Creative Biolabs-Immuno-oncology

Contrast-Enhanced CT Tumor Imaging Service

As an expert in the field of oncology imaging discovery, Creative Biolabs is helping our customers with many contrast-enhanced-mediated imaging services targeting different tumor types. Based on our deep analytical capabilities and vast experience in contrast-enhanced CT tumor imaging studies, our client-focused, integrated team will anticipate challenges, overcome difficulties, and provide custom tumor studies with numerous assays. We guarantee the finest results for our customers all over the world.

Introduction to Contrast-Enhanced CT Technology

CT scanners, and 3D imaging systems, have been widely used for measuring the photon energy absorbed by different organs or tissues. With the continuous innovation of contrast media, CT scanners can now more visually display tissue areas that are difficult to distinguish from the surrounding environment. Contrast-enhanced CT (CE-CT) can usually capture the process of circulation at one or more time points or stages. For example, given the unique perfusion pattern of the kidney, contrast enhancement imaging in its associated diseases has been extensively studied.

Nowadays, Creative Biolabs has also generated a novel CE-CT platform to identify tumor-associated biomarkers in early drug discovery phases. Moreover, CE-CT can participate in the imaging evaluation of tumor response, which has the advantages of fast, low cost, and high efficiency. So far, we can provide a complete set of CE-CT service systems, ranging from CE-CT system establishment, quality control, and radiation parameter setting to data processing. Among them, our dynamic CE-CT (DCE-CT) system has initially possessed the technical accuracy to guide cancer therapy.

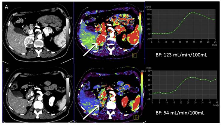
Conventional CT images and DCE-CT-derived regional blood flow maps. Fig.1 Conventional CT images and DCE-CT-derived regional blood flow maps.1

In addition, We can use DCE-CT to predict the response of a range of tumors, such as cervical, rectal, and lung cancers, to chemotherapy and provide accurate risk stratification. In a recent study, we found a strong correlation between reduced DCE-CT parameters and prolonged survival, which suggests that our data may serve as a proxy for later clinical trials.

Services

Our labs have equipped a team of experienced scientists to provide the best strategy and protocols customized to tumor contrast imaging projects. We provide global solutions for cancer imaging, a seamless, high-quality, single-source value chain from theory to practice.

Small Animal Imaging Services

We have an advanced imaging center, with all imaging rooms equipped with built-in anesthetic gas handling systems and equipment for the development of new contrast agents. furthermore, we have a special breeding room that can handle animals for imaging studies and a special animal surgery room. Our staff has a rich background in animal handling, physiology, and imaging research.

Large Animal Imaging Services

Our current services include but are not limited to, the development of novel contrast agents, the establishment and validation of new tumor imaging methods, pharmacokinetic analysis in animal models, as well as the monitoring and evaluation of new therapeutic approaches.

Human Imaging Services

The human imaging analysis Laboratory has a complete CT suite, including a variety of CT injection systems, CE-CT, and DCE-CT imaging systems. Besides, we are equipped with a fully equipped metabolite analysis laboratory including HPLC, and MS. Up to now, we have extensive experience in imaging analysis of human tumors.

Service procedure

Service procedure-Creative Biolabs. (Creative Biolabs Original).

Creative Biolabs is dedicated to expanding cutting-edge tumor contrast imaging research across a range of applications. With our proven competencies and regulatory expertise, we are therefore confident in offering the best services targeting various. We can provide many flexible options, from which you can always find a better match for your particular project. If you are interested in our services, please contact us or directly send us an inquiry.

Reference

  1. Miles, K. A., et al. Current status and guidelines for the assessment of tumor vascular support with dynamic contrast-enhanced computed tomography. European radiology. 2012, 22: 1430-1441.

For Research Use Only | Not For Clinical Use

Online Inquiry
Copyright © 2026 Creative Biolabs. All Rights Reserved.
ISO 9001 Certified - Creative Biolabs Quality Management System.
Close
Thanksgiving
Thanksgiving