Creative Biolabs-Lipid Based Drug Delivery

High-Throughput Screening for Lung mRNA Delivery

Challenge High-Throughput Screening Research Insights Products & Services Resources

The development of lipid nanoparticles (LNPs) as mRNA therapeutics has revolutionized medicine, yet their current applications are often limited by the challenge of achieving tissue-specific delivery. A critical hurdle lies in targeting the lungs to treat a wide range of diseases, from genetic disorders to cancer, while avoiding off-target accumulation. At Creative Biolabs, we believe that high-throughput screening is the key to overcoming this obstacle and unlocking the full potential of mRNA-based therapies. Our expertise in lipid-based drug delivery systems enables us to provide the research ideas and solutions that accelerate your path to discovery.

The Challenge of Extrahepatic mRNA Delivery

The lung is a prime target for inhaled therapeutics due to its large, accessible surface area, offering new hope for diseases ranging from genetic disorders like cystic fibrosis to lung cancer. However, its unique physiology presents significant delivery challenges.

The lung's natural defenses—including a protective mucus layer and rapid mucociliary clearance—actively prevent nanoparticles from reaching their target. Adding to this complexity, standard intravenous LNP delivery often fails, as nanoparticles are quickly diverted to the liver and spleen by a protein corona that forms upon entering the bloodstream.

Effective lung-targeted therapy, therefore, demands a new class of LNPs specifically designed to evade these barriers. Success depends on creating formulations that are not only stable and biocompatible but are also optimized for deep lung penetration and efficient intracellular delivery.

Advancements through High-Throughput Screening

Developing LNPs with specific organ tropism requires the systematic evaluation of vast libraries of lipid compounds. This is where high-throughput screening becomes indispensable. This technology allows researchers to simultaneously evaluate the in vivo delivery profile of hundreds of distinct LNP formulations.

This approach provides several critical advantages:

  • Speed and Efficiency: It dramatically accelerates the discovery process by replacing time-consuming, one-by-one testing with parallel, large-scale screening.
  • Predictive Power: By conducting in vivo screens, the methodology provides a more accurate prediction of real-world performance compared to in vitro assays alone.
  • Data-Driven Design: The HTS data generates a rich structure-activity relationship (SAR) map, linking specific lipid chemical structures to their biodistribution and efficacy profiles. This insight is invaluable for the rational design of next-generation LNPs.

Experimental Insights from the Barcoded Screening Study

The research published in Nature Communications offers a clear roadmap for achieving lung tropism. The study's innovative methodology provides critical insights into the entire discovery process, from library design to therapeutic validation.

  • LNP Library Synthesis

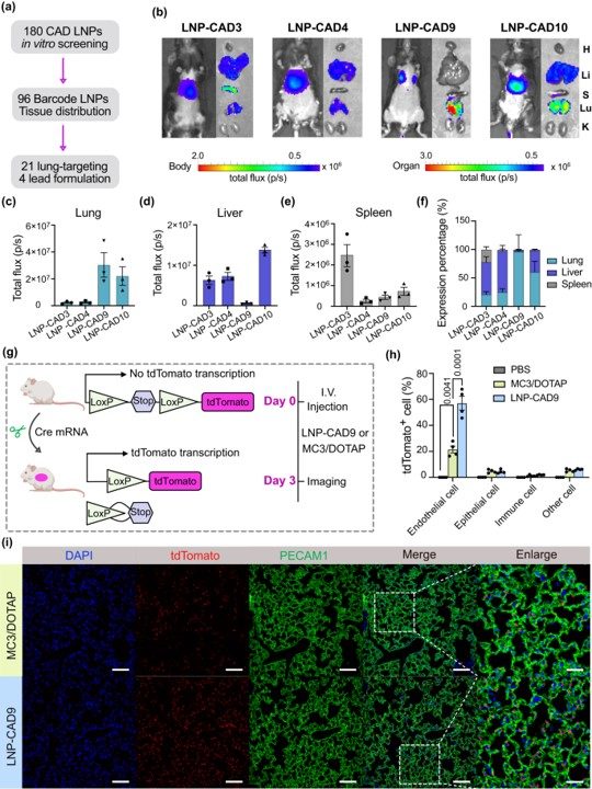
The study began with the combinatorial synthesis of a large library of 180 cationic, degradable lipid-like materials. This approach enabled the creation of a vast chemical space for exploration, allowing researchers to systematically test how subtle changes in lipid structure impact LNP performance. This initial step is crucial for generating a diverse and relevant pool of candidates for subsequent screening.

