Creative Biolabs-Immuno-oncology

GVHD Diagnosis Research Services

Creative Biolabs is one of the first companies in the world to specialize in GVHD diagnostic services and product development. We focus on the development, production, sales, and service of GVHD products. After more than ten years of selection, training, and running-in, we have established a high-level management team with an international background and professional GVHD research experience. At present, we have successfully developed multi-category and multi-variety GVHD diagnostic service systems and supporting products.

Introduction

GVHD is a serious postoperative complication of hematopoietic stem cell transplantation (HSCT) in which donor-derived immune cells reconstructed in the patient attack the recipient's organs. GVHD is divided into acute graft-versus-host disease (aGvHD) and chronic graft-versus-host disease (cGvHD). According to the different clinical manifestations, Creative Biolabs has deeply studied its pathogenesis and established a series of novel GvHD diagnostic techniques.

Furthermore, with the development of molecular biology, the search for GVHD-related molecular markers in blood is crucial for the accurate diagnosis of GvHD. We use changes in the host-derived cfDNA (hd-cfDNA) level to monitor tissue damage in a real-time manner. The risk of GvHD can be accurately determined by analyzing changes in hd-cfDNA level in peripheral blood and donor-derived free DNA (ddcfDNA) in white blood cells. Up to now, Creative Biolabs has mainly used a high-throughput SNP capture sequencing platform and STR-based qPCR detection platform to assess the risk of GvHD occurrence.

GVHD Severe Salivary Gland Dysfunction. (Li, Duo, et al., 2024)Fig.1 Salivary Gland Scintigraphy Examination.1

Chief Services

With the increasing incidence of GVHD (30%~70%), accurate and rapid early diagnosis and efficacy monitoring technology of GVHD has become a research hotspot. Creative Biolabs mainly reveals the diagnostic process of GVHD and explores its pathogenesis from the negative selection of thymus damage and damage, defect of regulatory T cells (Treg), antibody production of abnormal B lymphocytes, and fibrosis of tissues and organs.

In Creative Biolabs, we offer an analysis of the positive and negative selection processes involved in T cell development within the thymus. Through negative selection, we aim to elucidate the mechanisms by which the immune system eliminates self-reactive T cell clones and establishes central tolerance. Our goal is to assist our clients in minimizing the risk of thymus damage resulting from GVHD treatment and preventing the onset of GVHD. For instance, we can administer anti-CD4 monoclonal antibodies shortly after transplantation to temporarily restore damaged thymic function, thereby averting cGVHD development without compromising the anti-tumor effects mediated by CD8+T cells.

Over recent decades, extensive research has demonstrated that Tregs play a pivotal role in immune regulation by maintaining peripheral tolerance and preventing autoimmune diseases as well as GVHD. Consequently, our services encompass comprehensive analysis for assessing various aspects related to Tregs including their generation, expansion, and maintenance alongside establishing peripheral tolerance post-transplantation. Our ongoing investigations aim to elucidate potential impairments in Tregs under diverse conditions or models while examining their association with relative deficiencies leading to GVHD. Concurrently, our prospective monitoring has revealed that rapidly proliferating immature T cells following transplantation can contribute to an expanded pool of potentially alloreactive counterparts thereby elevating cGVHD susceptibility.

Creative Biolabs offers diagnostic services for GVHD associated with autoreactive B cells and regulatory B cells (Breg). We assess the expression levels of various B cell activating factors (BAFF) and measure the BAFF to B cell ratio to predict and diagnose GVHD. Additionally, we evaluate the signal level of the B-cell receptor (BCR), which binds to antigens during B-cell reconstruction, to analyze the development of GVHD. Based on observations that Breg is less common in cGVHD patients than in healthy donors and patients without cGVHD, along with functional impairment of IL-10 production, we have established a diagnostic analysis and resolution system for cGVHD with Breg deficiency as its primary pathogenesis. Furthermore, we propose testing autoantibodies and HY-antibodies associated with fibrosis changes to provide reliable data for GVHD diagnosis.

Nowadays, a wide variety of cytokines have been implicated in the diagnosis of GVHD. We have conducted an analysis of GVHD occurrence and diagnosis by detecting a range of cytokines, including IL-2, IL-10, IL-17α, IFN-γ, IL-6, and TNF-α. Also, chemokines contribute to the fibrotic changes observed in cGVHD. Through investigation using a mouse model of cGVHD, Creative Biolabs has discovered that phosphodiesterase-4 inhibitors can significantly reduce the mRNA expression of pro-inflammatory factors, pro-fibrotic factors, and chemokines while alleviating pulmonary fibrosis and inflammation. Dysregulation of the PDGF signaling pathway is associated with atherosclerosis, pulmonary hypertension, and fibrosis. Patients with scleroderma and generalized cGVHD all exhibit stimulating antibodies to the PDGF receptor. As such we have recently incorporated PDGF signaling pathway-related factors and chemokines into our GVHD diagnostic testing service package. In our labs, the effective diagnosis of GVHD is crucial for reducing non-recurrence mortality post-transplantation as well as improving patients' quality of life.

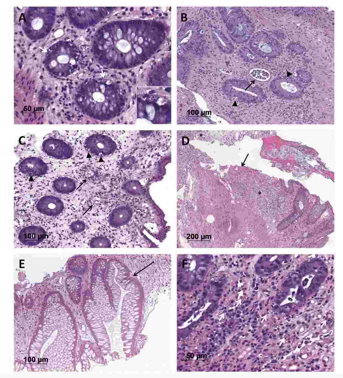
GVHD Histomorphological Parameters Analysis. (Hippe, Katrin, et al., 2023)Fig.2 Histomorphological Parameters of GVHD Evaluated by The 4 Observers.2

Creative Biolabs is committed to providing innovative, cost-effective GVHD diagnostic services to customers around the world. We offer a wide range of new medical diagnostic and laboratory equipment to meet the needs of GVHD research in different specialties and sizes. Note, that we have introduced the latest molecular diagnostic techniques into the field of GVHD and developed various GVHD diagnostic tools. If you are interested in our services, please feel free to contact us.

References

  1. Li, Duo, et al. "Multiple oral manifestations in a patient with chronic GVHD: a case report and literature review." (2024).
  2. Hippe, Katrin, et al. "Round-Robin test for the histological diagnosis of acute colonic Graft-versus-Host disease validating established histological criteria and grading systems." Virchows Archiv 483.1 (2023): 47-58.

For Research Use Only | Not For Clinical Use

Online Inquiry
Copyright © 2026 Creative Biolabs. All Rights Reserved.
ISO 9001 Certified - Creative Biolabs Quality Management System.
Close
Thanksgiving
Thanksgiving