR Vector Products

  • AbTCR Vector Products

  • CAR Cell Products

  • CAR Viral Particles

  • Protein

  • TriCAR Vector Products

  • CAR Animal Cells

  • CAR mRNA

  • CAR-NK92 Cell Product

Loading...
  • Target Species:
  • Antibody Clone:
  • Antibody Host:
  • Receptor Construction:
  • Vector Type:
  • Targeting Cell Type:
  • CAR Vector Type:
CAT Product Name Target Species Antibody Clone Antibody Host Receptor Construction Vector Type Targeting Cell Type CAR Vector Type Inquiry & Datasheet
XS-0722-YF122 TS-Fluc Anti-Human BCMA scFv (C11D5.3) CD28-4-1BB-CD3ζ CAR, pCDCAR1 Human C11D5.3 Mouse 7H-YB-Fluc-EF1a-scFv-CD28-41BB-CD3ζ Lentiviral vector T cell   Add to Cart   Datasheet
XS-0722-YF123 TS-Fluc Anti-Human BCMA scFv (11D5-3) CD28-4-1BB-CD3ζ CAR, pCDCAR1 Human 11D5-3 Mouse 7H-YB-Fluc-EF1a-scFv-CD28-41BB-CD3ζ Lentiviral vector T cell   Add to Cart   Datasheet
XS-0722-YF182 TS-IL15 SA Anti-Human BCMA scFv (C11D5.3) CD28-CD3ζ CAR, pCDCAR1 Human C11D5.3 Mouse 7H-YB-IL15 SA-EF1a-scFv-CD28-CD3ζ Lentiviral vector T cell   Add to Cart   Datasheet
XS-0722-YF183 TS-IL15 SA Anti-Human BCMA scFv (11D5-3) CD28-CD3ζ CAR, pCDCAR1 Human 11D5-3 Mouse 7H-YB-IL15 SA-EF1a-scFv-CD28-CD3ζ Lentiviral vector T cell   Add to Cart   Datasheet
XS-0722-YF242 TS-IL15 SA Anti-Human BCMA scFv (C11D5.3) 4-1BB-CD3ζ CAR, pCDCAR1 Human C11D5.3 Mouse 7H-YB-IL15 SA-EF1a-scFv-41BB-CD3ζ Lentiviral vector T cell   Add to Cart   Datasheet
XS-0722-YF243 TS-IL15 SA Anti-Human BCMA scFv (11D5-3) 4-1BB-CD3ζ CAR, pCDCAR1 Human 11D5-3 Mouse 7H-YB-IL15 SA-EF1a-scFv-41BB-CD3ζ Lentiviral vector T cell   Add to Cart   Datasheet
XS-0722-YF302 TS-IL15 SA Anti-Human BCMA scFv (C11D5.3) CD28-4-1BB-CD3ζ CAR, pCDCAR1 Human C11D5.3 Mouse 7H-YB-IL15 SA-EF1a-scFv-CD28-41BB-CD3ζ Lentiviral vector T cell   Add to Cart   Datasheet
XS-0722-YF303 TS-IL15 SA Anti-Human BCMA scFv (11D5-3) CD28-4-1BB-CD3ζ CAR, pCDCAR1 Human 11D5-3 Mouse 7H-YB-IL15 SA-EF1a-scFv-CD28-41BB-CD3ζ Lentiviral vector T cell   Add to Cart   Datasheet
XS-0722-YF362 TS-NKG2DL Anti-hCD3 and Anti-Human BCMA scFv (C11D5.3) CD28-CD3ζ CAR, pCDCAR1 Human C11D5.3 Mouse 7H-YB-NKG2DL Anti-hCD3 and (OKT3 scFv-NKG2D ECD)-EF1a-scFv-CD28-CD3ζ Lentiviral vector T cell   Add to Cart   Datasheet
XS-0722-YF482 TS-NKG2DL Anti-hCD3 and Anti-Human BCMA scFv (C11D5.3) CD28-4-1BB-CD3ζ CAR, pCDCAR1 Human C11D5.3 Mouse 7H-YB-NKG2DL Anti-hCD3 and (OKT3 scFv-NKG2D ECD)-EF1a-scFv-CD28-41BB-CD3ζ Lentiviral vector T cell   Add to Cart   Datasheet
XS-0722-YF483 TS-NKG2DL Anti-hCD3 and Anti-Human BCMA scFv (11D5-3) CD28-4-1BB-CD3ζ CAR, pCDCAR1 Human 11D5-3 Mouse 7H-YB-NKG2DL Anti-hCD3 and (OKT3 scFv-NKG2D ECD)-EF1a-scFv-CD28-41BB-CD3ζ Lentiviral vector T cell   Add to Cart   Datasheet