High-throughput LNP screening facilitates the discovery of cationic degradable (CAD) lipid-like materials for mRNA delivery to the lungs. (OA Literature)Fig. 1 High-throughput LNP screening. 1

  • High-Throughput In Vivo Screening

After an initial in vitro screen, the top 96 LNPs were each tagged with a unique DNA barcode. This allowed researchers to pool the formulations and administer them to a small cohort of mice, enabling the simultaneous quantification of LNP accumulation in the lungs and other organs. This barcoding technology dramatically accelerated the identification of LNPs with the desired lung tropism.

In vivo structure-activity relationship analysis of 96 chemically distinct CAD lipids and organ tropism. (OA Literature)Fig. 2 Understanding CAD lipid structure and organ tropism relationships in vivo. 1

  • Validation of Therapeutic Efficacy

The research concluded by validating the therapeutic potential of the top-performing LNP. This formulation was used to deliver Cas9-based genetic editors, which exhibited a therapeutic effect in a lung tumor model in female mice. This critical step demonstrated that the newly identified LNP was not only capable of reaching the lungs but also of delivering a functional therapeutic payload.

Validation of lead LNP formulations for mRNA delivery to the lungs of female mice. (OA Literature)Fig. 3 Validation of top performing LNPs for mRNA delivery to the lungs. 1

This groundbreaking research highlights the power of combining innovative screening techniques with a deep understanding of lipid chemistry to address complex delivery challenges. The ability to efficiently screen large libraries of LNPs in vivo is transforming the discovery process, paving the way for next-generation therapeutics. Contact our team to learn how we can apply these and other insights to accelerate your research.

Related Products & Services

Creative Biolabs offers a suite of specialized services to support your high-throughput screening and lipid-based drug delivery projects. Our expert team is equipped to address the complex challenges of LNP development for mRNA therapeutics for a wide range of applications.

Services/Products Description Inquiry
Lipid Synthesis Custom synthesis of novel cationic, degradable lipid libraries for your unique LNP formulation needs. Inquiry
LNP Development Expert formulation and optimization of liposomes and LNPs to achieve desired characteristics and delivery. Inquiry
LNP Characterization Comprehensive analysis of physicochemical properties, including size, PDI, zeta potential, and drug loading. Inquiry
High-Throughput Screening Rapid, parallel in vitro and in vivo screening of LNP libraries to identify top-performing candidates. Inquiry
Process Optimization Refinement of manufacturing protocols for scalability and reproducibility. Inquiry

Resources

Reference

  1. Xue, Lulu, et al. "High-throughput barcoding of nanoparticles identifies cationic, degradable lipid-like materials for mRNA delivery to the lungs in female preclinical models." Nature Communications 15.1 (2024): 1884. doi: 10.1038/s41467-024-45422-9. Distributed under Open Access license CC BY 4.0, without modification.
For Research Use Only. Not For Clinical Use

