Creative Biolabs-Immuno-oncology

Immunohistochemistry (IHC)-based Tumor Profiling

IHC for Tumor Profiling

Immunohistochemistry (IHC) can help distinguish between different types and subtypes of cancer by identifying specific biomarkers within cells. It provides the ability to assess biomarkers for abundance and localization. In addition, multiplex IHC technology has advantages in image acquisition throughput, image resolution, and data accuracy.

IHC-based Tumor Profiling Service

IHC is a commonly used platform for biomarker detection. Dedicated to high quality & fast reliable IHC services, Creative Biolabs offers easy-to-work-with histopathology services with a fast turnaround time. Our experienced staff are at the forefront of IHC technology and can help you detect any marker you desire with high sensitivity and minimum background. We can use ready-to-stain slides provided by customers. We can also process experimental tissues provided by customers for paraffin or frozen OCT embedding, sectioning, and immunostaining. Report images and analysis are captured quickly and accurately for integration into final reports. Our pathologists can provide the highest quality analysis to aid in the evaluation and interpretation of IHC reports.

Our IHC Capabilities

IHC-based tumor profiling is the present standard for the evaluation of therapeutically relevant biomarkers. We offer a full range of IHC-based tumor profiling services, including routine IHC (peroxidase and alkaline phosphatase), immunofluorescence (IF), and immunocytochemistry (ICC). We also offer different detection/chromogen systems, so that stains can be tailored to our clients’ particular needs. Multiplex staining, digital scanning, and image analysis are available at our lab.

With extensive experience in IHC and histopathology assays, our team is happy to provide you with a broad range of IHC stains for paraffin and frozen tissue sections. Our IHC services permit clients to track the spatial locations of specific target proteins in tissues and cells. Our IHC program can be tailored to your needs.

Creative Biolabs offers high-quality and efficient services for IF full assay development, protocol validation, staining, image collection, and data analysis/interpretation. We have a plethora of fluorophores to choose and optimized solutions have been developed to help you get optimal IF results.

Multiplex IHC enables the detection of two or more targets on one slide, providing comprehensive information on biomarker expression levels, co-localization, and compartmentalization. Multiplex IHC/IF can be done using either chromogenic substrates or fluorophores, respectively. Our multiplex IHC/IF service provides high-throughput multiplex staining and standardized semi-quantitative analysis for highly reproducible, efficient and cost-effective tissue studies.

Fig.1 In-depth schematic of a chromogenic multiplexed immunohistochemistry assay.Fig.1 Chromogenic multiplexed immunohistochemistry assay scheme.1, 3

Service Workflow

Our full range of histology services includes tissue or cell pellet processing, embedding, sectioning, and routine or special staining, imaging and analysis.

Service Workflow

Contact Us

Creative Biolabs provides an IHC-based tumor profiling service tailored to your unique needs. Our experienced team is proud to offer a broad range of routine and advanced IHC staining techniques for both frozen and formalin-fixed, paraffin-embedded (FFPE) tissues. Please feel free to contact us to get more information on how we can help you!

Published Data

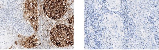
Data 1: IHC analysis of metaplastic breast cancer

Sample type: formalin-fixed, paraffin-embedded, 5-μm tissue slides

Tumor: breast cancer

Technology: IHC

Fig.2 In-depth IHC analysis representing the staining of GCDFP-15 and TTF-1.Fig.2 Representative IHC stain of GCDFP-15 and TTF-1.2, 3

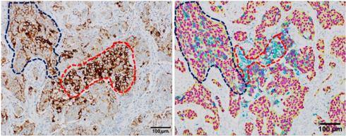
Data 2: Multiplexed IHC staining in non-small cell lung cancer tissue.

Sample type: formalin-fixed, paraffin-embedded tissue slides

Tumor: non-small cell lung cancer

Technology: multiplexed IHC

Fig.3 In-depth analysis using traditional immunoperoxidase staining and multiplexed immunohistochemistry (IHC).Fig.3 Conventional immunoperoxidase staining and multiplexed IHC.1, 3

References

  1. Hofman, Paul, et al. "Multiplexed immunohistochemistry for molecular and immune profiling in lung cancer—just about ready for prime-time?." Cancers 11.3 (2019): 283.
  2. Afkhami, Michelle, et al. "Mutation and immune profiling of metaplastic breast cancer: correlation with survival." PLoS One 14.11 (2019): e0224726.
  3. Distributed under Open Access license CC BY 4.0, without modification.

For Research Use Only | Not For Clinical Use

Online Inquiry
Copyright © 2026 Creative Biolabs. All Rights Reserved.
ISO 9001 Certified - Creative Biolabs Quality Management System.
Close
Thanksgiving
Thanksgiving