Creative Biolabs-Immuno-oncology

Tumor Contrast Imaging Solutions

Leveraging its expertise in precision oncology, Creative Biolabs has developed a platform for tumor-specific photoacoustic imaging technology that extends the range of existing tumor imaging technologies. Our scientists and technicians are dedicated to advancing your tumor imaging-based projects, providing integrated services ranging from various detection assay solutions to big data analytics.

Introduction to Tumor Contrast Imaging

At present, a variety of targeted therapies for tumor cells are constantly emerging, but tumor drug resistance, frequent recurrence, and serious side effects of treatment are still the main problems. In the past decades, imaging technology has provided powerful support for qualitative and quantitative assessment, precise diagnosis, and treatment of tumors. Therefore, Creative Biolabs has established a wide variety of tumor imaging methods and provides different levels of diagnostic development, technical analysis, detection, and evaluation services. We hope to obtain not only the fine anatomical morphological information of tumor organs or targets but also the multi-parameter or multi-modal imaging information, to provide strong data support for precise tumor treatment.

PET/CT and PET/MR Images in Pancreas Cancer and Liver Cancer. Fig.1 PET/CT and PET/MR Images in Pancreas Cancer and Liver Cancer.1

Tumor Contrast Imaging Solutions

In Creative Biolabs, with the continuous breakthrough of various imaging technologies, our imaging systems have been able to achieve absolute quantification, high resolution, standardization, digitization, and integration with other molecular detection methods. Our oncology imaging technology system includes, but is not limited to:

Photoacoustic Tumor Imaging Service

Our Photoacoustic imaging technology has many advantages, such as high resolution, high contrast, and deep imaging depth, and has broad application prospects and high application value. for instance, our photoacoustic microscopic imaging technology has realized multi-scale imaging from acoustic resolution to optical resolution and developed multi-parameter imaging from pure absorption structure to function, which has become one of the most potential real-time tumor imaging technologies.

Contrast-Enhanced CT Tumor Imaging Service

Our CT imaging technique has a micrometer spatial resolution (> 9μm) and can provide three-dimensional images. It has unique advantages in the examination of lung cancer tissue. In addition, it has achieved good imaging results in cardiovascular cancer tissues.

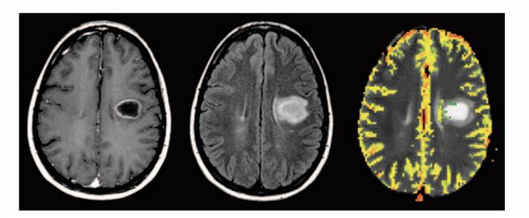
Dynamic Contrast-Enhanced Magnetic Resonance Imaging of Brain Tumor. Fig.2 Dynamic Contrast-Enhanced Magnetic Resonance Imaging of Brain Tumor.2

Contrast-Enhanced MRI Tumor Imaging Service

Our unique MRI analysis system can map the structure inside cancer tissue. MRI has the unique advantages of high resolution on the micron scale, no ionizing radiation damage, high soft tissue resolution, and no need to use contrast agents to show the structure of blood vessels. To date, our MRI system can be a powerful and versatile tumor imaging system, especially in vascular carcinomas.

Contrast-Enhanced Ultrasound Tumor Imaging Service

The ultrasoniconic imaging technology platform is designed based on sound wave propagation imaging in soft tissue. Due to its advantages of non-radiation, simple operation, intuitive image, and cheap price, it has been widely used in a variety of cancer imaging.

Highlights

With our professional knowledge, we are dedicated to turning your vision project into real data. The exploration of oncology imaging technology and the passion for our customers have always been our driving force. We will always put the needs of our customers first.

Creative Biolabs provides accurate oncology imaging services, we are equipped with complete imaging equipment, and technicians are certified and trained to ensure high-quality analytical services. For more detailed information, please feel free to contact us or directly send us an inquiry.

References

  1. Rauscher, I., et al. PET/MR in oncology: non-18F-FDG tracers for routine applications. Journal of Nuclear Medicine. 2014, 55(Supplement 2): 25S-31S.
  2. Choyke, P. L., et al. Functional tumor imaging with dynamic contrast-enhanced magnetic resonance imaging. Journal of the International Society for Magnetic Resonance in Medicine. 2003, 17(5): 509-520.

For Research Use Only | Not For Clinical Use

Online Inquiry
Copyright © 2026 Creative Biolabs. All Rights Reserved.
ISO 9001 Certified - Creative Biolabs Quality Management System.
Close
Thanksgiving
Thanksgiving