Supports

Formulation Background of Liposome Research Highlights
Resources Technical Supports Featured Services Knowledge Center
Optimizing LNP Molar Ratios for Transfection Efficiency
Scalability Challenges in mRNA-LNP Manufacturing
Beyond mRNA: LNP Delivery for CRISPR/Cas9
Cationic Lipids Evolution: DOTAP to Ionizable Lipids
LNP Storage Stability: Lyophilization vs. Liquid
Modulating LNP Biodistribution: Overcoming Liver Accumulation
Active vs. Passive Targeting (EPR): A Guide to Tumor Drug Delivery
Immunoliposomes: Comparing Pre-insertion vs. Post-insertion Techniques
Crossing the BBB: Advances in Transferrin and Peptide-Modified Liposomes
pH-Responsive Liposomes for Tumor Microenvironment
Thermosensitive Liposomes combined with HIFU
Aptamer-Modified Liposomes: A Cost-Effective Antibody Alternative
Ethosomes vs Transfersomes for Dermal Delivery
Strategies for Encapsulating Poorly Water-Soluble Small Molecules in Liposomes
Multivesicular Liposomes: The Architecture of Sustained Release
Mechanisms of Liposomal Adjuvants in Enhancing Vaccine Immune Response
Protecting Enzymatic Activity: Liposomal Encapsulation Strategies for Enzymes
Cryo-TEM vs. DLS: Interpreting Discrepancies in Liposome Particle Size Data
Validating In Vitro Release Methods: Dialysis vs. Sample Separation Techniques
Predicting Long-Term Stability of Liposomal Suspensions using Zeta Potential
Troubleshooting Low Liposome Encapsulation Efficiency
Application of Multi-omics Analysis in Liposome Toxicology Assessment
The Ultimate Guide to Liposome Preparation
Fluorescent Liposomes for Cellular Uptake: Labeling, Controls, and Troubleshooting
How to Design Stealth Liposomes for Long Circulation
Homemade vs. Commercial Kits: Why Standardization Matters in Liposome Research
Develop Targeted Liposomes: Target Selection to Cellular Validation
Optimizing Ligand Density on Liposomes for Targeted Delivery
Directional Antibody Conjugation and Activity Retention in Immunoliposome Development
Peptide-Modified Liposomes: Screening and Conjugation Strategies
High-Affinity Aptamers and Efficient Liposomal Delivery
When to Use Cleavable PEG in Lipid-Based Delivery
Glycosylated Liposomes: Balancing Receptor-Mediated Uptake and Immune Recognition
Folic Acid and Other Vitamin Ligands for Targeted Liposomes
Formulation Optimization to Targeting: Liposome Parameters and Biological Readouts
Imaging Liposome Development: Labeling Strategy, Signal-to-Noise Ratio, and Stability
Charged Liposome Development: Cationic vs Neutral vs Anionic
Cationic Liposome Development for Efficient Transfection with Reduced Toxicity
Neutral Liposome Development for Stability and Long Circulation
Anionic Liposomes in Drug Delivery: Surface Charge and Cellular Uptake
PG Anionic Liposome: Membrane Stability and Payload Compatibility
Transfersome Development: Edge Activators, Size Optimization, and Permeation Testing
High-Ethanol Ethosomes: Drug Loading, Stability, and Skin Irritation in Transdermal Delivery
Dermal Delivery: Franz Diffusion Cells vs. Dialysis
Liposomes Fail in Skin Applications: A Practical Troubleshooting Guide
Key CQAs for Liposomal Skin Delivery: Stability, Loading and Irritation
Gradient Loading and Formulation Design for Small Molecule Liposomes
Protein & Peptide Liposomes: Preventing Denaturation and Controlled Release
Liposome vs. LNP: The Key Difference in Nucleic Acid Delivery
Nucleic Acid Liposomal Delivery: Endosomal Escape and Expression
Prodrug Liposomes: Translating Chemical Design into Delivery Advantages
Enzyme-Loaded Liposomes: Activity Retention, Protection & Batch Consistency
Adjuvant Liposome Composition Shapes the Immune Activation Window & Safety Profile
Multivesicular Liposomes: High Payload Capacity for Sustained Drug Release
Encapsulation vs. Delivery: Payload Compatibility in Liposomal Formulations
Liposome Payload Troubleshooting: Low Encapsulation, Precipitation & Uncontrolled Release
Webinars

Online Inquiry