Solutions
Online Inquiry
Global Services. (Creative Biolabs Authorized)

Virus-based Vaccine Boosting CAR-T Cell Solutions

Online Inquiry

Creative Biolabs is a world leader in the field of CAR-T generation and vaccine development. With our extensive experience and advanced platform, we are therefore confident in offering the best virus-based vaccine-boosting CAR-T services for the treatment of solid tumors. We guarantee the finest results for our customers all over the world.

Introduction to Virus-based Vaccine Boosting CAR-T Therapy

A virus vaccine is designed by introducing tumor antigens into the human body as a vaccination to overcome the immunosuppressive state caused by the tumor, enhance the immunogenicity, and induce the body's cellular and humoral immune response to fight or eliminate the tumor. In the treatment of solid tumors, CAR-T still uses tumor-associated antigens as the target. At present, CAR-T can identify and target more than ten kinds of solid tumors, such as lung cancer, breast cancer, and pancreatic cancer. However, there are significant difficulties in the CAR-T treatment of solid tumors. The main challenges are (1) Lack of tumor-specific antigen due to tumor heterogeneity; and (2) Inhibition of tumor microenvironment. Therefore, many researchers began to try to combine CAR-T therapy with other strategies to treat tumors, hoping to eliminate or reduce the potential defects caused by CAR-T itself, improve the therapeutic effect, or reduce the original side effects. Recent studies have shown that the combination of vaccines and CAR-T cells can achieve a dual strategy of optimizing tumor tropism and specificity, which is an ideal group against solid tumors.

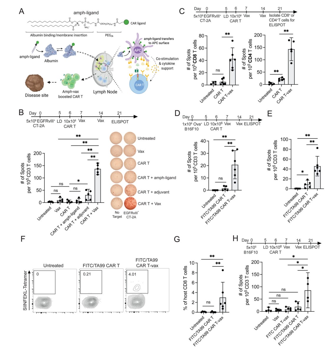
Fig.1 Amph-FITC Ligands Boost The Anti-tumor Activity of Bispecific CAR-T Cells. (Ma, et al., 2019)Fig.1 Amph-FITC Ligands Boost The Anti-tumor Activity of Bispecific CAR-T Cells.1

Virus-based Vaccine Boosting CAR-T Cell Solutions

The Creative Biolabs research team has been focused on both tumor vaccines and CAR-T therapy for years. Currently, We have developed a virus-based vaccine boosting CAR-T cell therapy platform that can increase the number of CAR-T cells with anti-tumor activity in the body by at least 20-fold and significantly reduce the side effects of the vaccine. In our labs, we designed the virus vaccine as a novel CAR T ligand that can be transported to lymph nodes and bind the surface of antigen-presenting cells, thereby activating CAR T in the native lymph node microenvironment.

By establishing immunofunctional mouse tumor models, we found that this virus vaccine can enhance and induce large amounts of CAR-T amplification, increase donor cell versatility, and enhance anti-tumor efficacy. Up to now, we have extended multiple flexible strategies to existing CAR-T designs to enhance anti-solid tumor efficacy.

  • Applicable to a variety of solid tumors
  • Trigger the involvement of the endogenous immune system
  • Avoid escape of antigen-negative tumors
  • Promotes the recruitment of dendritic cells (DC) to tumors
  • Enhance heterogeneous tumor control
  • The number of CAR T cells increased 100-fold
  • A variety of antitumor functions promote 3 ~ 5 times
  • The tumor disappeared completely in 50% of the model mice

Fig.2 Vaccine Boosting Enables CAR T-cells to Elicit Endogenous T-cell Responses in Multiple Tumor Models. (Ma, et al., 2023)Fig. 2 Vaccine Boosting Enables CAR T-cells to Elicit Endogenous T-cell Responses in Multiple Tumor Models.2

Chief Solutions

We modified virus-specific T cells (VST) with tumor-specific CAR, and the immunogenicity of these viruses can be used for the treatment of solid tumors.

In our labs, we have generated GMP-compliant GD2 CARs and then modified them with live attenuated VZV vaccines. Peripheral blood mononuclear cells are stimulated by using overlapping peptide libraries covering selected VZV antigens. Finally, they are tested for their ability to recognize and kill target cells expressing GD2 and VZV antigens.

We have developed a novel combination immunotherapy in which cytomegalovirus (CMV) pp65-specific T cells are selected and amplified for in vitro modification of CAR targeting CD19. our data have indicated that these CMV-CD19 CAR T cells can stimulate natural CMV-specific T cell receptor (TCR) expansion in vivo by using the CMV vaccine.

In Creative Biolabs, we generated CAR-gp100STs constructs by lentivirus transduction of gp100-specific T-cell receptor (TCR) and construction of specific chimeric antigen receptor (CAR) mRNA. These antigen-specific receptors can be functionally combined through different methods to introduce each receptor into the same T cell, which opens up new possibilities and opportunities for cancer immunotherapy.

Creative Biolabs has won a good reputation among our worldwide customers for accomplishing numerous challenging virus-based vaccine-boosting CAR-T cell projects. We have experienced experts and advanced platforms that can provide excellent services. If you are interested in our services, please contact us for more details.

References

  1. Ma, Leyuan, et al. "Enhanced CAR–T cell activity against solid tumors by vaccine boosting through the chimeric receptor." Science 365.6449 (2019): 162-168.
  2. Ma, Leyuan, et al. "Vaccine-boosted CAR T crosstalk with host immunity to reject tumors with antigen heterogeneity." Cell 186.15 (2023): 3148-3165.
Online Inquiry

For any technical issues or product/service related questions, please leave your information below. Our team will contact you soon.

This site is protected by reCAPTCHA and the Google Privacy Policy and Terms of Service apply.

All products and services are For Research Use Only and CANNOT be used in the treatment or diagnosis of disease.

Key Updates
Newsletter. (Creative Biolabs Authorized) NEWSLETTER

The latest newsletter to introduce the latest breaking information, our site updates, field and other scientific news, important events, and insights from industry leaders

LEARN MORE NEWSLETTER
New Solution. (Creative Biolabs Authorized) NEW SOLUTION

CellRapeutics™ In Vivo Cell Engineering: One-stop in vivo T/B/NK cell and macrophage engineering services covering vectors construction to function verification.

LEARN MORE SOLUTION
Novel Solution. (Creative Biolabs Authorized) NOVEL TECHNOLOGY

Silence™ CAR-T Cell: A novel platform to enhance CAR-T cell immunotherapy by combining RNAi technology to suppress genes that may impede CAR functionality.

LEARN MORE NOVEL TECHNOLOGY
New Technology. (Creative Biolabs Authorized) NEW SOLUTION

Canine CAR-T Therapy Development: From early target discovery, CAR design and construction, cell culture, and transfection, to in vitro and in vivo function validation.

LEARN MORE SOLUTION
Receive our latest news and insights.