XS-0822-YF858 Anti-Human BCMA (XW-858) h(41BB-CD3ζ) CAR IVT Plasmid, pCARIVT Human XW-858 Humanized scFv-41BB-CD3ζ In Vitro Transcription (IVT) Vector   Add to Cart   Datasheet
XS-0822-YF867 Anti-Human BCMA (XW-867) h(41BB-CD3ζ) CAR IVT Plasmid, pCARIVT Human XW-867 Mouse scFv-41BB-CD3ζ In Vitro Transcription (IVT) Vector   Add to Cart   Datasheet
XS-0822-YF868 Anti-Human BCMA (XW-868) h(41BB-CD3ζ) CAR IVT Plasmid, pCARIVT Human XW-868 Mouse scFv-41BB-CD3ζ In Vitro Transcription (IVT) Vector   Add to Cart   Datasheet
XS-0822-YF869 Anti-Human BCMA (XW-869) h(41BB-CD3ζ) CAR IVT Plasmid, pCARIVT Human XW-869 Mouse scFv-41BB-CD3ζ In Vitro Transcription (IVT) Vector   Add to Cart   Datasheet
XS-0822-YF870 Anti-Human BCMA (XW-870) h(41BB-CD3ζ) CAR IVT Plasmid, pCARIVT Human XW-870 Human scFv-41BB-CD3ζ In Vitro Transcription (IVT) Vector   Add to Cart   Datasheet
XS-0822-YF871 Anti-Human BCMA (XW-871) h(41BB-CD3ζ) CAR IVT Plasmid, pCARIVT Human XW-871 Human scFv-41BB-CD3ζ In Vitro Transcription (IVT) Vector   Add to Cart   Datasheet
XS-0822-YF872 Anti-Human BCMA (XW-872) h(41BB-CD3ζ) CAR IVT Plasmid, pCARIVT Human XW-872 Mouse scFv-41BB-CD3ζ In Vitro Transcription (IVT) Vector   Add to Cart   Datasheet
XS-0822-YF873 Anti-Human BCMA (XW-873) h(41BB-CD3ζ) CAR IVT Plasmid, pCARIVT Human XW-873 Humanized scFv-41BB-CD3ζ In Vitro Transcription (IVT) Vector   Add to Cart   Datasheet
XS-0822-YF874 Anti-Human BCMA (XW-874) h(41BB-CD3ζ) CAR IVT Plasmid, pCARIVT Human XW-874 Mouse scFv-41BB-CD3ζ In Vitro Transcription (IVT) Vector   Add to Cart   Datasheet
XS-0823-LX2 Anti-hBCMA (AB) ICD(CD28-OX40-CD3ζ) CAR-MA, pAd5f35 Vector Human AB Adenoviral vectors   Add to Cart   Datasheet
Unable to find the desired product? Explore the Filter Options at the top of the list.
Key Updates
Newsletter. (Creative Biolabs Authorized) NEWSLETTER

The latest newsletter to introduce the latest breaking information, our site updates, field and other scientific news, important events, and insights from industry leaders

LEARN MORE NEWSLETTER
New Solution. (Creative Biolabs Authorized) NEW SOLUTION

CellRapeutics™ In Vivo Cell Engineering: One-stop in vivo T/B/NK cell and macrophage engineering services covering vectors construction to function verification.

LEARN MORE SOLUTION
Novel Solution. (Creative Biolabs Authorized) NOVEL TECHNOLOGY

Silence™ CAR-T Cell: A novel platform to enhance CAR-T cell immunotherapy by combining RNAi technology to suppress genes that may impede CAR functionality.

LEARN MORE NOVEL TECHNOLOGY
New Technology. (Creative Biolabs Authorized) NEW SOLUTION

Canine CAR-T Therapy Development: From early target discovery, CAR design and construction, cell culture, and transfection, to in vitro and in vivo function validation.

LEARN MORE SOLUTION
Receive our latest news and insights.